ESPECIALIDADES
ESCUINTLA
AKISHINO
AKISHINO2 USG
HUIXTLA
Home
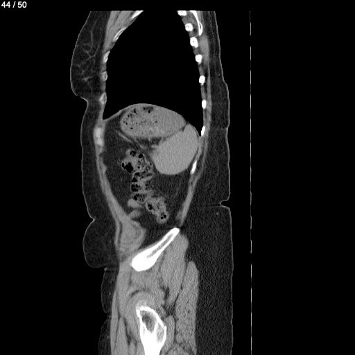
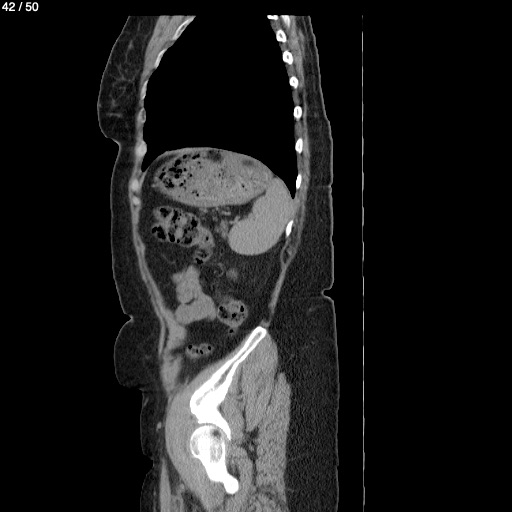
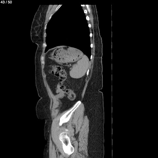
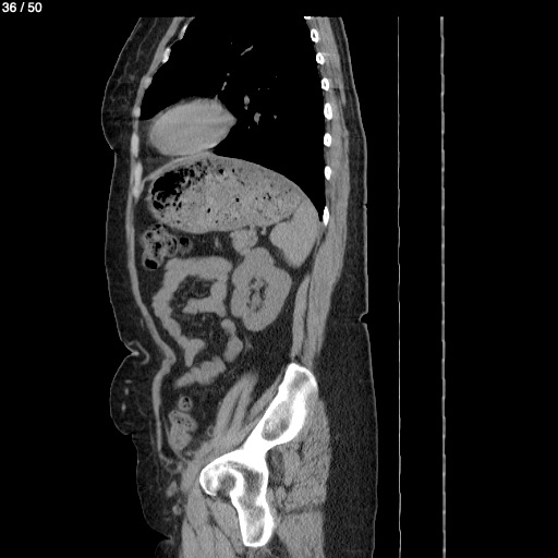
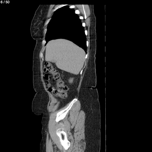
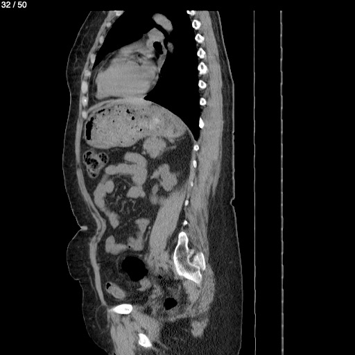
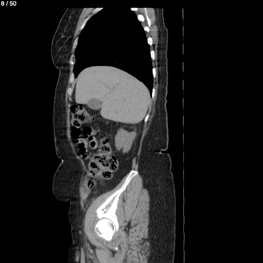
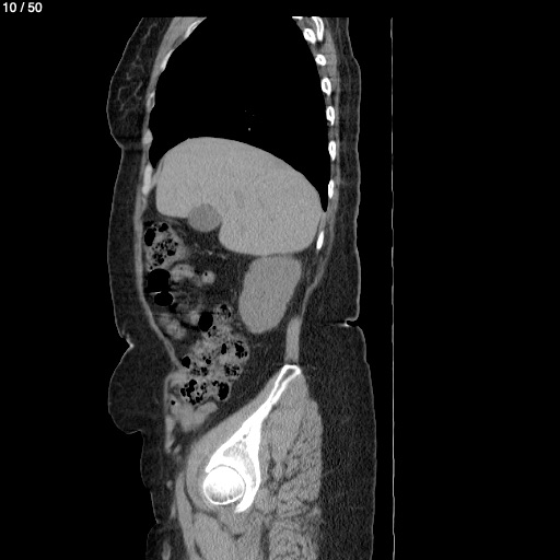
Janeth Castillo Garcia 50A - Unnamed
Previous Series
Show as Sequence