ESPECIALIDADES
ESCUINTLA
AKISHINO
AKISHINO2 USG
HUIXTLA
Home
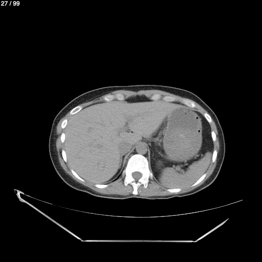
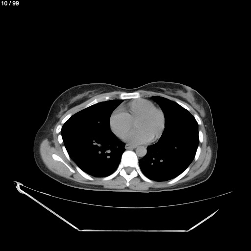
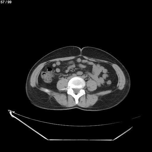
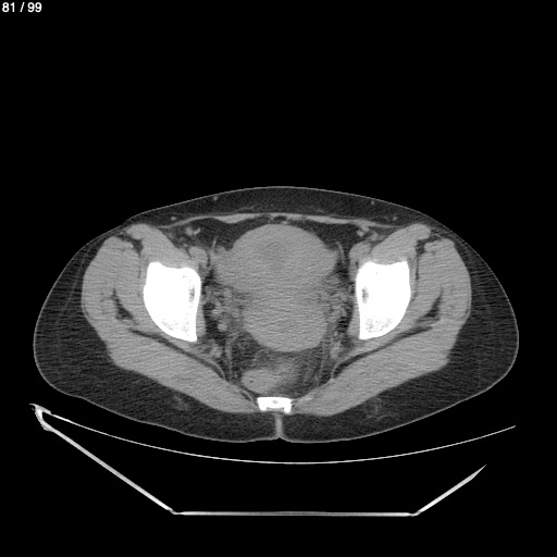
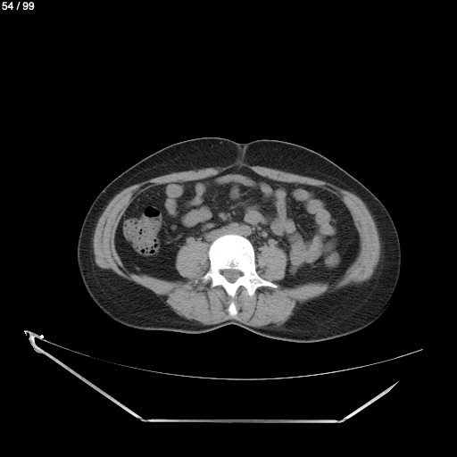
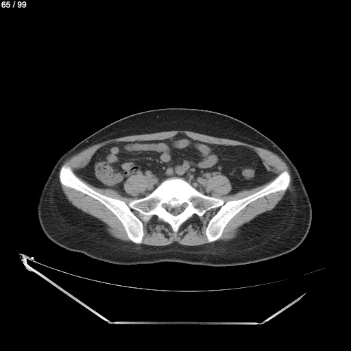
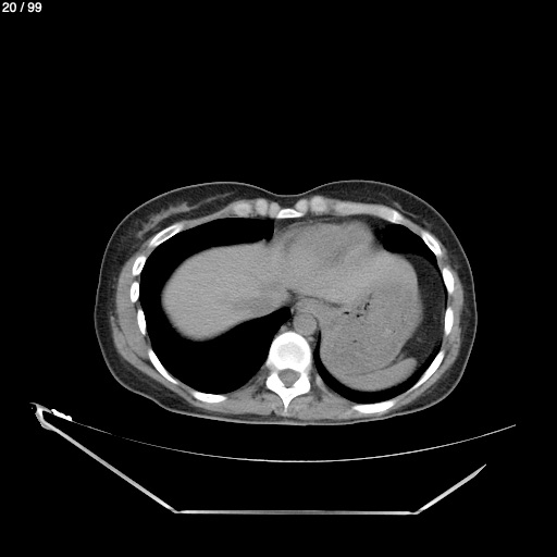
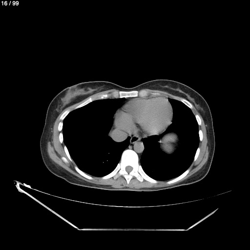
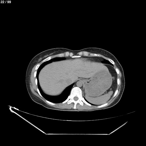
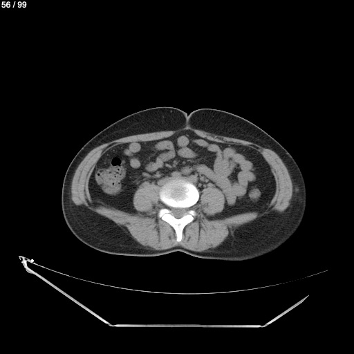
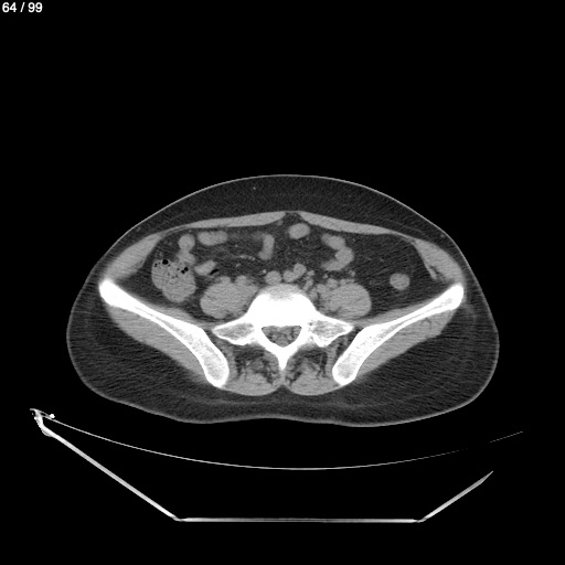
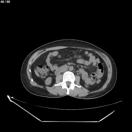
Mayte Espinoza Hidalgo 35A - Abdomen Simple
Next Series
Show as Sequence