ESPECIALIDADES
ESCUINTLA
AKISHINO
AKISHINO2 USG
HUIXTLA
Home
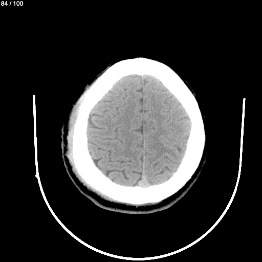
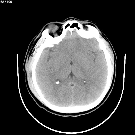
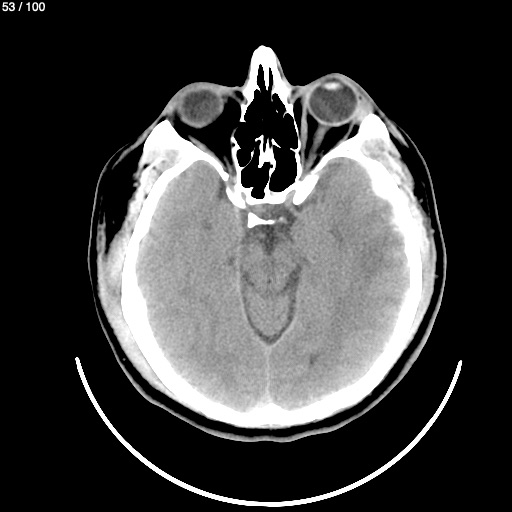
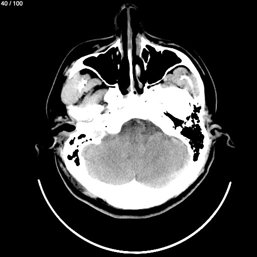
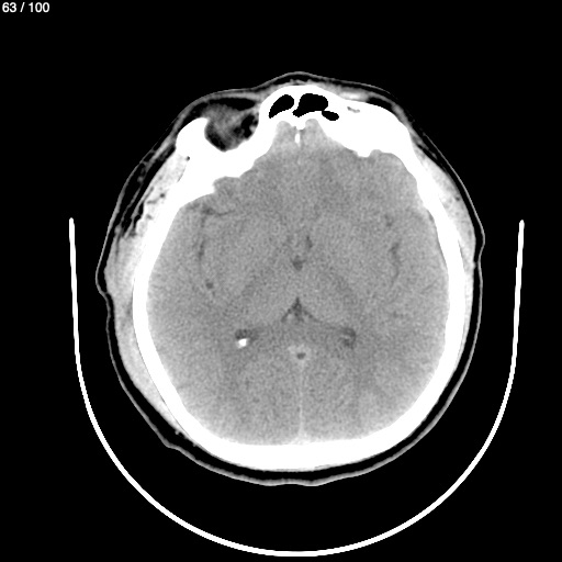
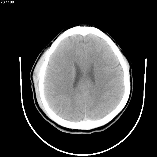
Alfredo Orozco Antonio 30A - Unnamed
Next Series
Show as Sequence