ESPECIALIDADES
ESCUINTLA
AKISHINO
AKISHINO2 USG
HUIXTLA
Home
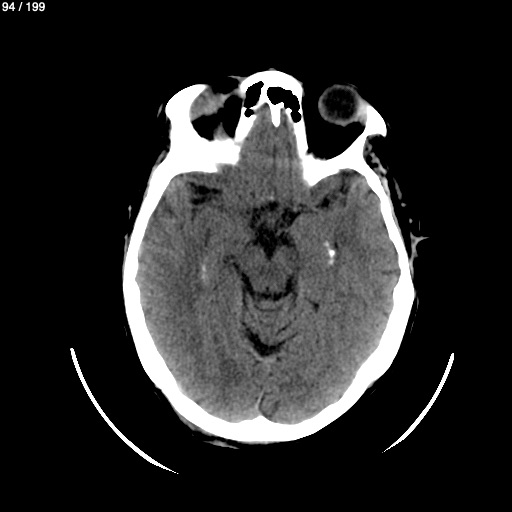
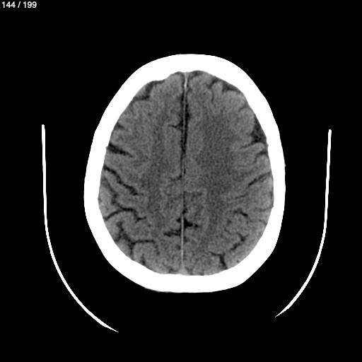
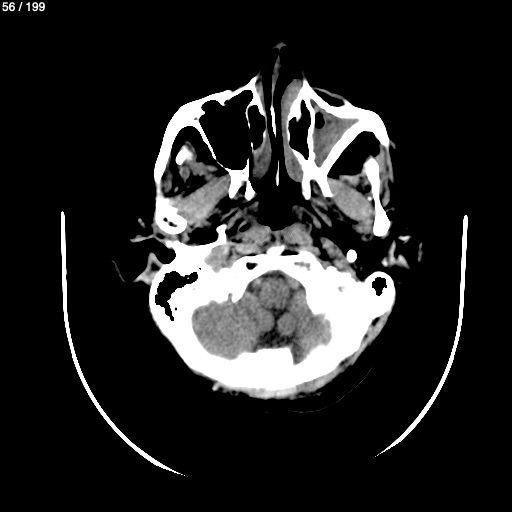
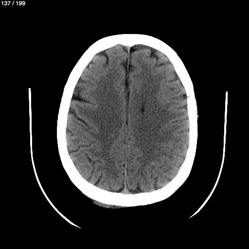
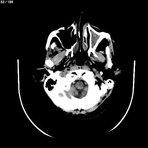
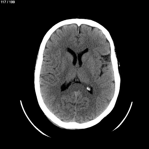
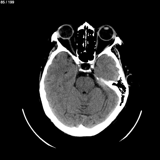
Elidia Durante Cruz 67A - Unnamed
Next Series
Show as Sequence