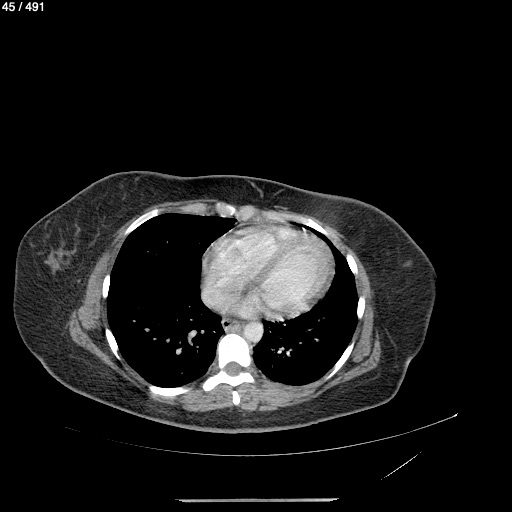
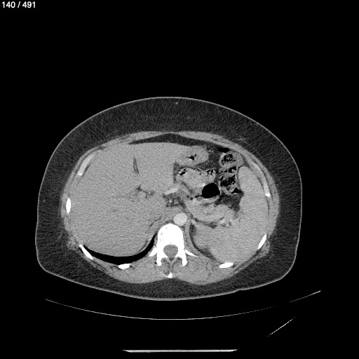
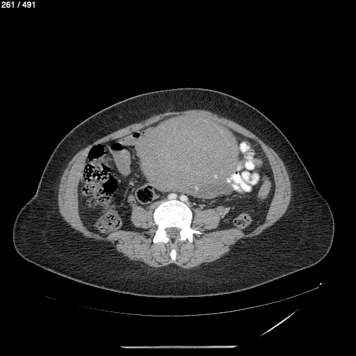
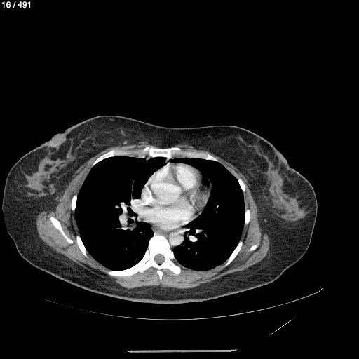
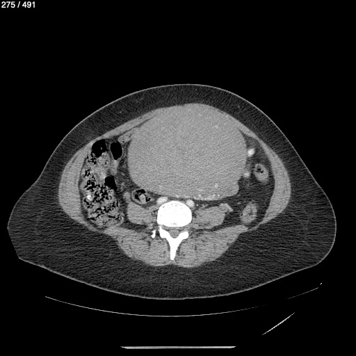
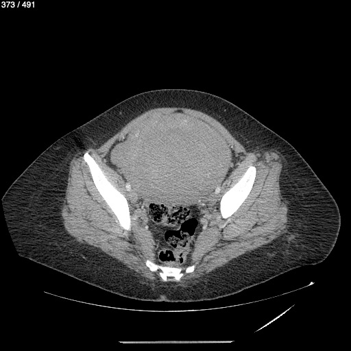
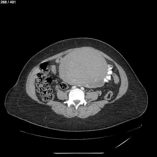
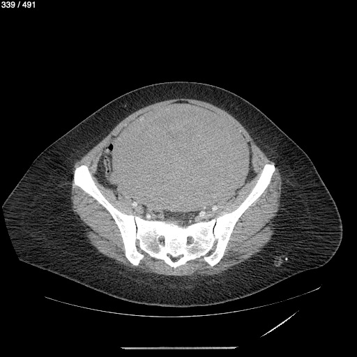
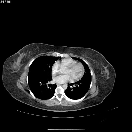
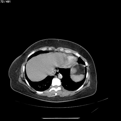
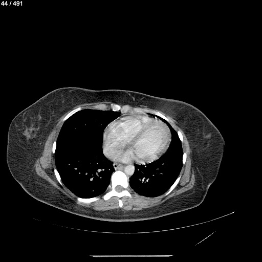
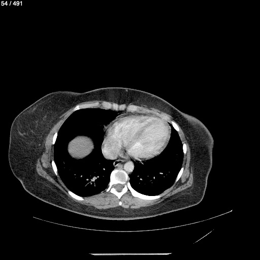
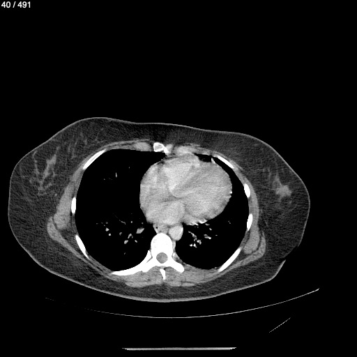
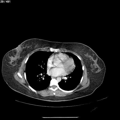
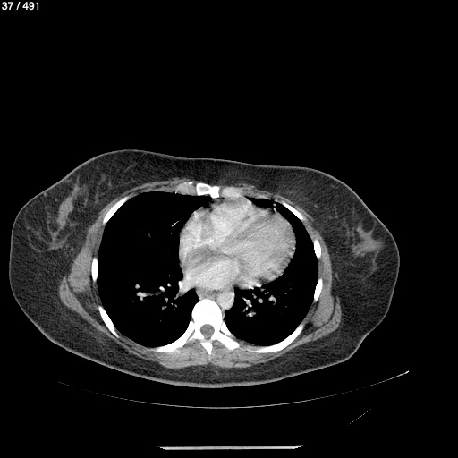
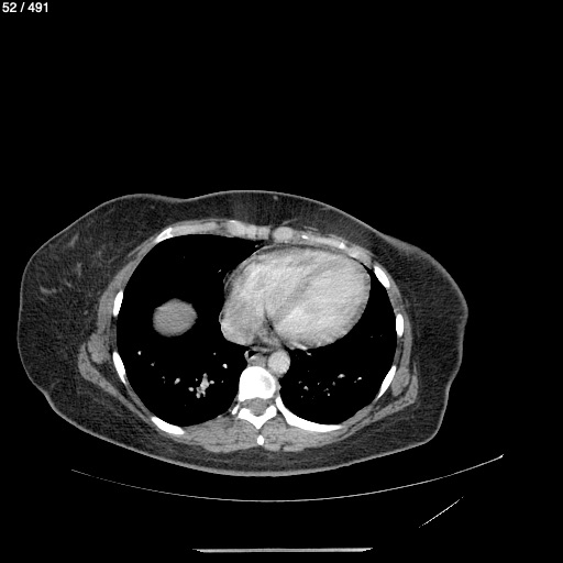
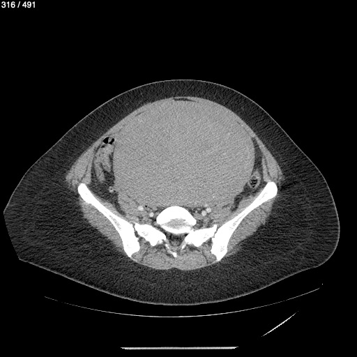
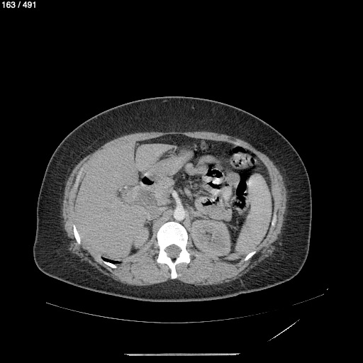
Home Y​o​a​n​i​ ​A​g​u​s​t​i​n​ ​M​o​r​a​l​e​s​ ​ ​4​4​A​ ​-​ ​U​n​n​a​m​e​d