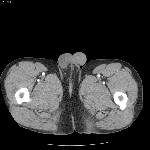
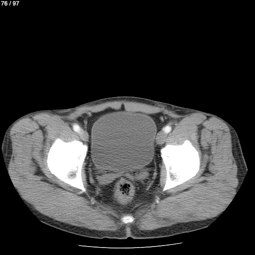
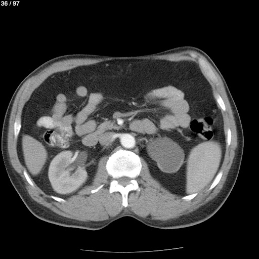
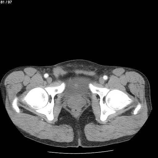
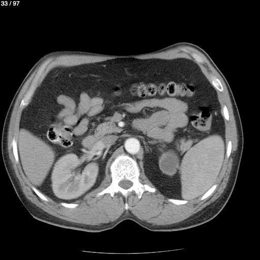
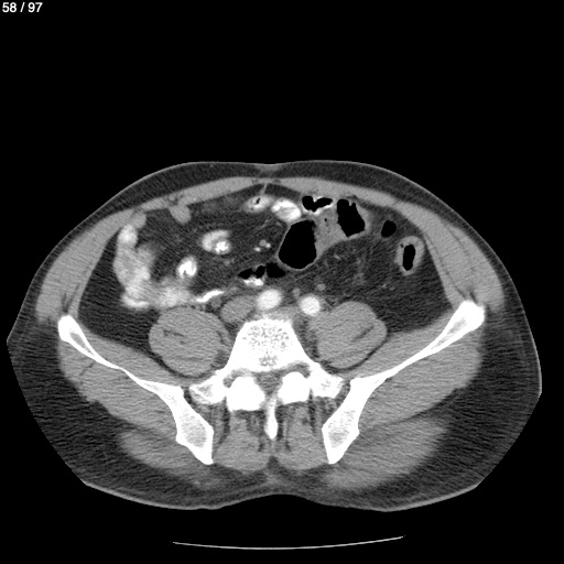
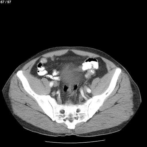
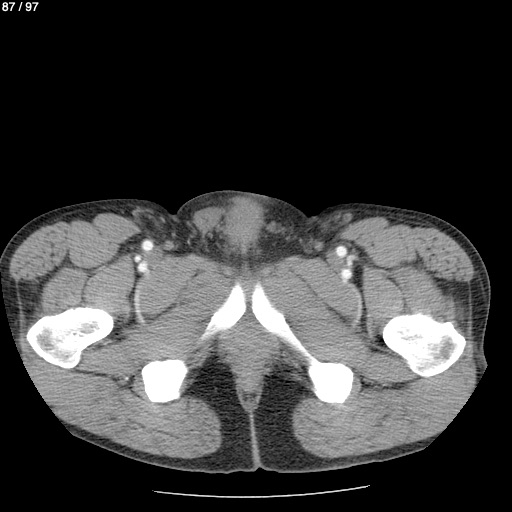
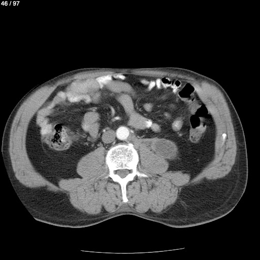
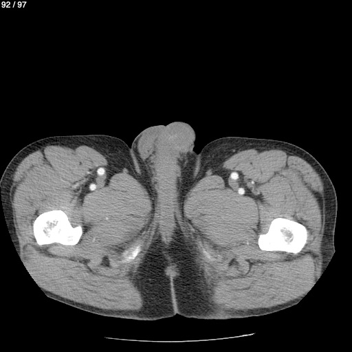
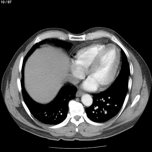
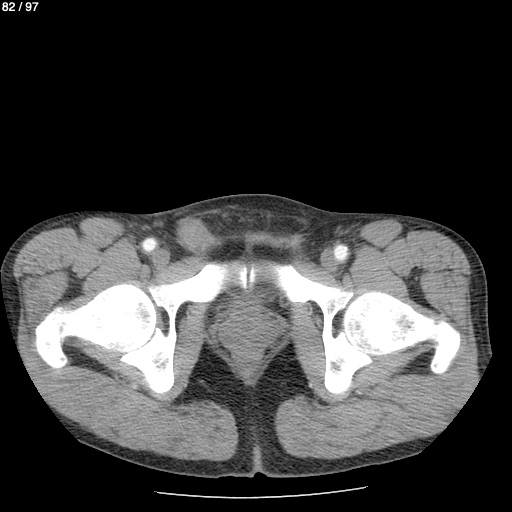
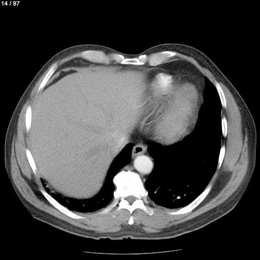
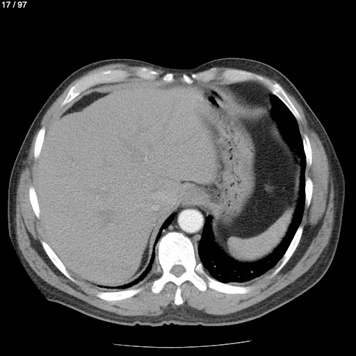
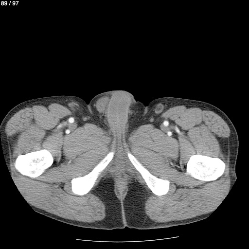
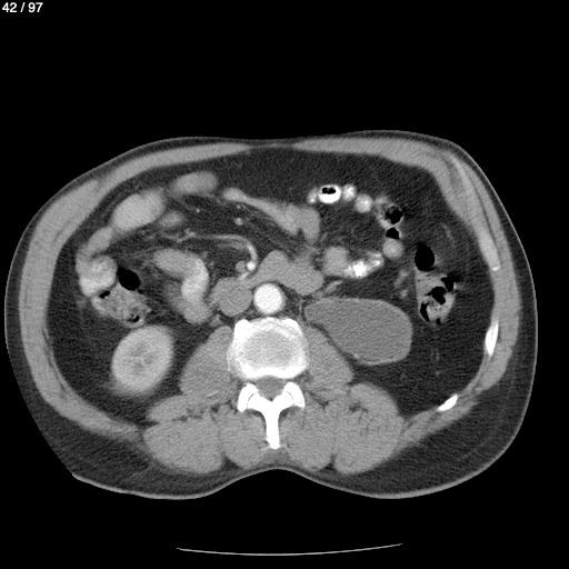
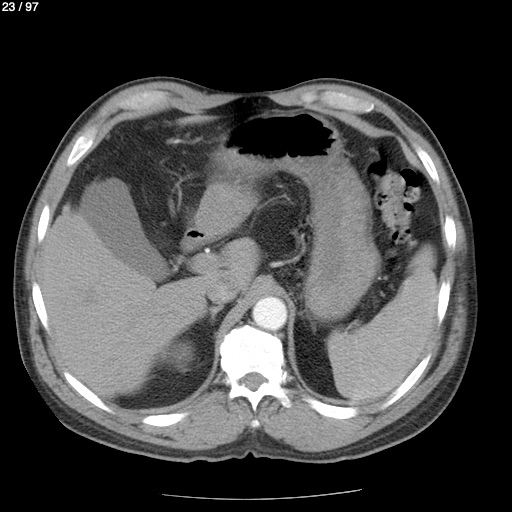
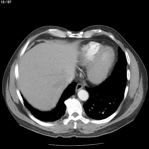
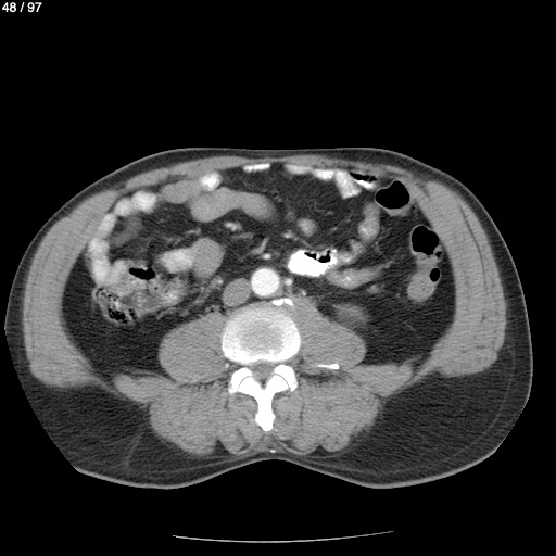
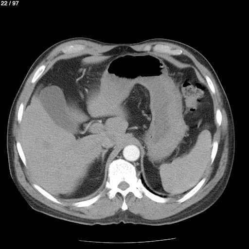
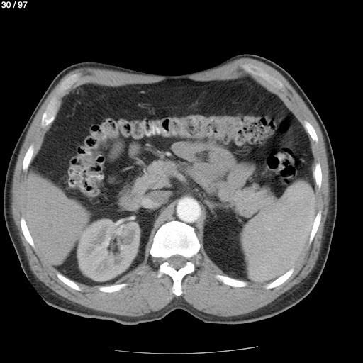
Home A​n​g​e​l​ ​D​i​d​i​e​r​ ​G​o​n​z​a​l​e​z​ ​P​e​r​e​z​ ​5​4​A​ ​-​ ​A​b​d​o​m​e​n​ ​S​y​c