ESPECIALIDADES
ESCUINTLA
AKISHINO
AKISHINO2 USG
HUIXTLA
Home
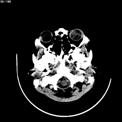
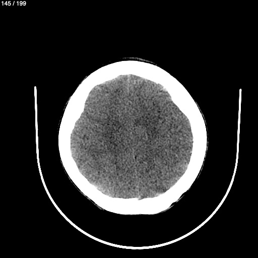
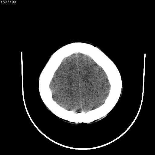
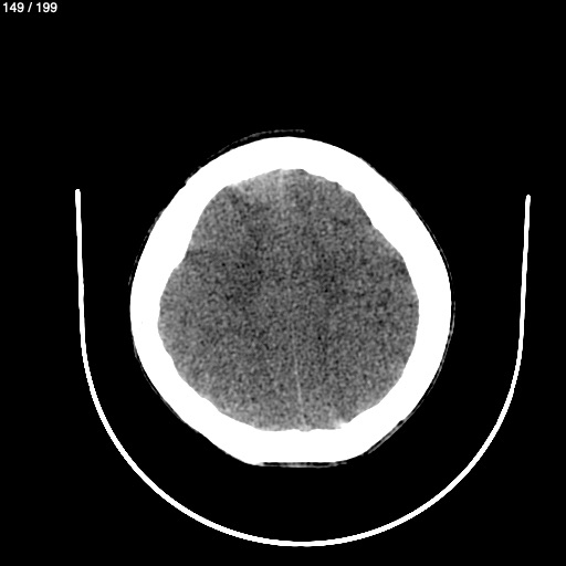
Cindy Harumi Perez 18A - Unnamed
Next Series
Show as Sequence