ESPECIALIDADES
ESCUINTLA
AKISHINO
AKISHINO2 USG
HUIXTLA
Home
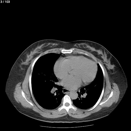
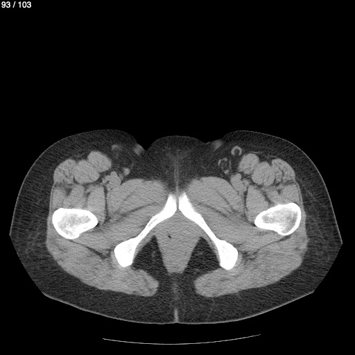
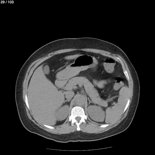
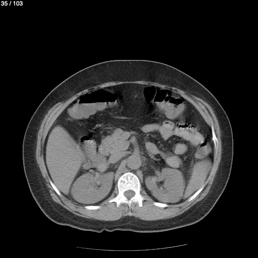
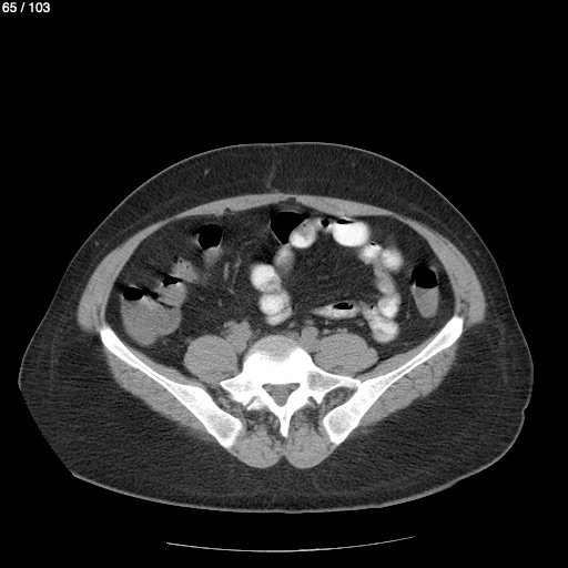
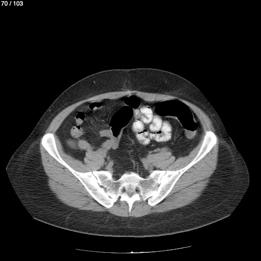
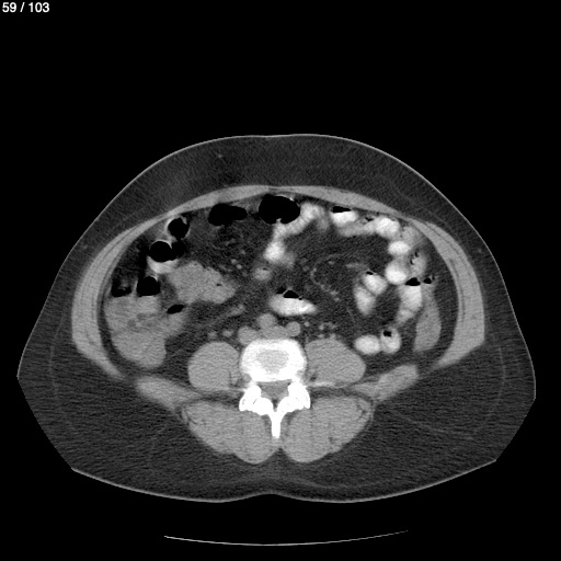
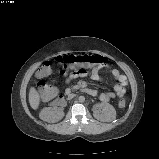
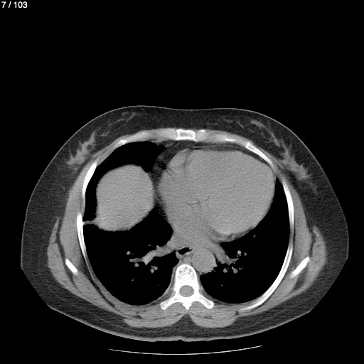
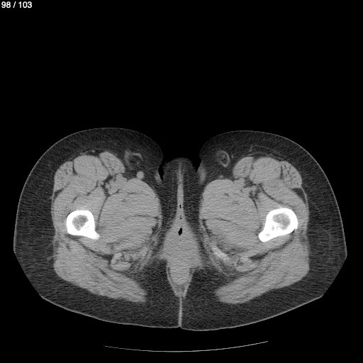
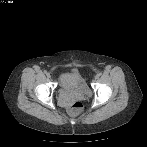
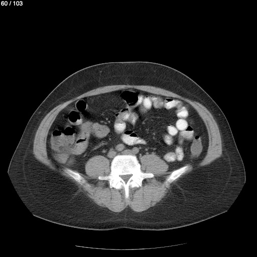
Brenda Lopez Estrada 48A - Unnamed
Next Series
Show as Sequence