ESPECIALIDADES
ESCUINTLA
AKISHINO
AKISHINO2 USG
HUIXTLA
Home
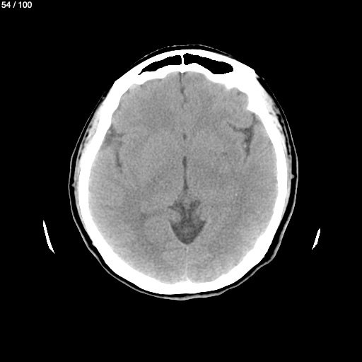
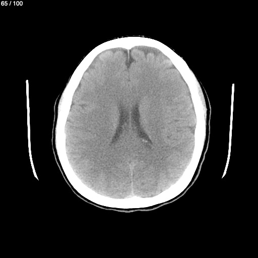
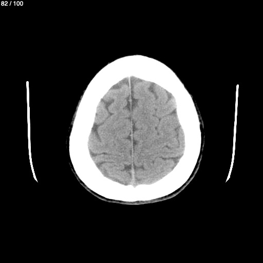
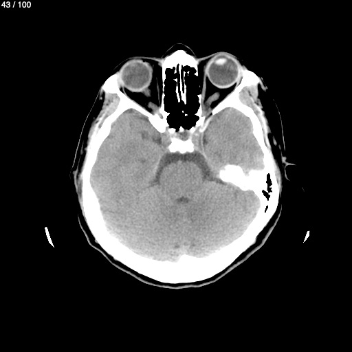
Gloria Feliciano Reyes 49A - Craneo Simple
Next Series
Show as Sequence