ESPECIALIDADES
ESCUINTLA
AKISHINO
AKISHINO2 USG
HUIXTLA
Home
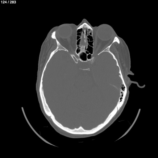
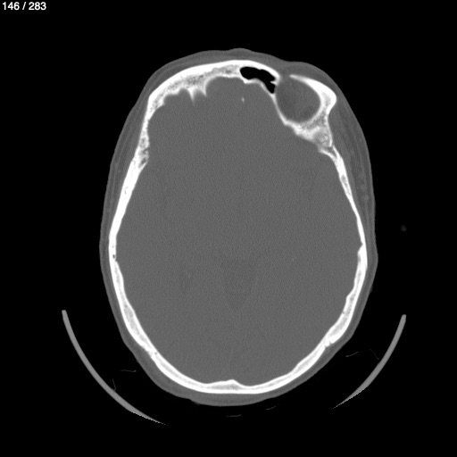
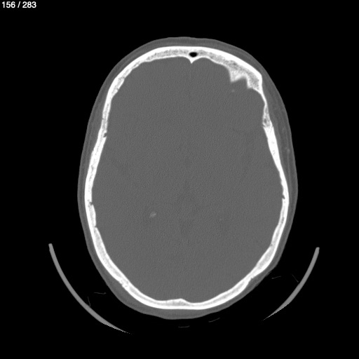
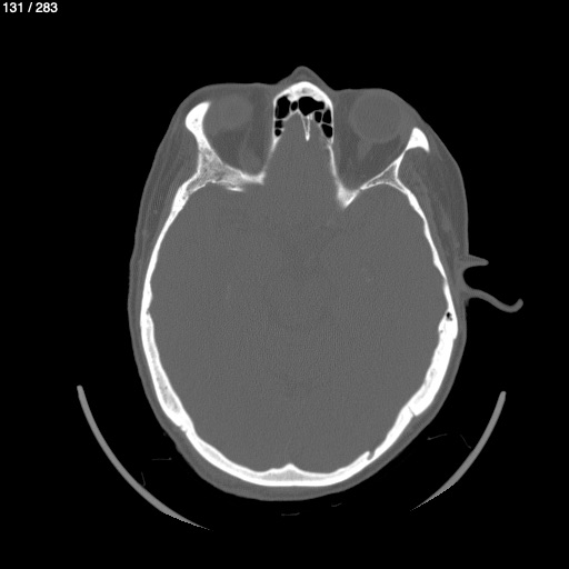
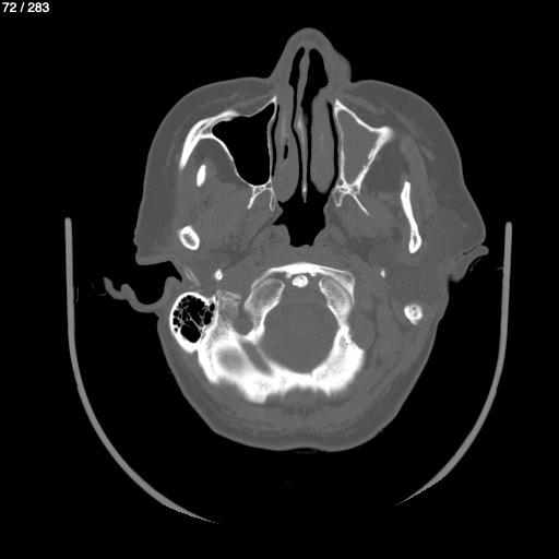
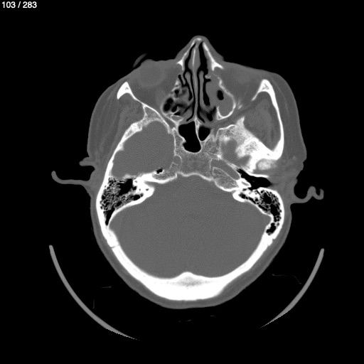
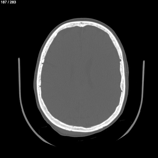
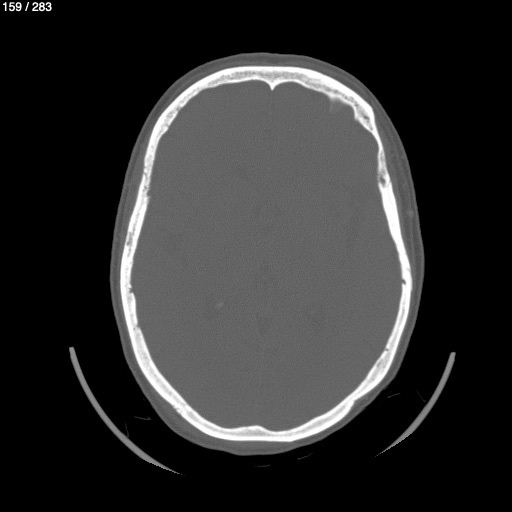
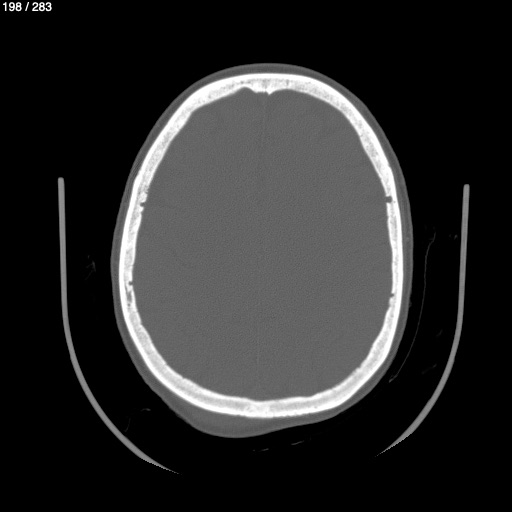
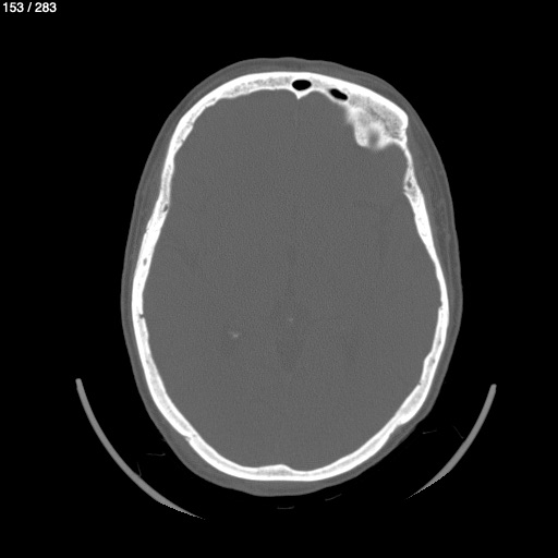
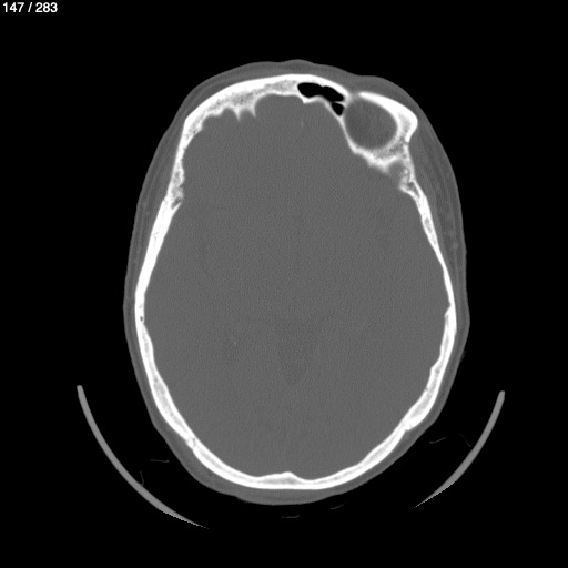
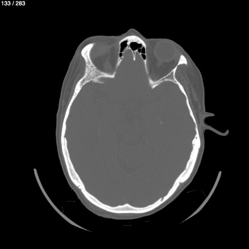
Elidia Durante Cruz 67A - Unnamed
Previous Series
Show as Sequence