ESPECIALIDADES
ESCUINTLA
AKISHINO
AKISHINO2 USG
HUIXTLA
Home
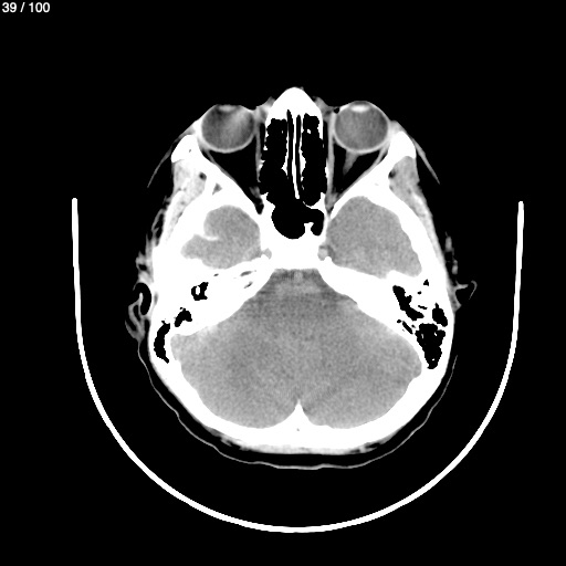
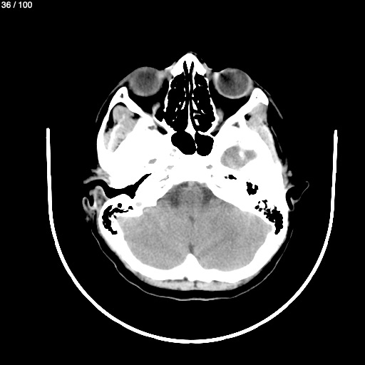
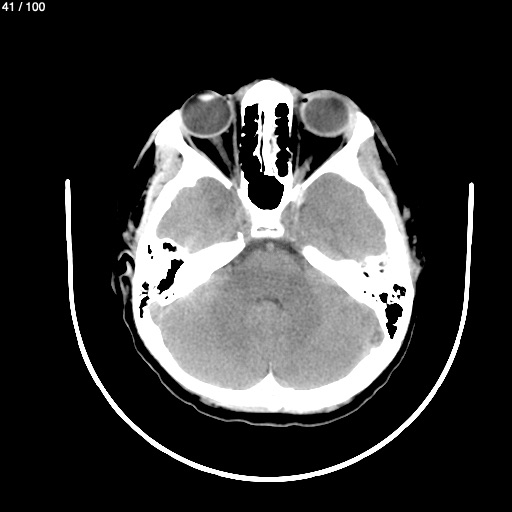
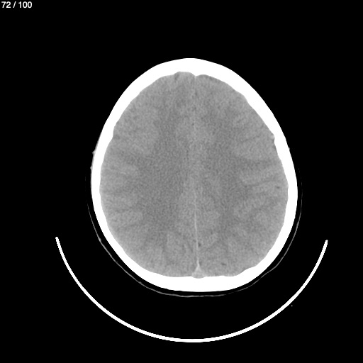
Angel Martinez Hernandez 8A - Craneo Simple
Next Series
Show as Sequence