ESPECIALIDADES
ESCUINTLA
AKISHINO
AKISHINO2 USG
HUIXTLA
Home
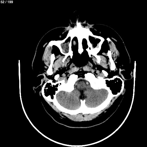
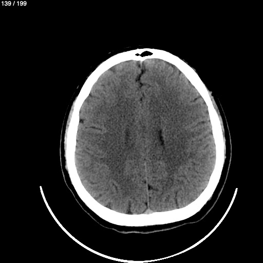
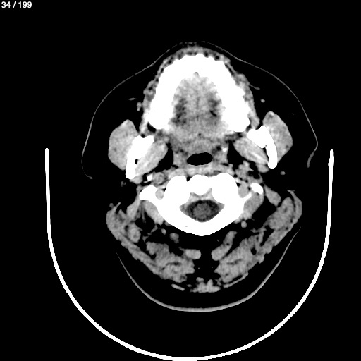
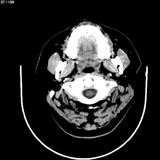
Genry Santizo Diaz 29A - Unnamed
Next Series
Show as Sequence