ESPECIALIDADES
ESCUINTLA
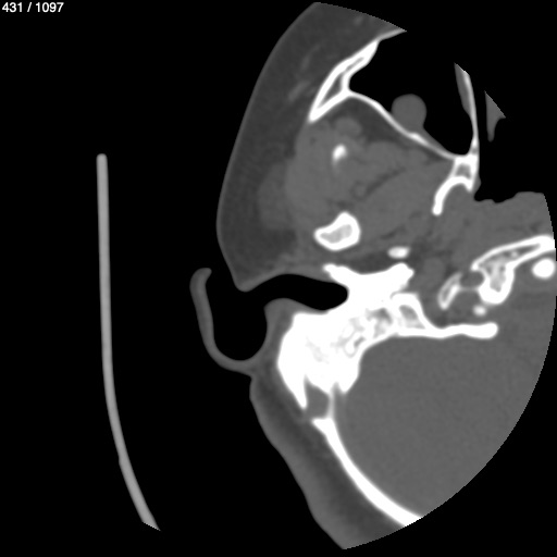
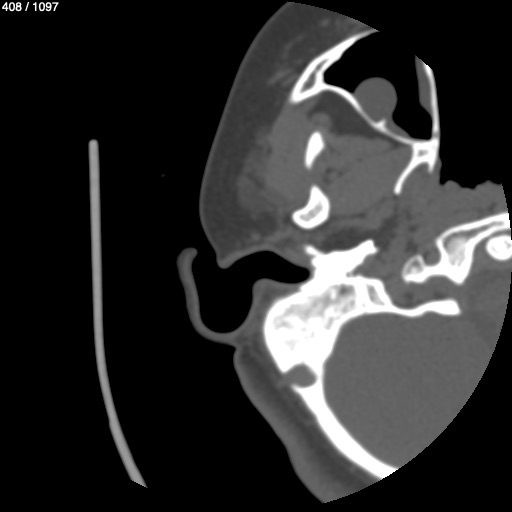
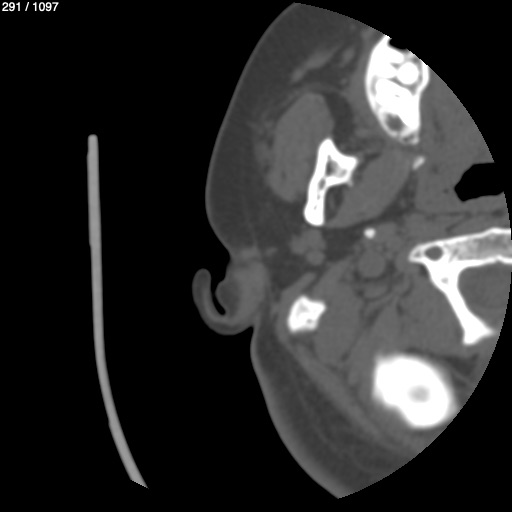
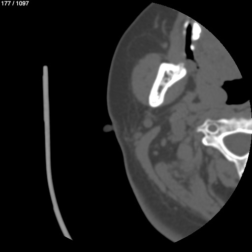
AKISHINO
AKISHINO2 USG
HUIXTLA
Home
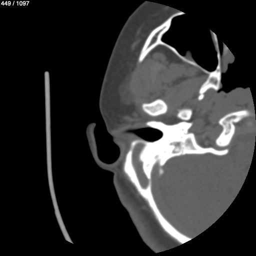
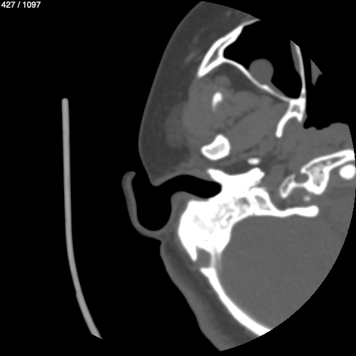
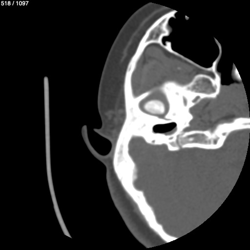
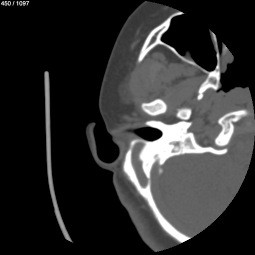
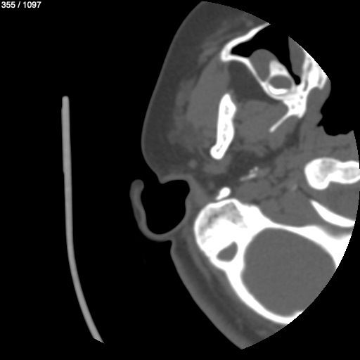
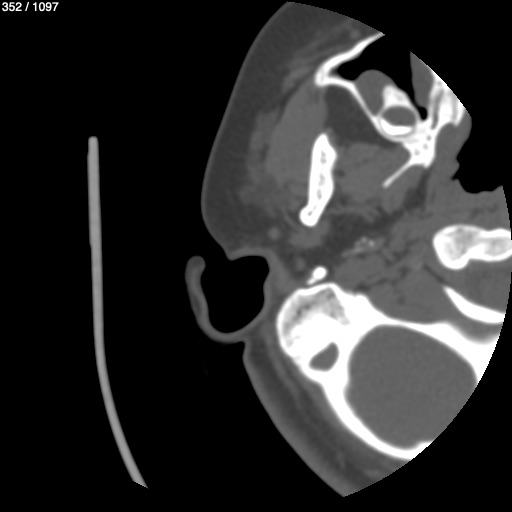
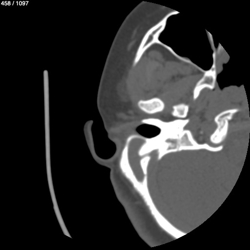
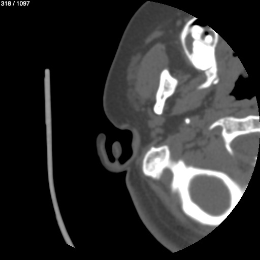
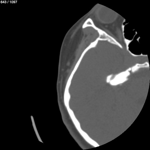
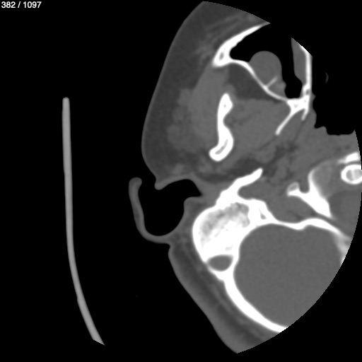
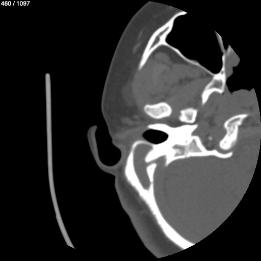
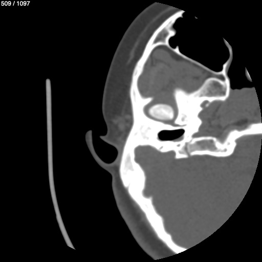
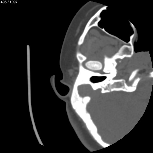
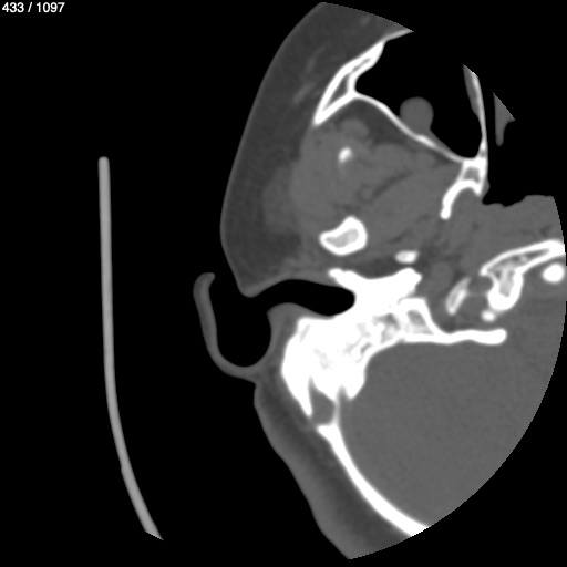
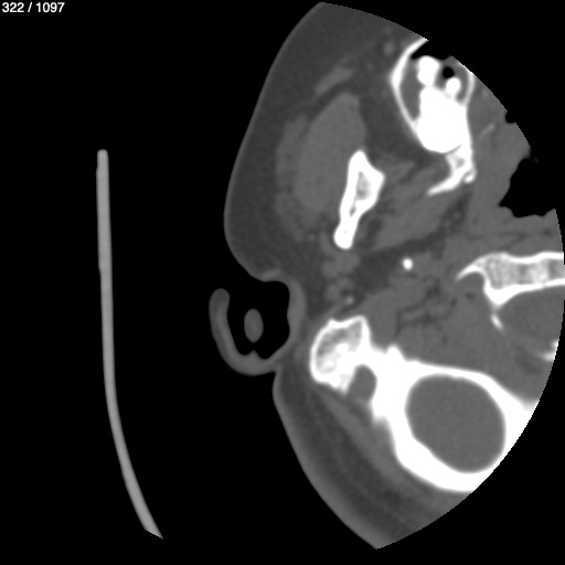
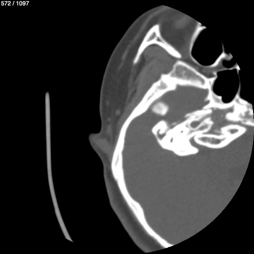
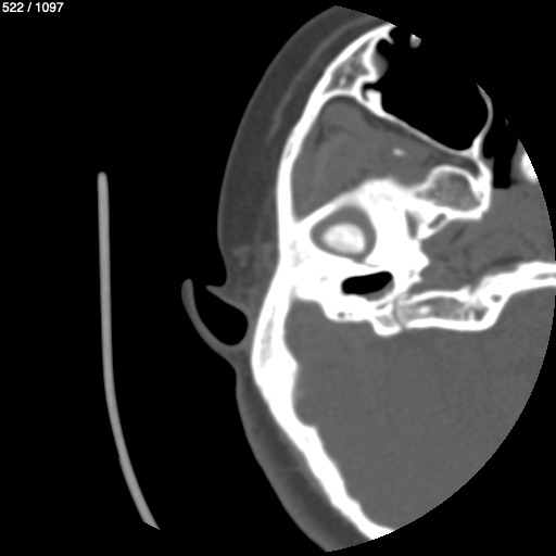
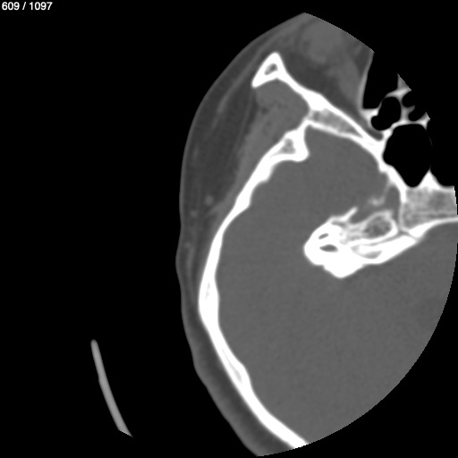
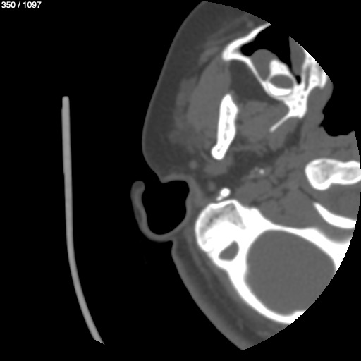
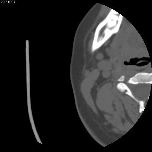
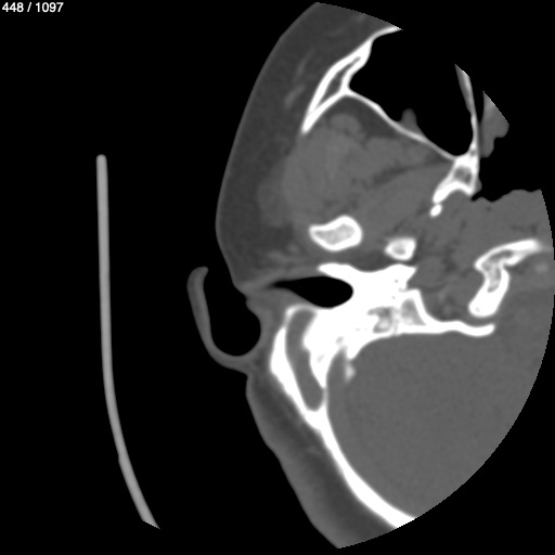
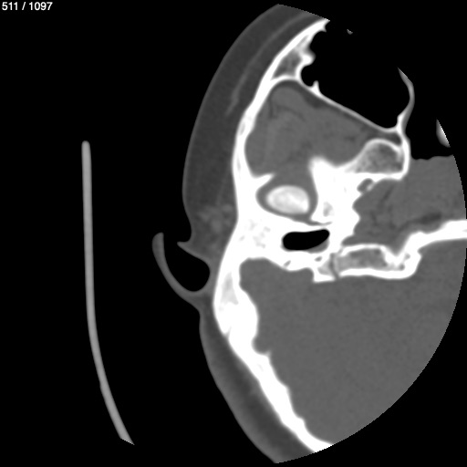
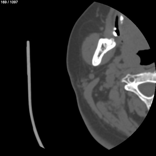
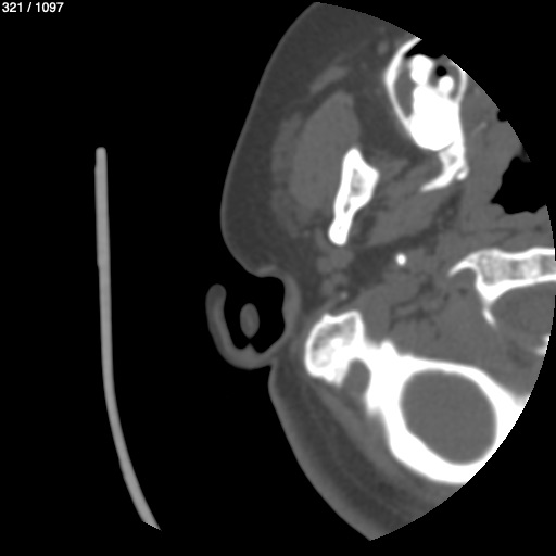
Cielo Azucena Martinez Gon 13A - Unnamed
Next Series
Show as Sequence