ESPECIALIDADES
ESCUINTLA
AKISHINO
AKISHINO2 USG
HUIXTLA
Home
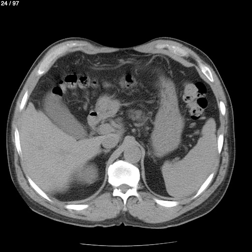
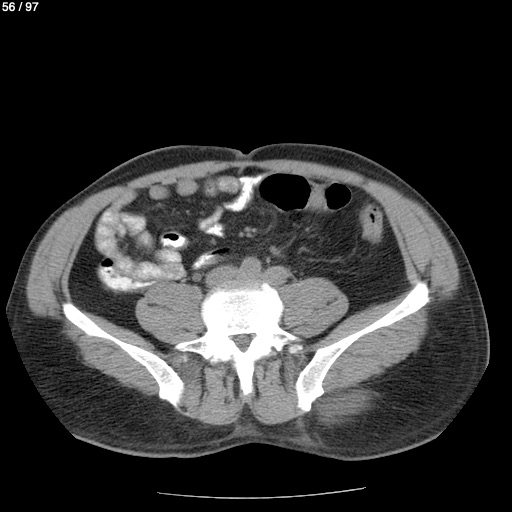
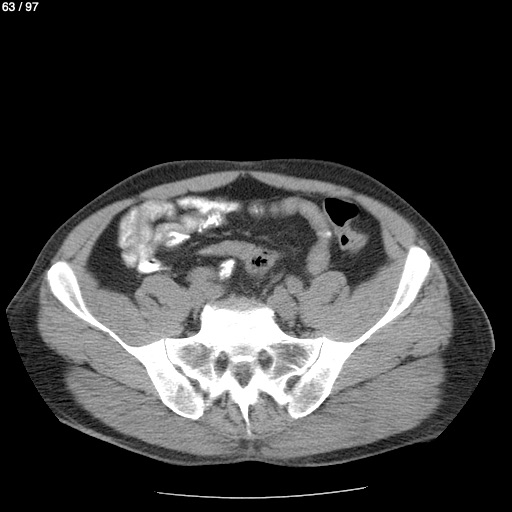
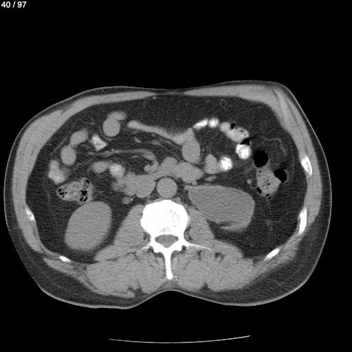
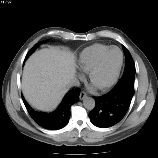
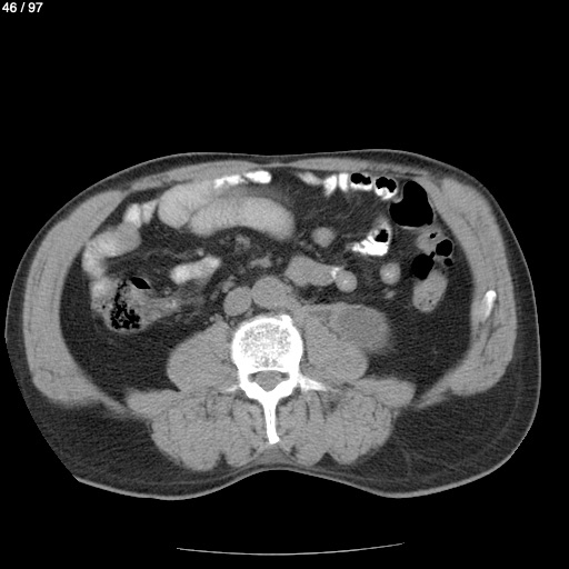
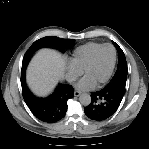
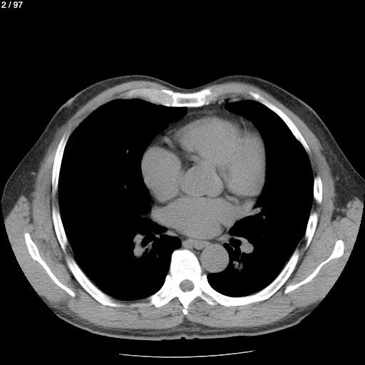
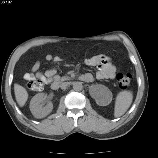
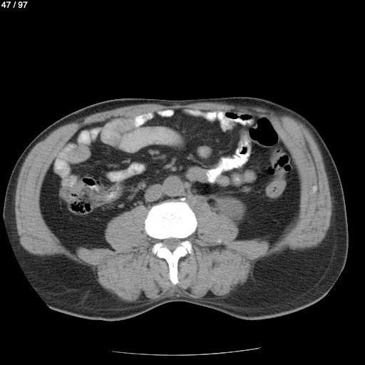
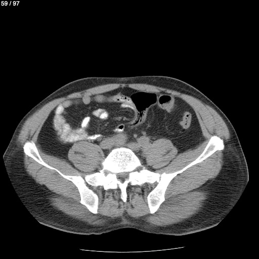
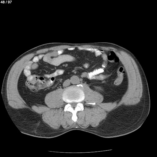
Angel Didier Gonzalez Perez 54A - Abdomen Syc
Next Series
Show as Sequence