ESPECIALIDADES
ESCUINTLA
AKISHINO
AKISHINO2 USG
HUIXTLA
Home
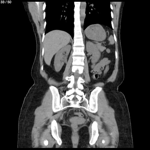
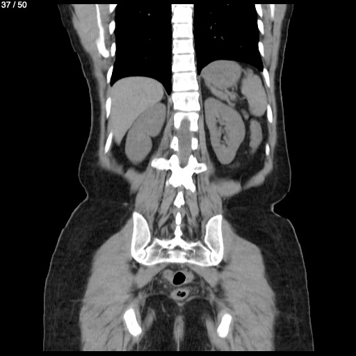
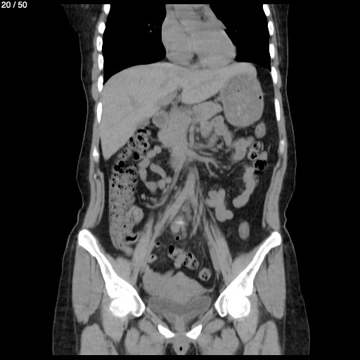
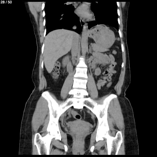
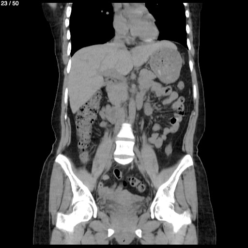
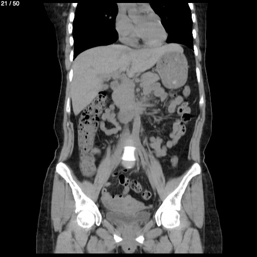
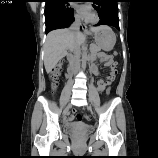
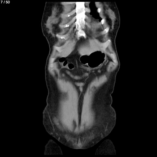
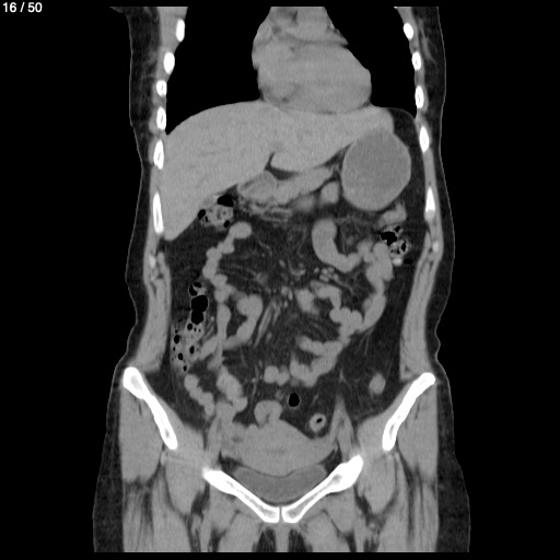
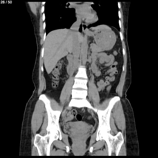
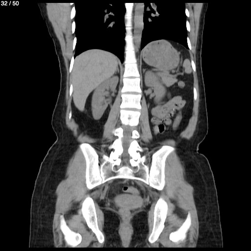
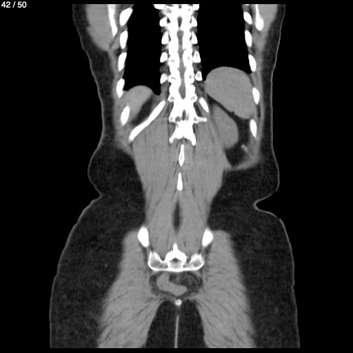
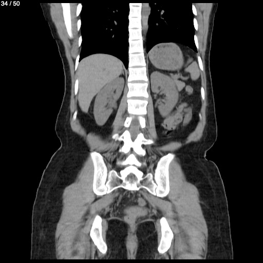
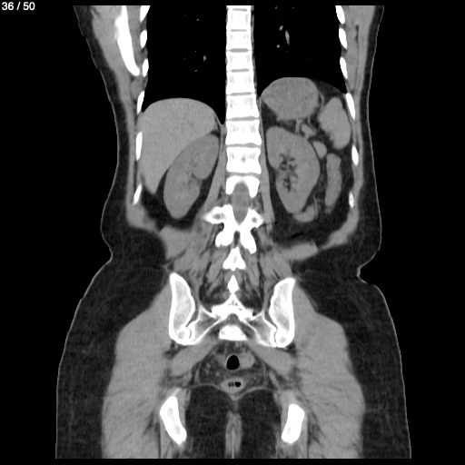
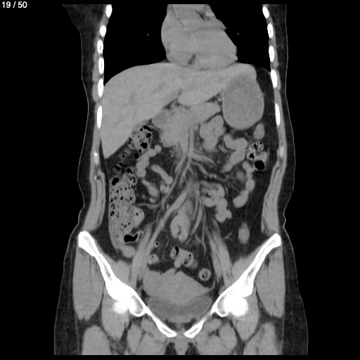
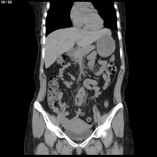
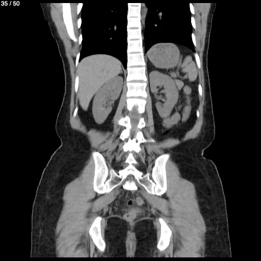
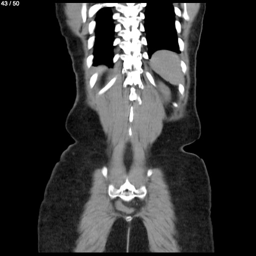
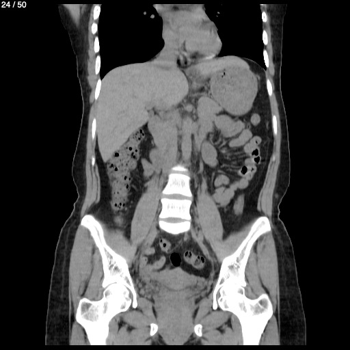
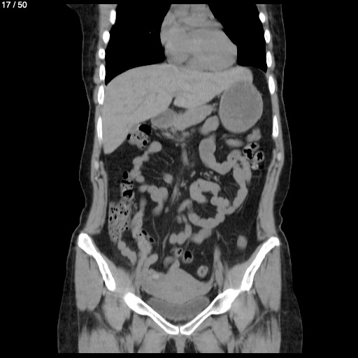
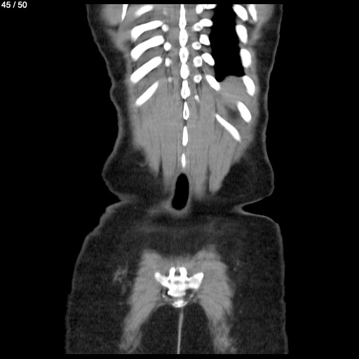
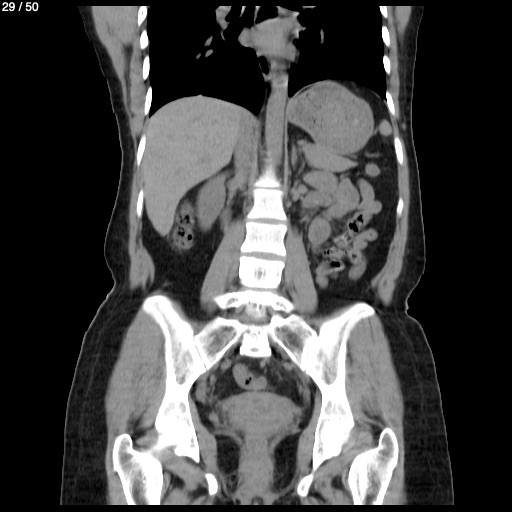
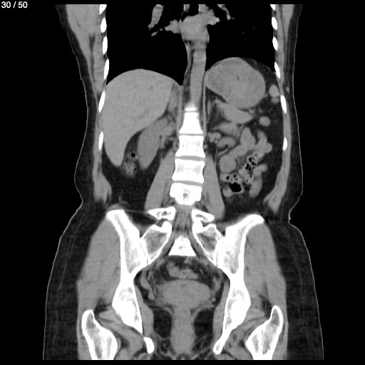
Mayte Espinoza Hidalgo 35A - Abdomen Simple
Previous Series
Next Series
Show as Sequence