ESPECIALIDADES
ESCUINTLA
AKISHINO
AKISHINO2 USG
HUIXTLA
Home
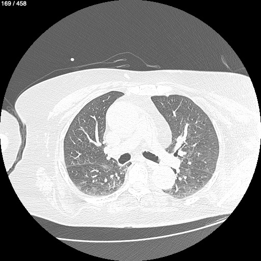
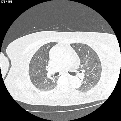
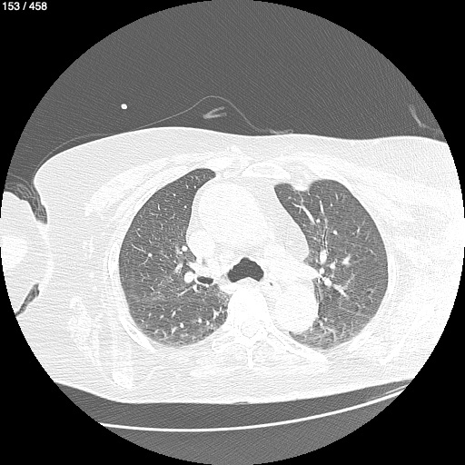
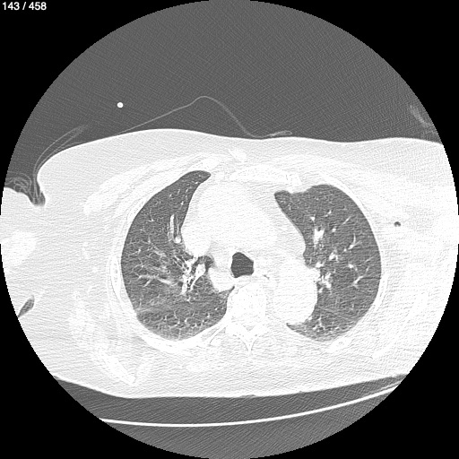
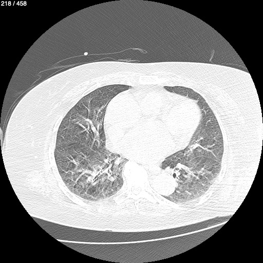
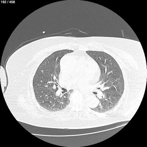
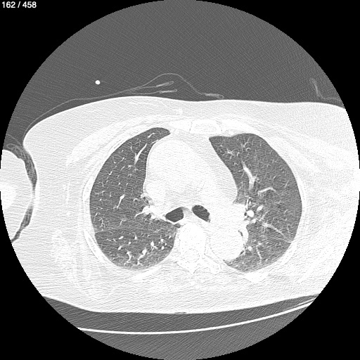
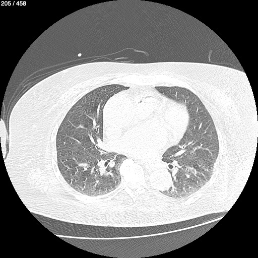
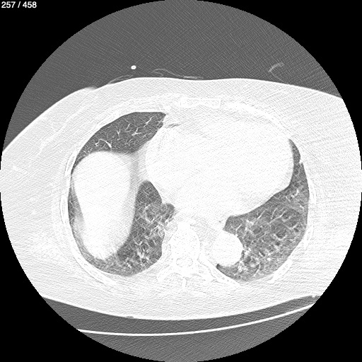
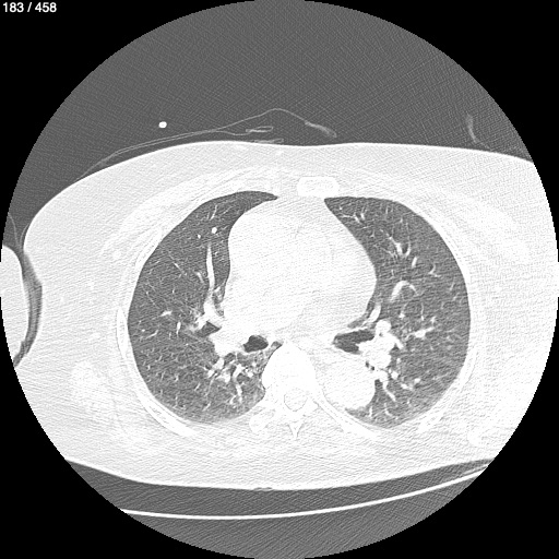
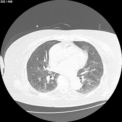
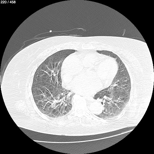
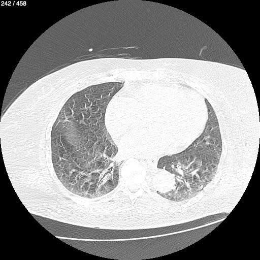
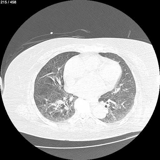
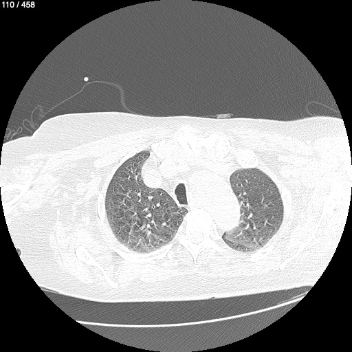
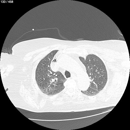
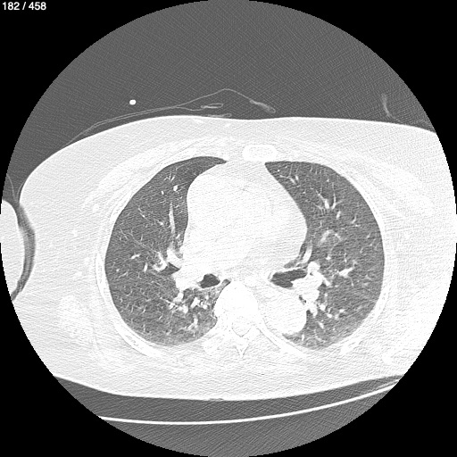
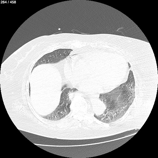
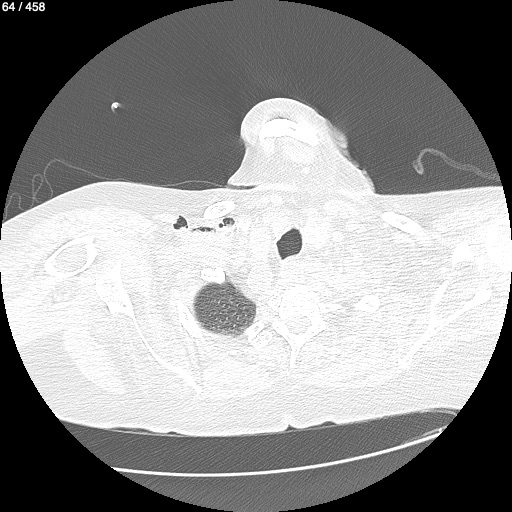
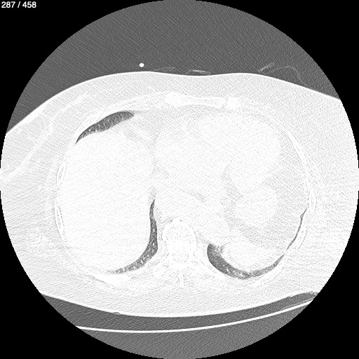
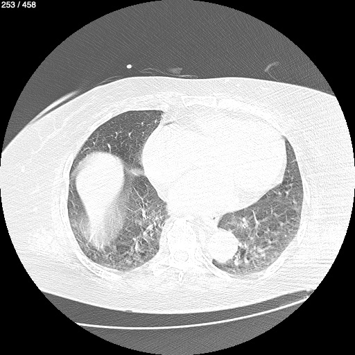
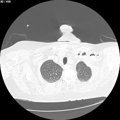
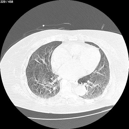
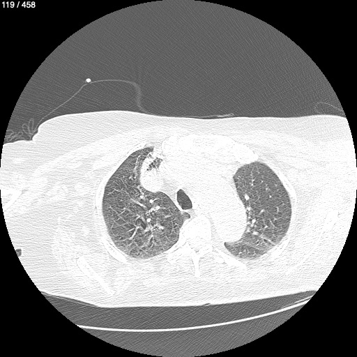
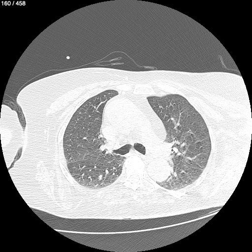
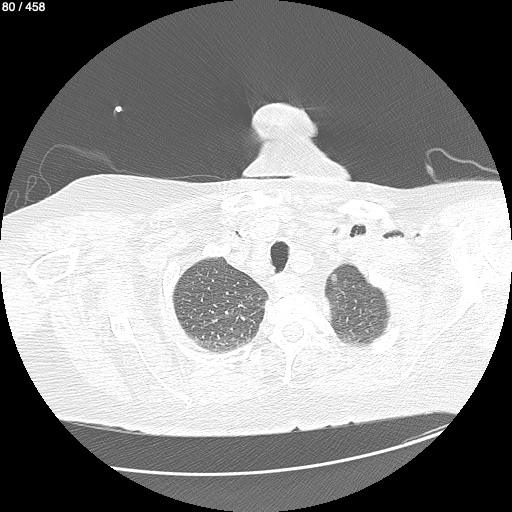
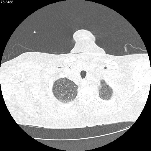
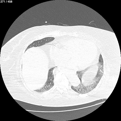
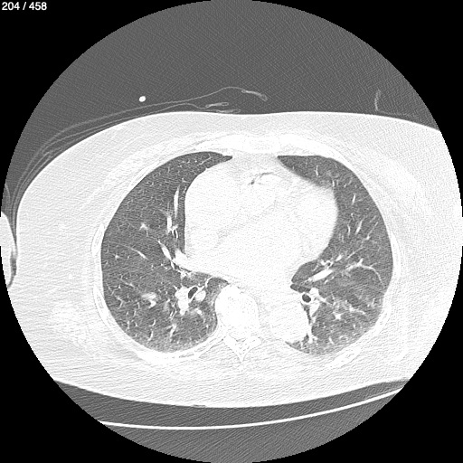
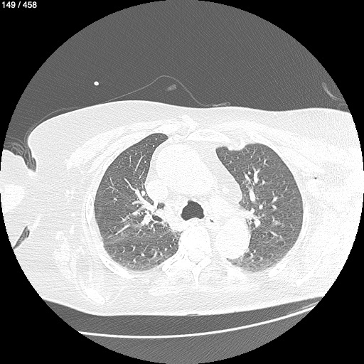
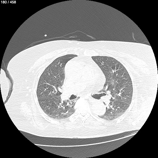
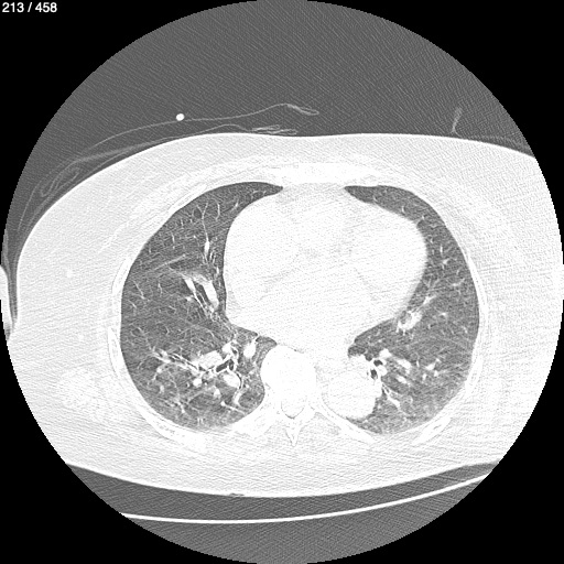
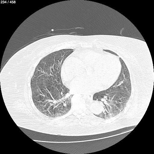
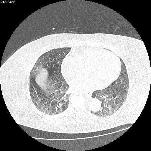
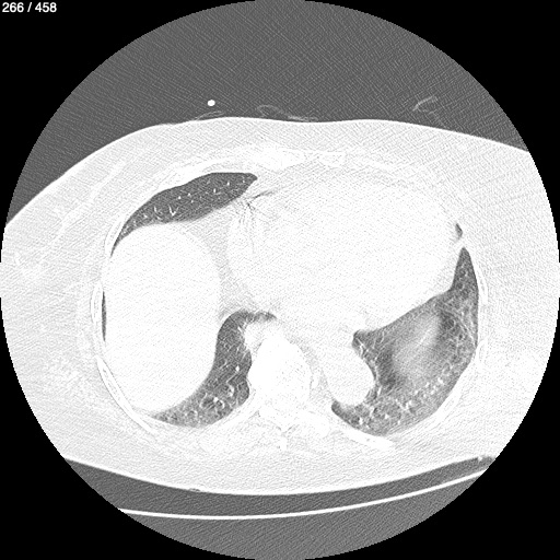
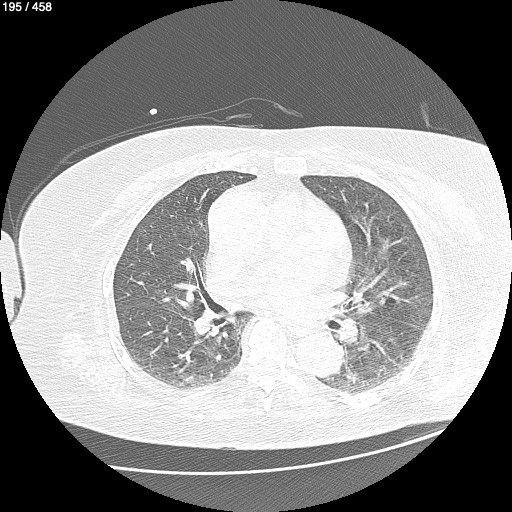
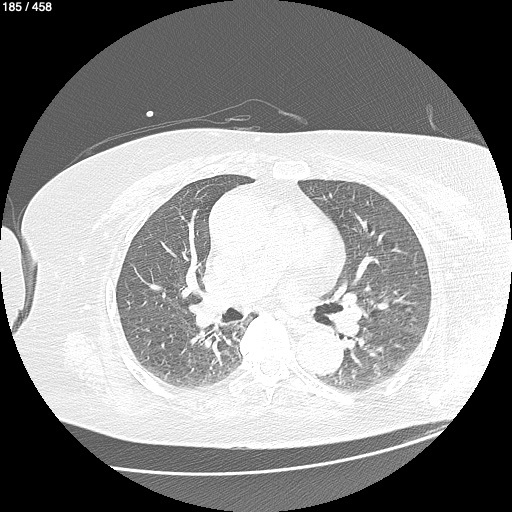
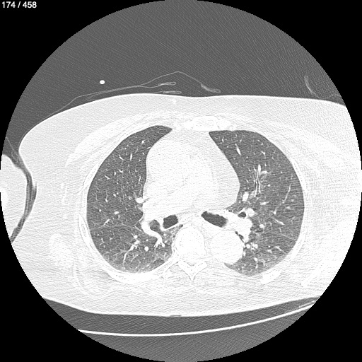
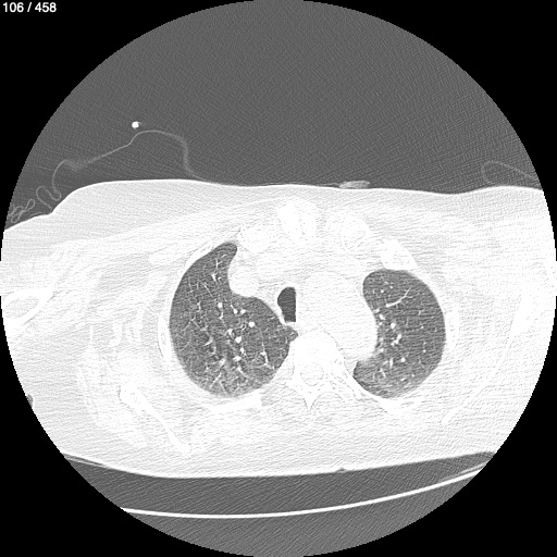
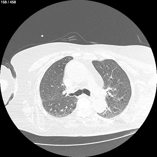
Blanca Rosa Limones Vazquez 72 - Torax Syc
Next Series
Show as Sequence