ESPECIALIDADES
ESCUINTLA
AKISHINO
AKISHINO2 USG
HUIXTLA
Home
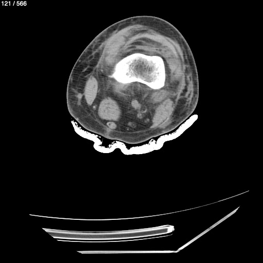
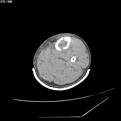
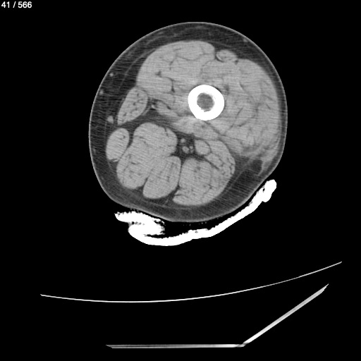
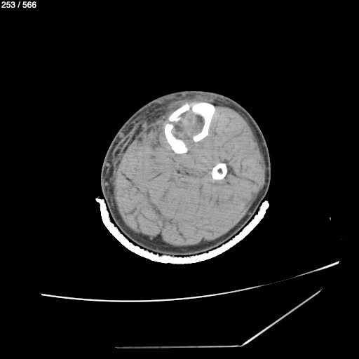
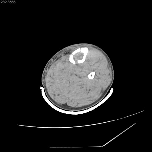
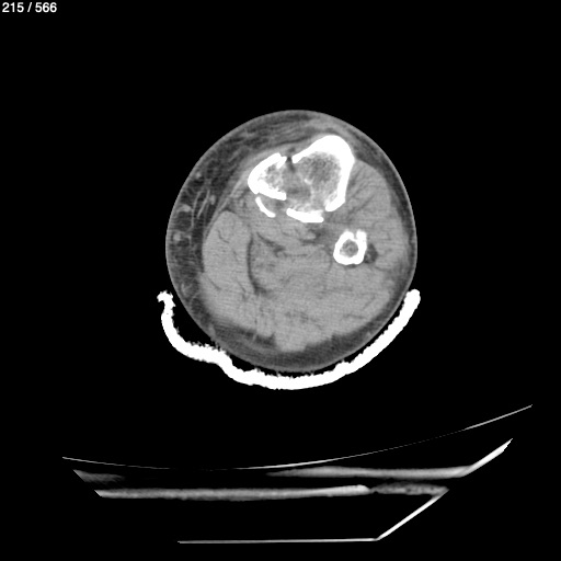
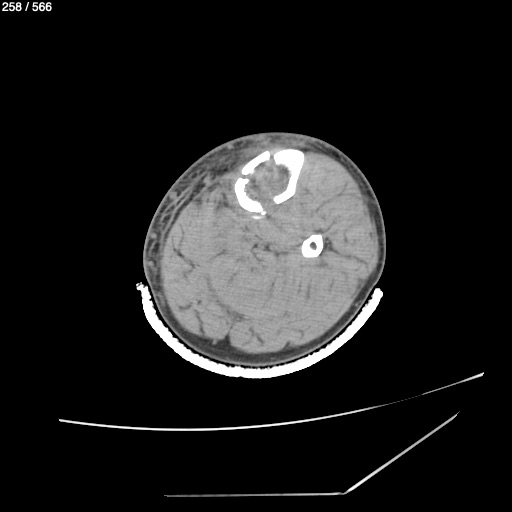
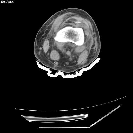
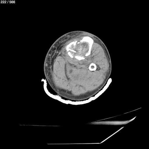
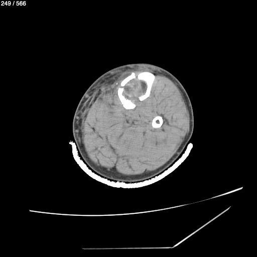
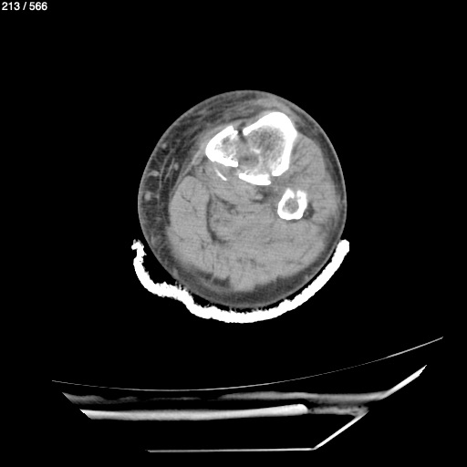
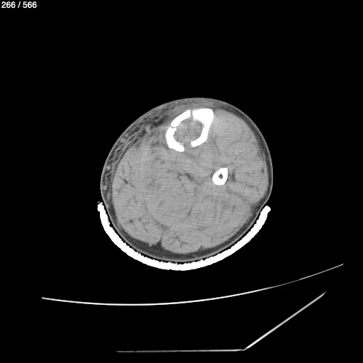
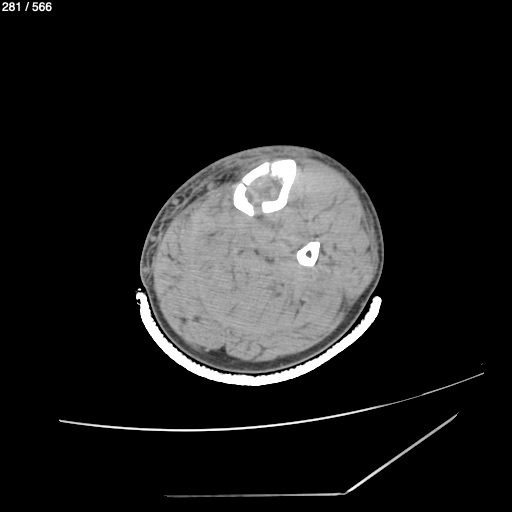
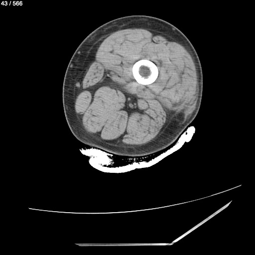
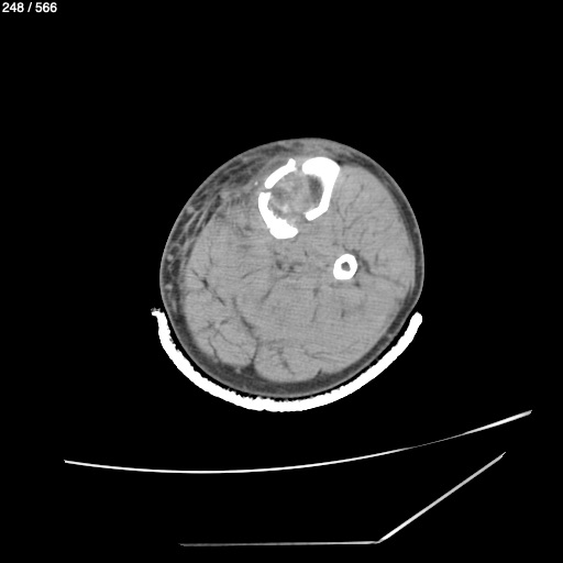
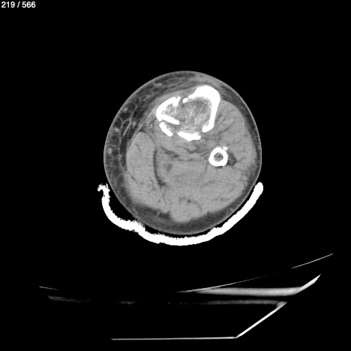
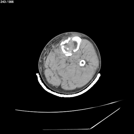
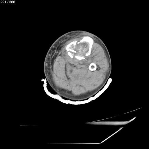
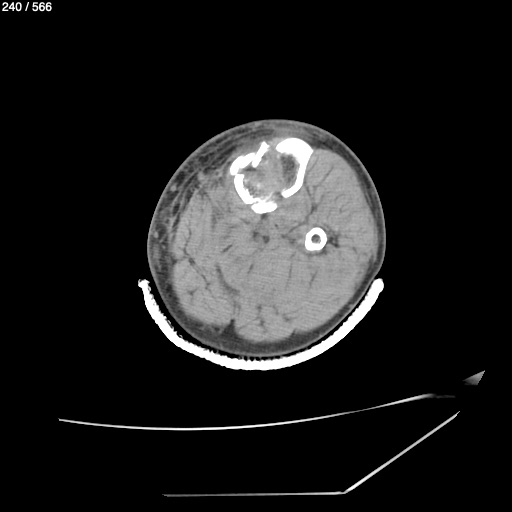
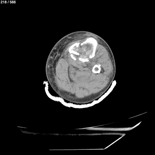
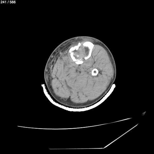
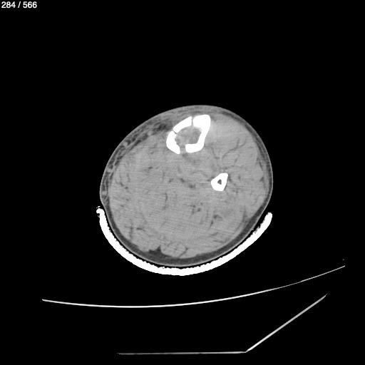
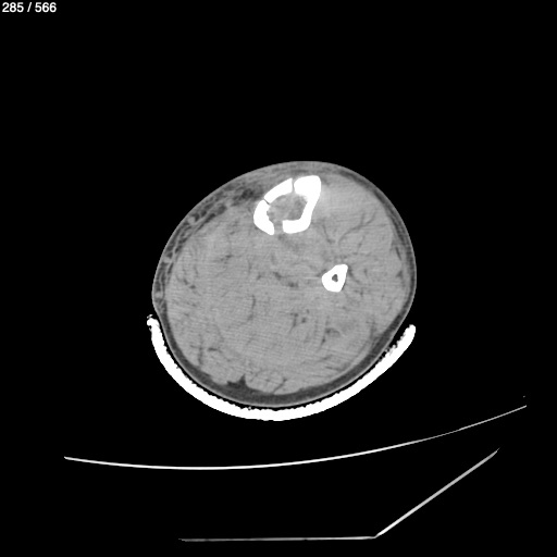
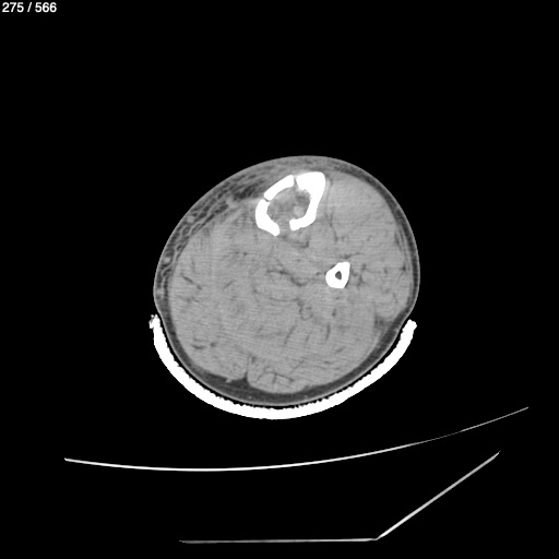
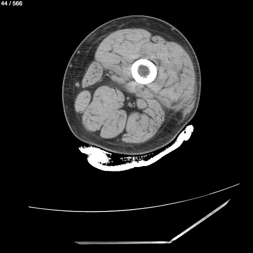
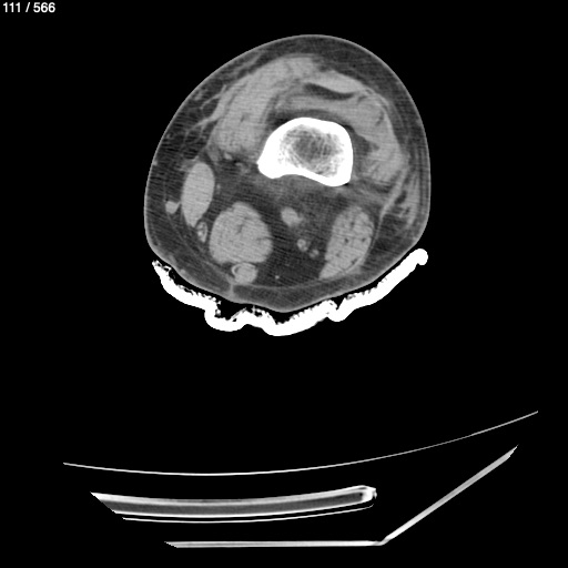
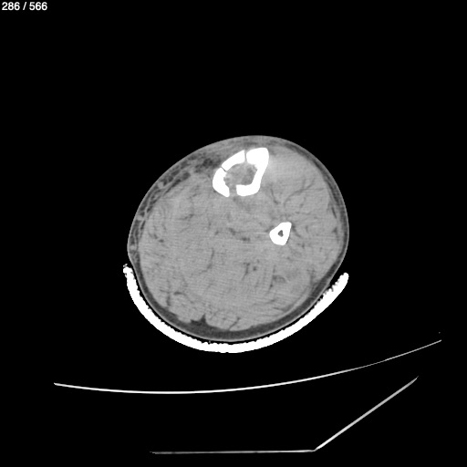
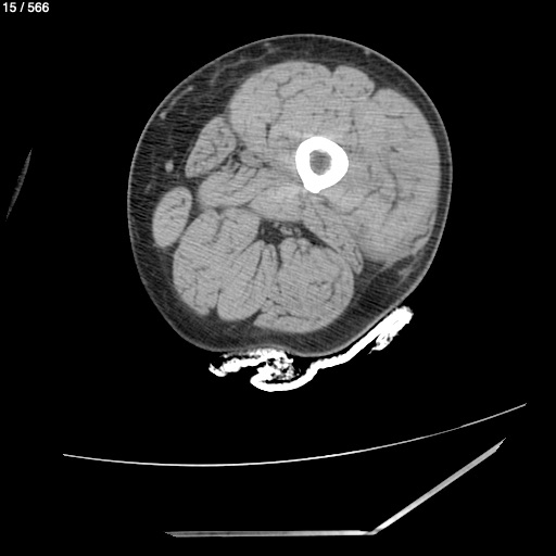
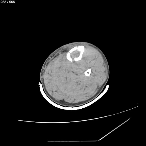
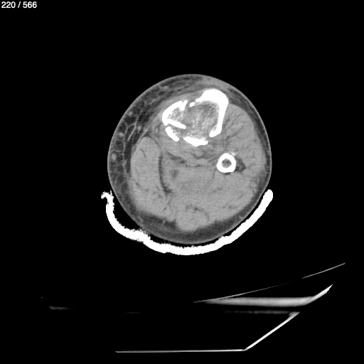
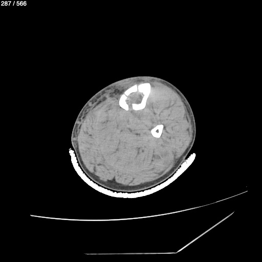
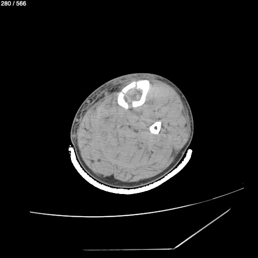
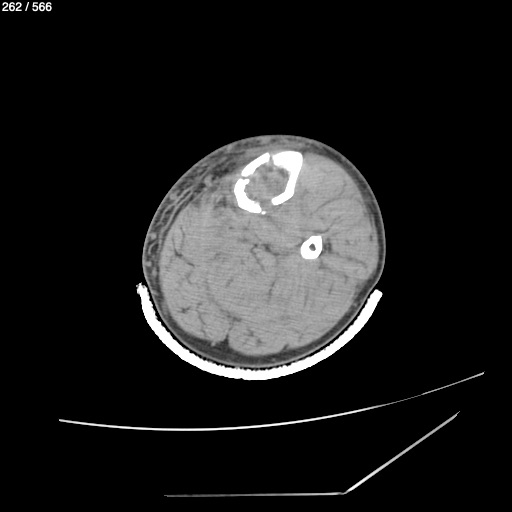
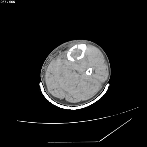
Victor Manuel Miranda Rojas 46A - Rodilla Y Tibi Y Peron
Previous Series
Next Series
Show as Sequence