ESPECIALIDADES
ESCUINTLA
AKISHINO
AKISHINO2 USG
HUIXTLA
Home
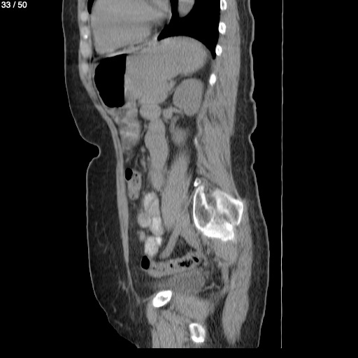
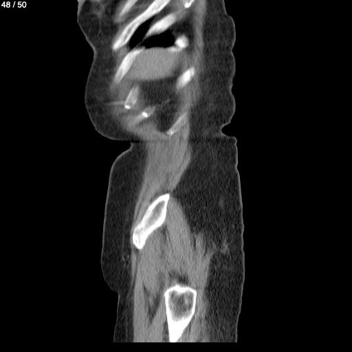
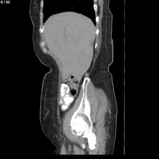
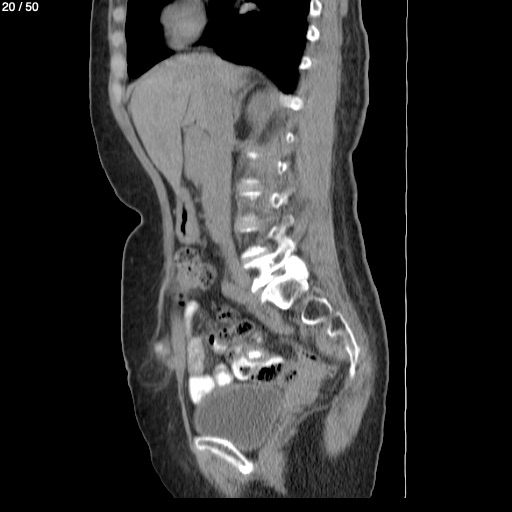
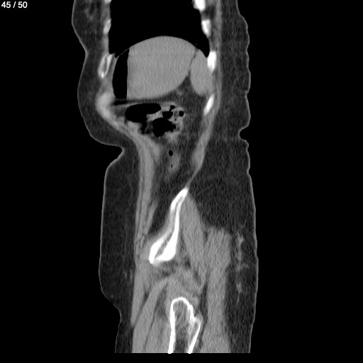
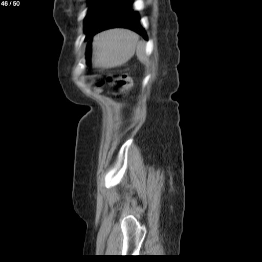
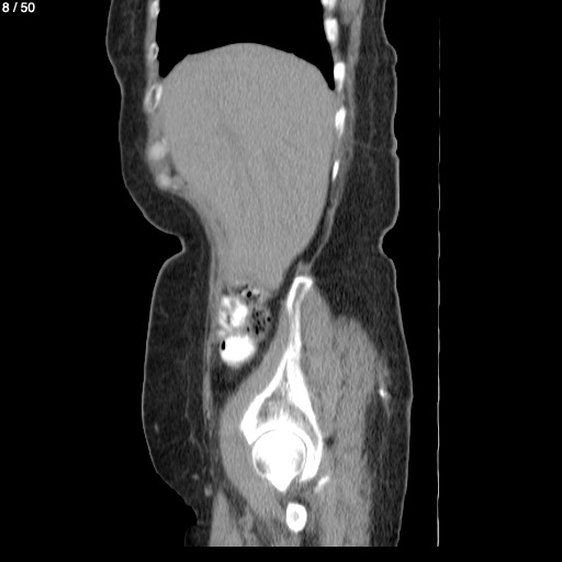
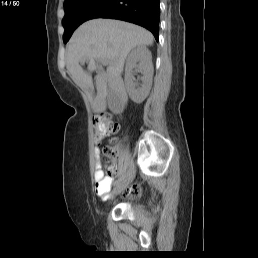
Irma Vazquez Cruz 67A - Abdomen Syc
Previous Series
Next Series
Show as Sequence