ESPECIALIDADES
ESCUINTLA
AKISHINO
AKISHINO2 USG
HUIXTLA
Home
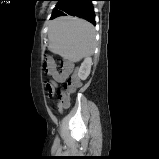
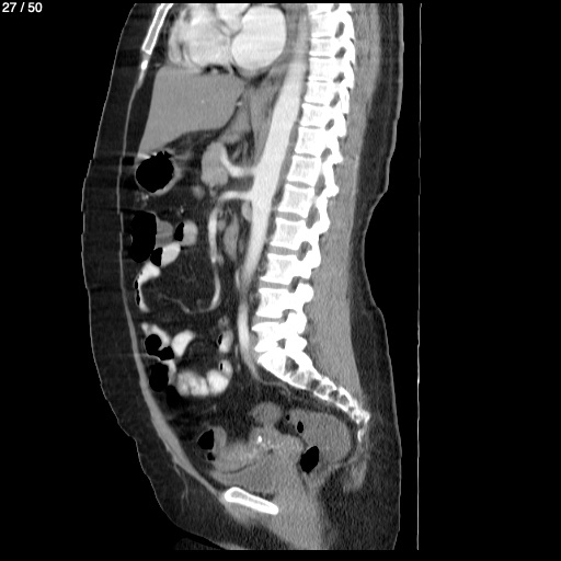
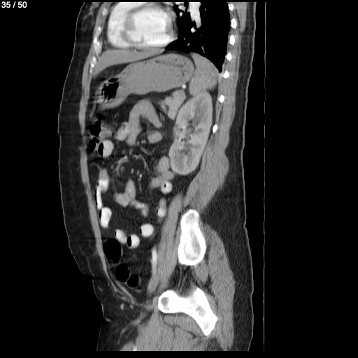
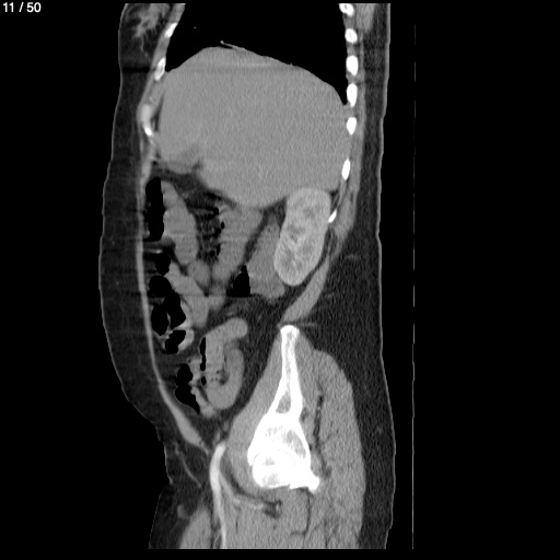
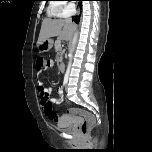
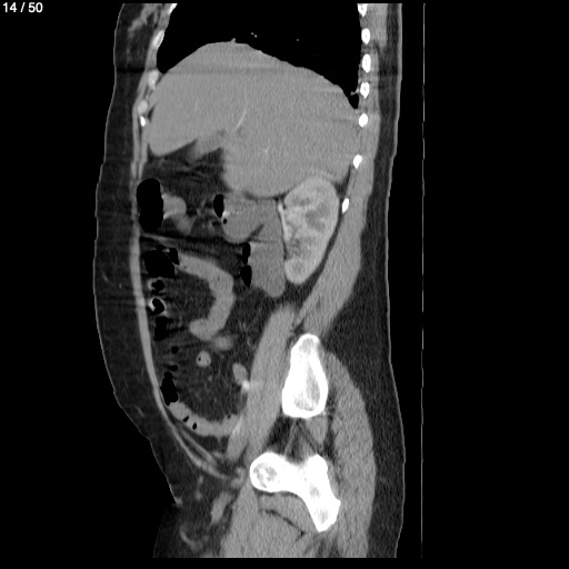
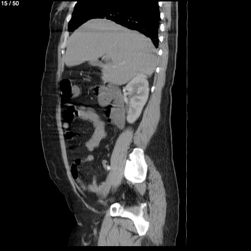
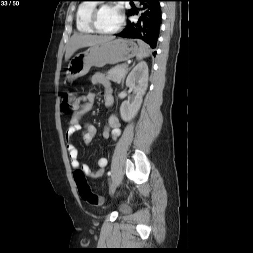
Brenda Lopez Estrada 48A - Unnamed
Previous Series
Next Series
Show as Sequence