ESPECIALIDADES
ESCUINTLA
AKISHINO
AKISHINO2 USG
HUIXTLA
Home
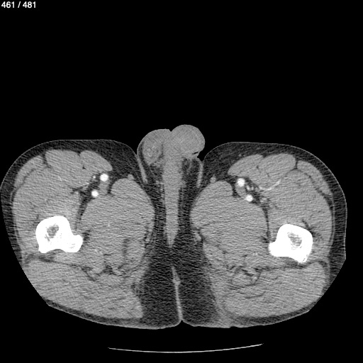
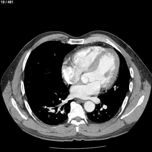
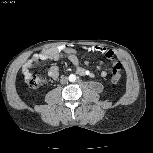
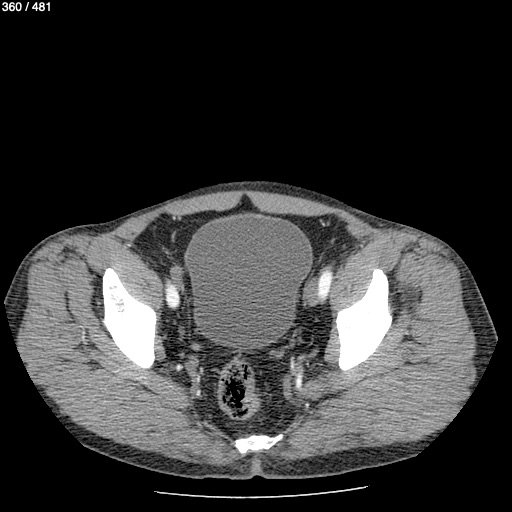
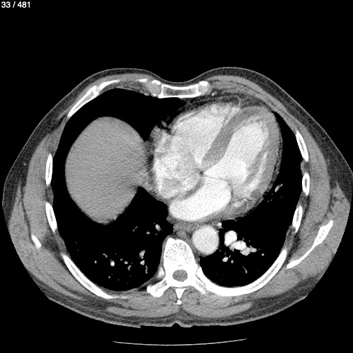
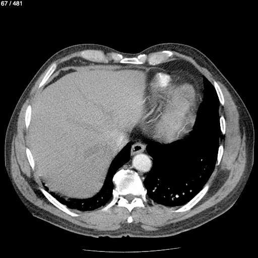
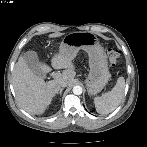
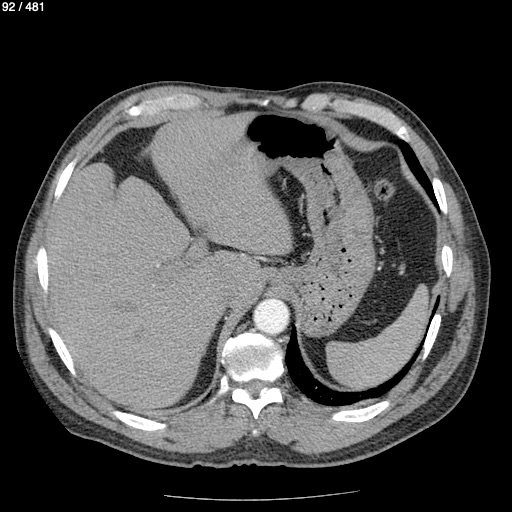
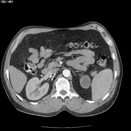
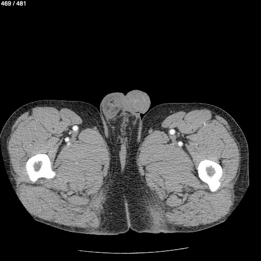
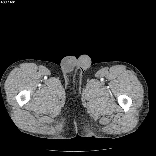
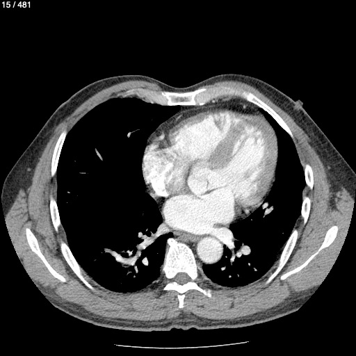
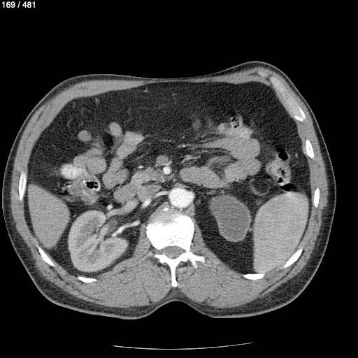
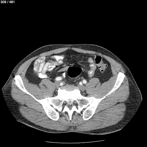
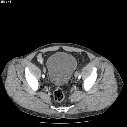
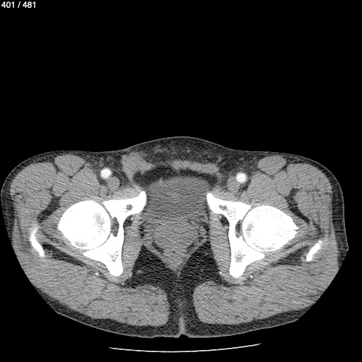
Angel Didier Gonzalez Perez 54A - Abdomen Syc
Previous Series
Next Series
Show as Sequence