ESPECIALIDADES
ESCUINTLA
AKISHINO
AKISHINO2 USG
HUIXTLA
Home
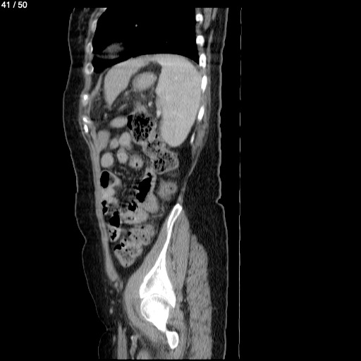
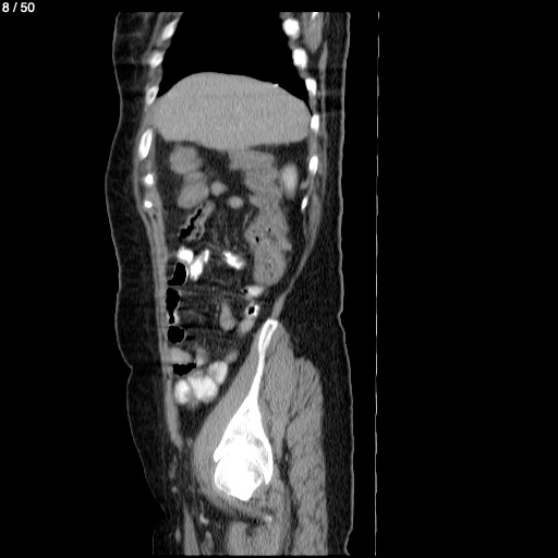
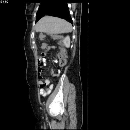
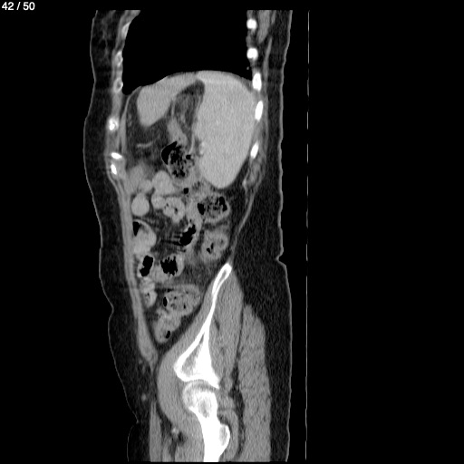
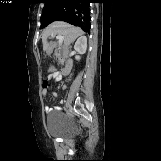
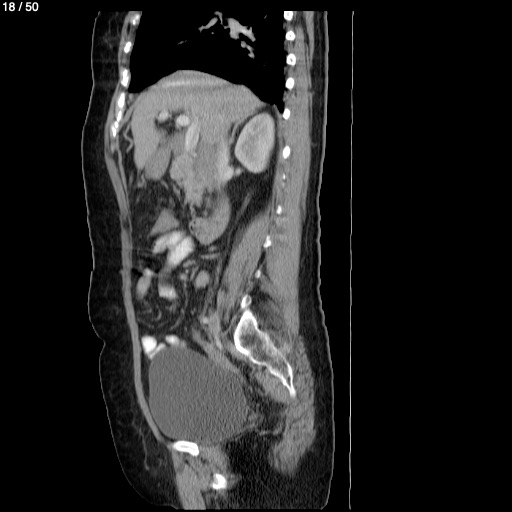
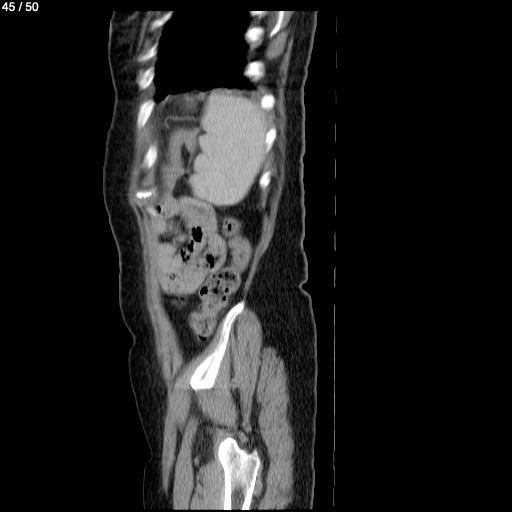
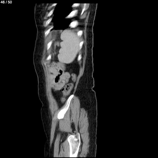
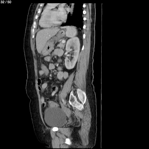
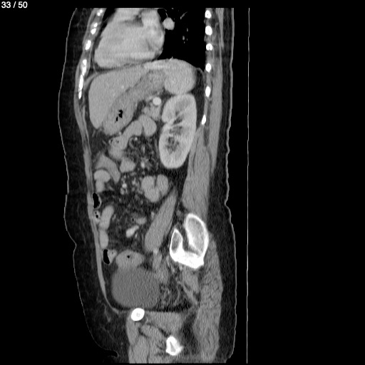
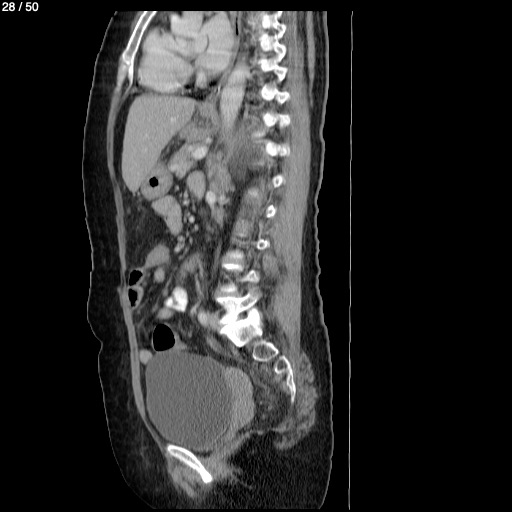
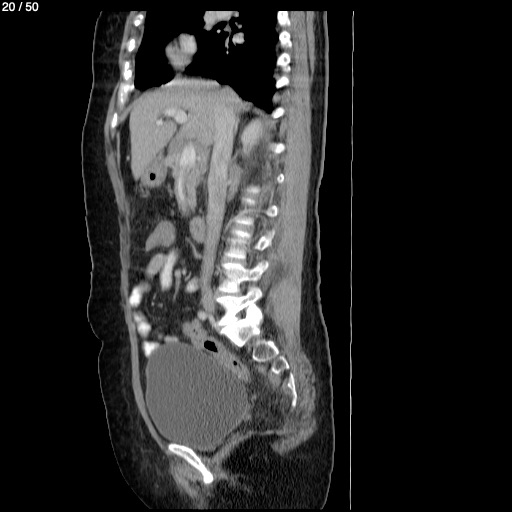
Esperanza Velazquez Perez 57A - Abdomen Syc
Previous Series
Next Series
Show as Sequence