ESPECIALIDADES
ESCUINTLA
AKISHINO
AKISHINO2 USG
HUIXTLA
Home
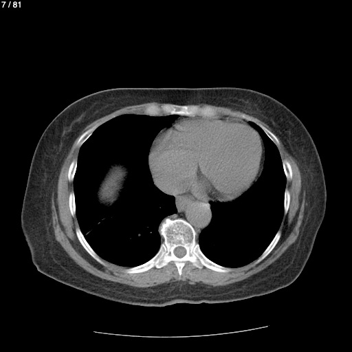
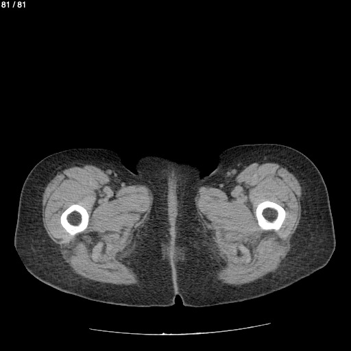
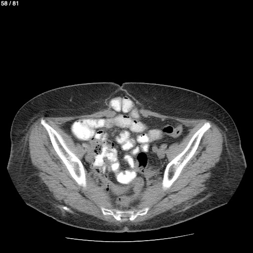
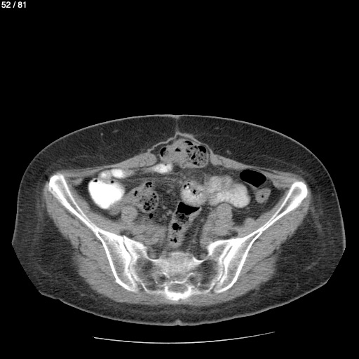
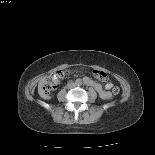
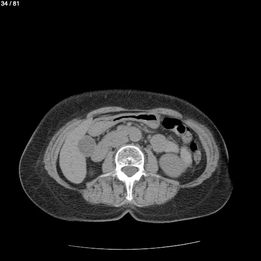
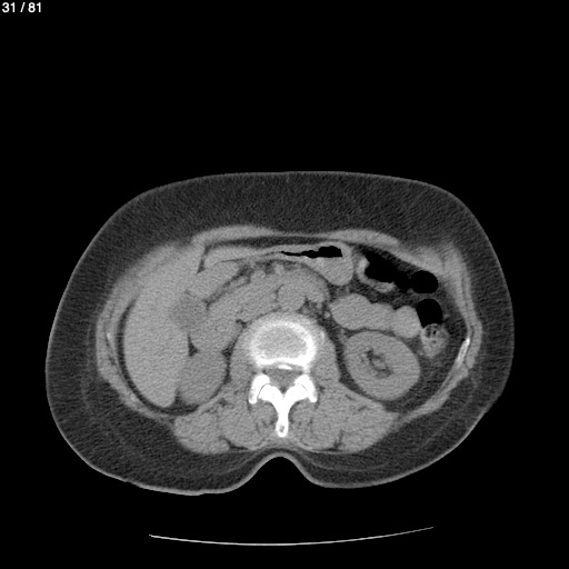
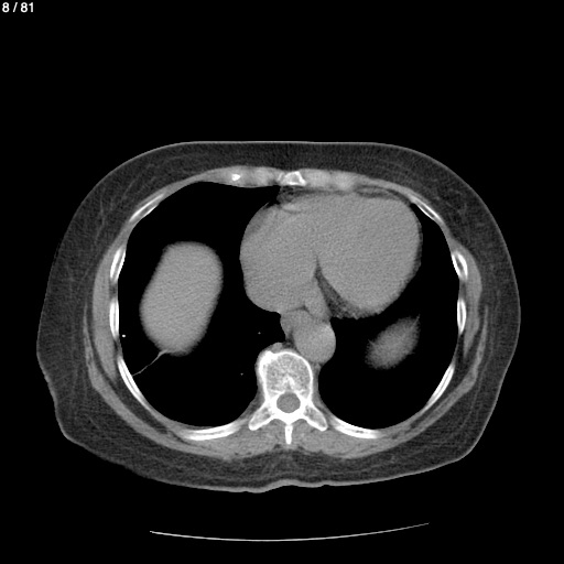
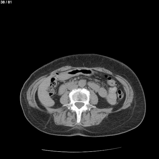
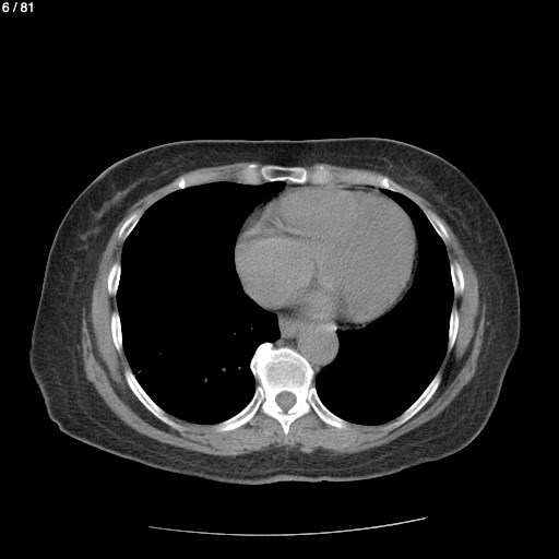
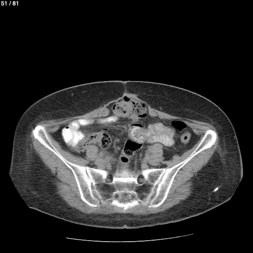
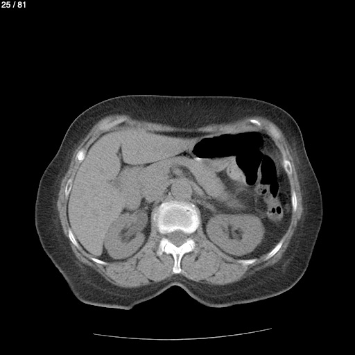
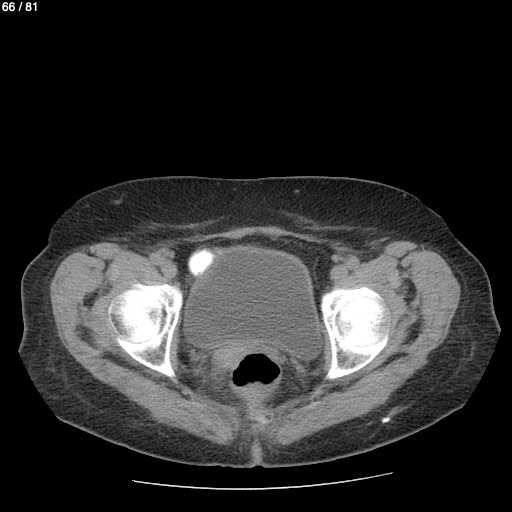
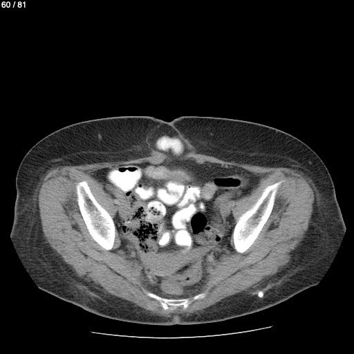
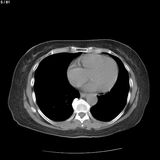
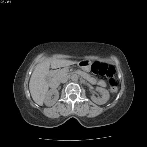
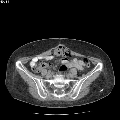
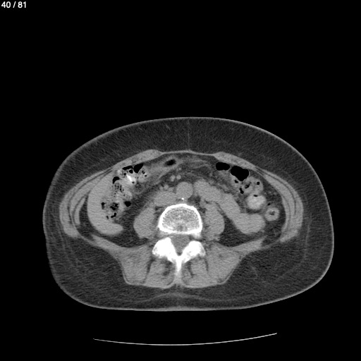
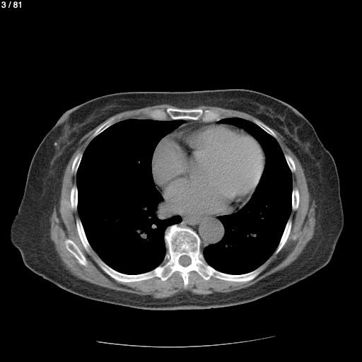
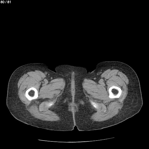
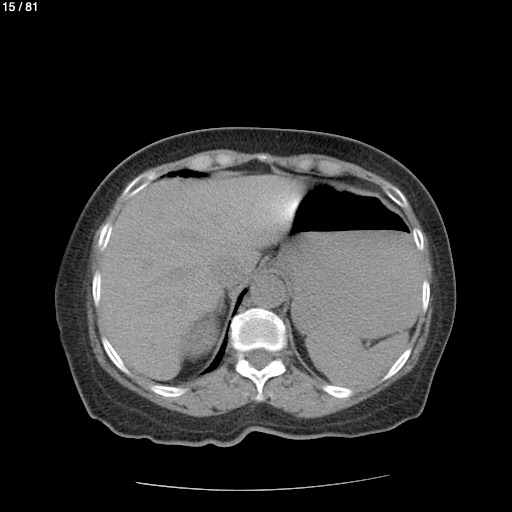
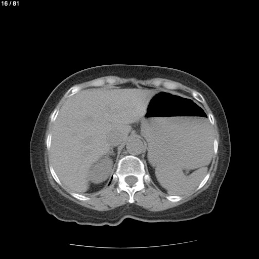
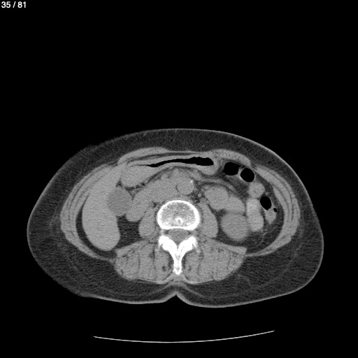
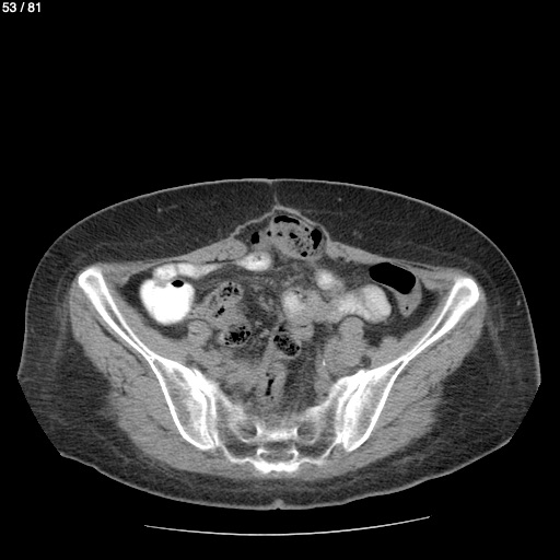
Irma Vazquez Cruz 67A - Abdomen Syc
Next Series
Show as Sequence