ESPECIALIDADES
ESCUINTLA
AKISHINO
AKISHINO2 USG
HUIXTLA
Home
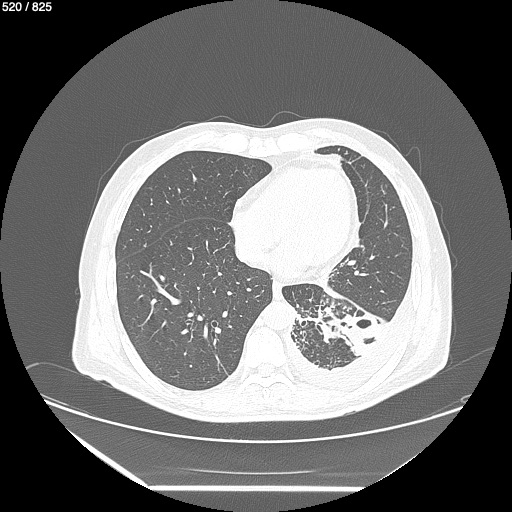
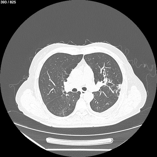
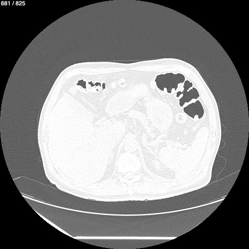
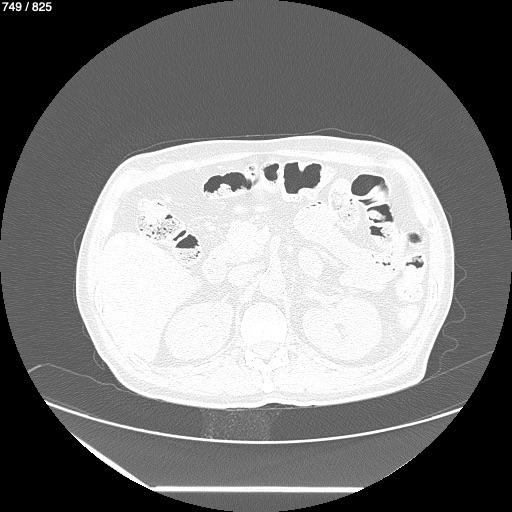
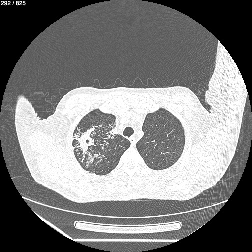
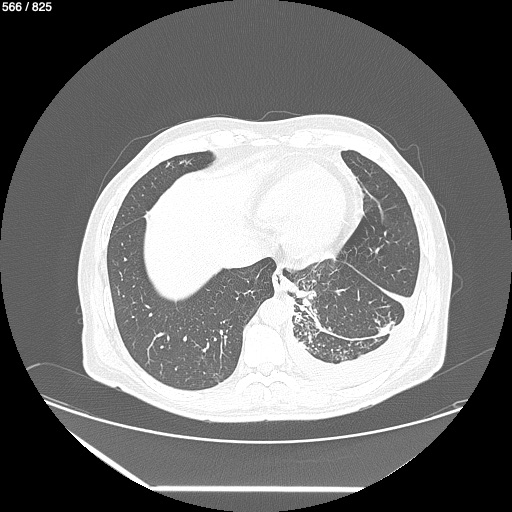
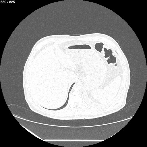
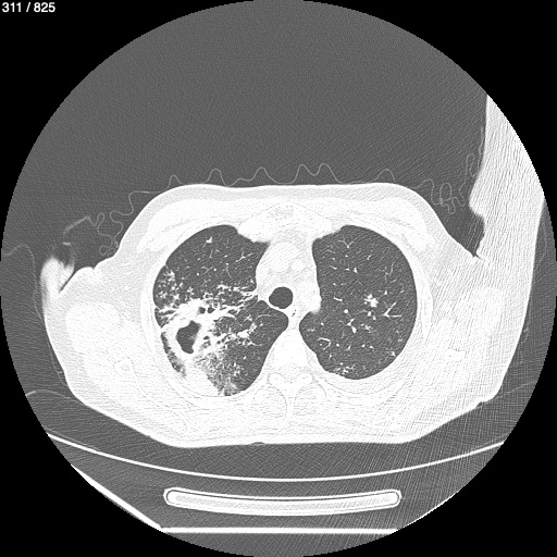
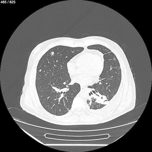
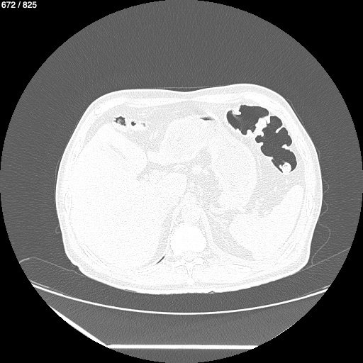
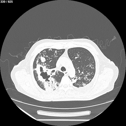
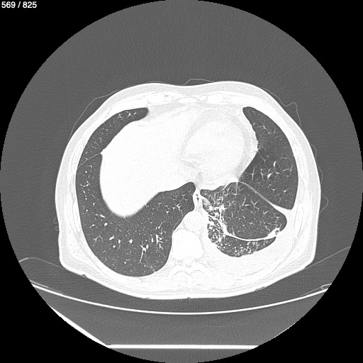
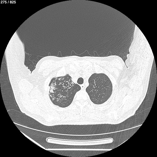
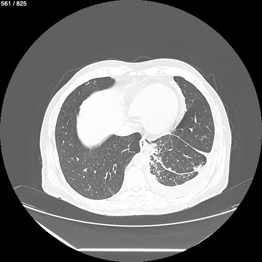
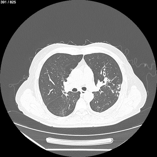
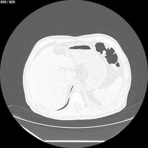
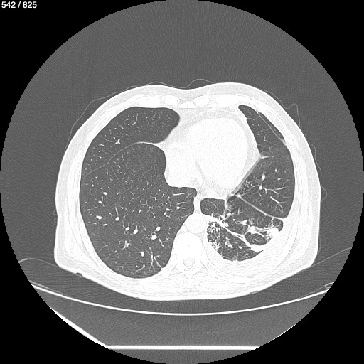
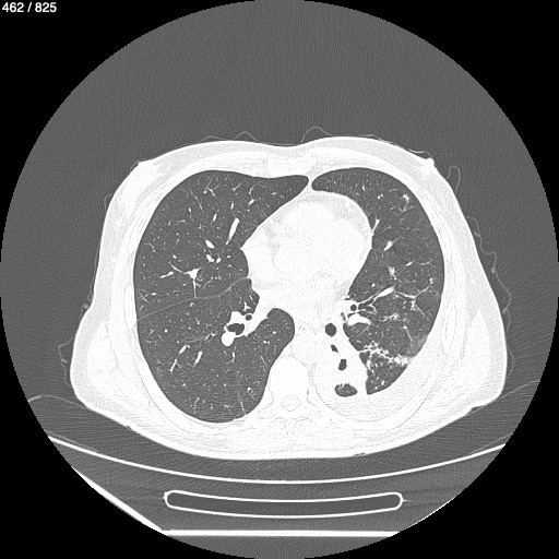
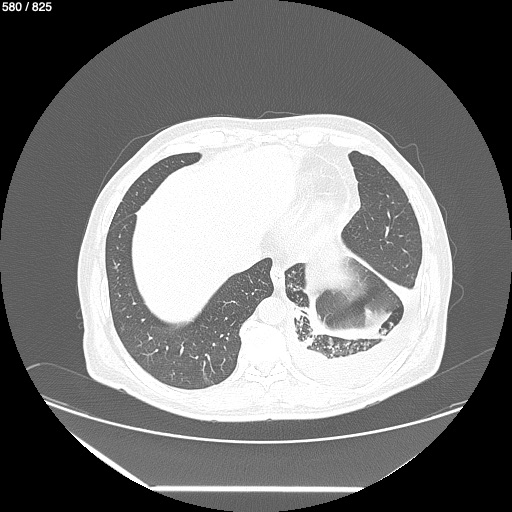
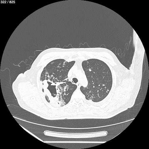
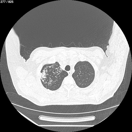
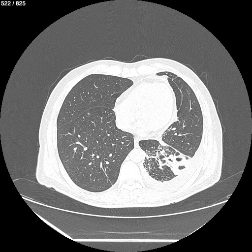
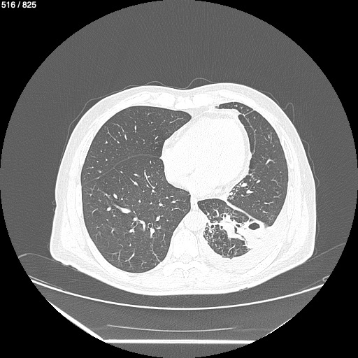
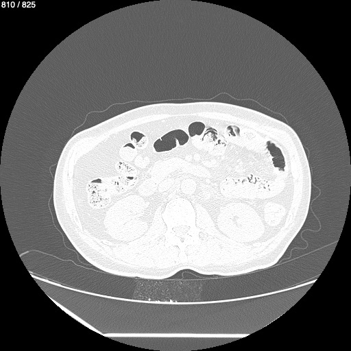
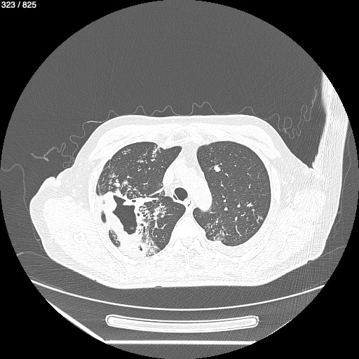
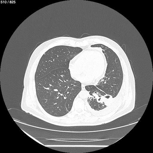
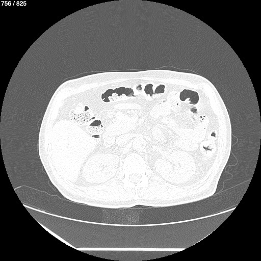
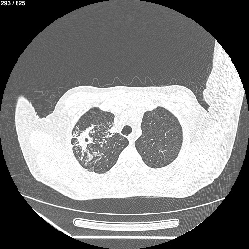
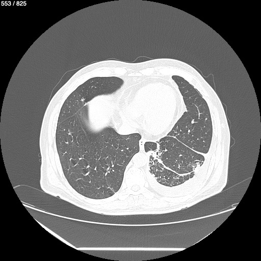
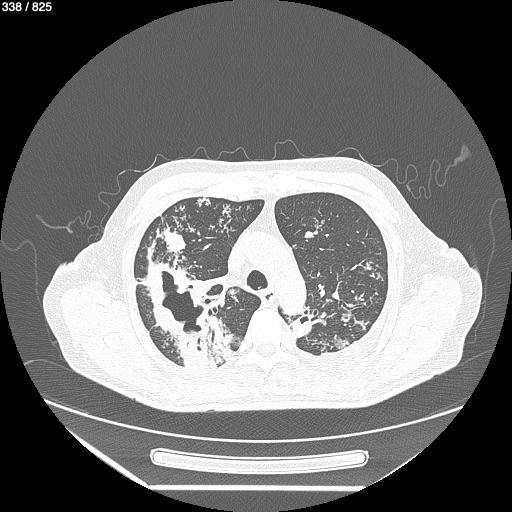
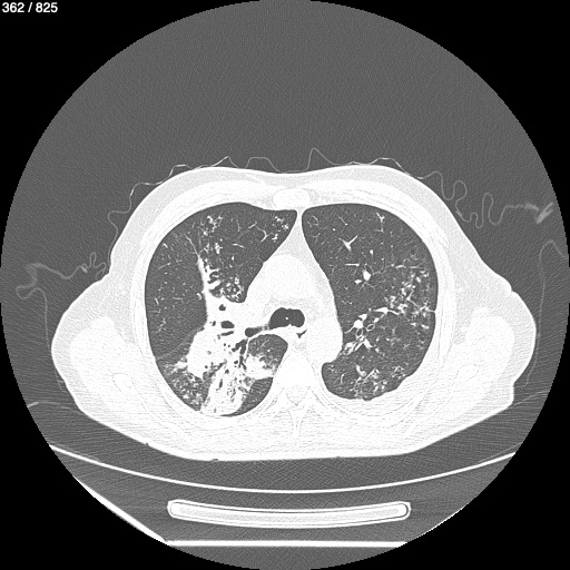
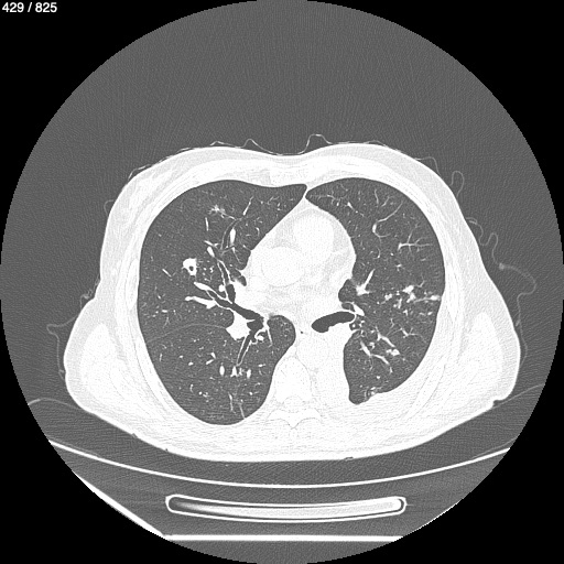
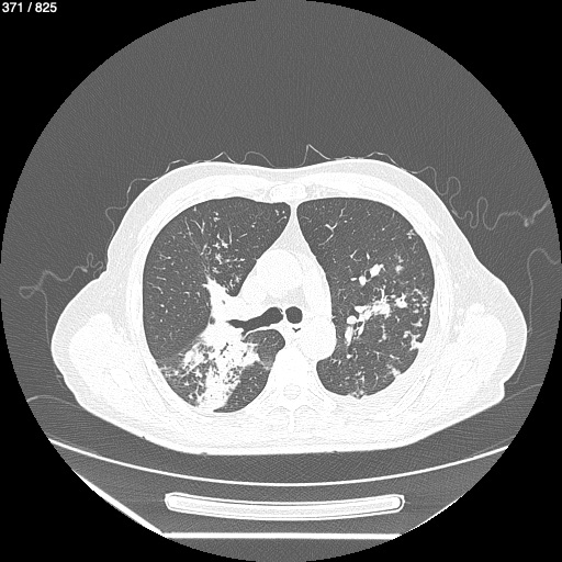
Everardo Ruiz Estrada 65A - Torax Simple
Previous Series
Next Series
Show as Sequence