ESPECIALIDADES
ESCUINTLA
AKISHINO
AKISHINO2 USG
HUIXTLA
Home
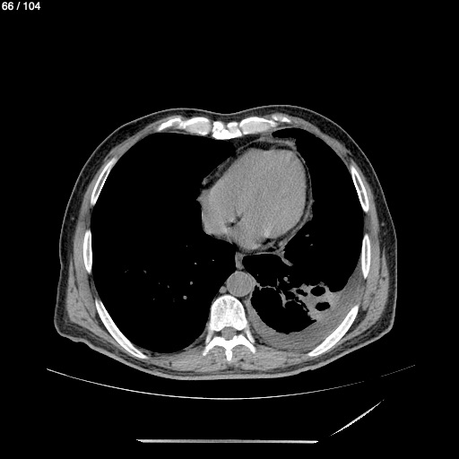
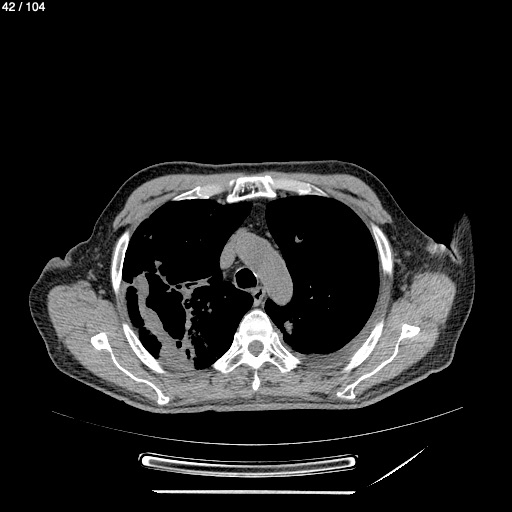
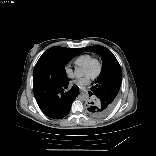
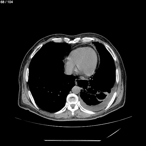
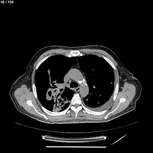
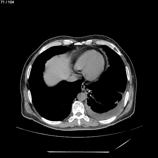
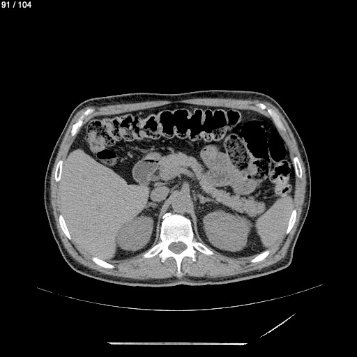
Everardo Ruiz Estrada 65A - Torax Simple
Next Series
Show as Sequence