ESPECIALIDADES
ESCUINTLA
AKISHINO
AKISHINO2 USG
HUIXTLA
Home
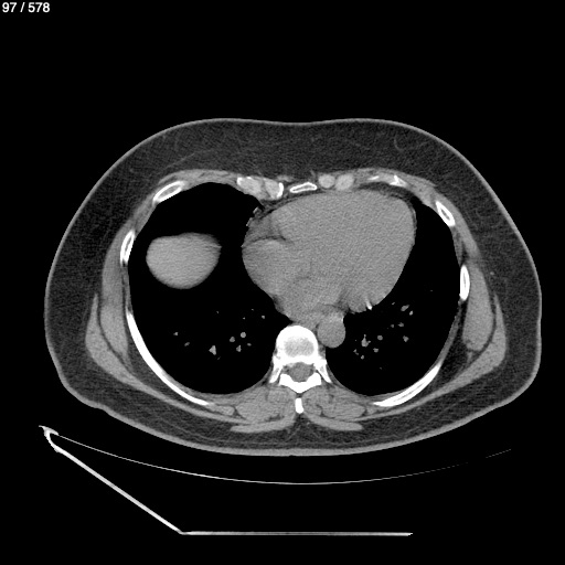
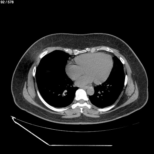
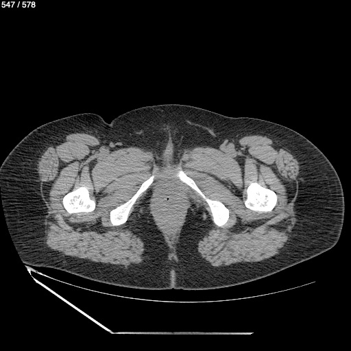
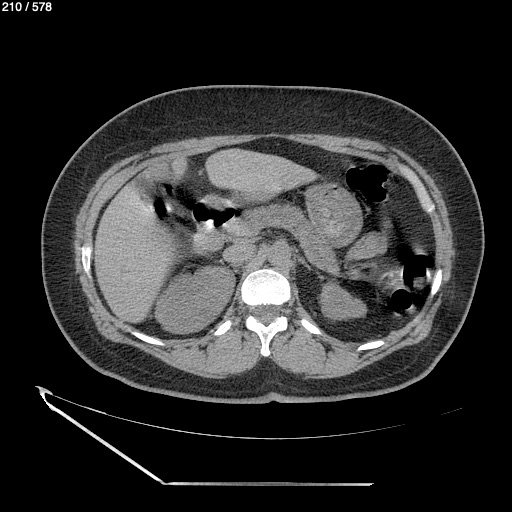
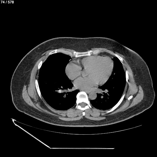
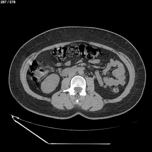
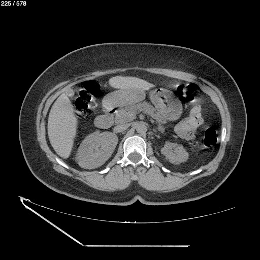
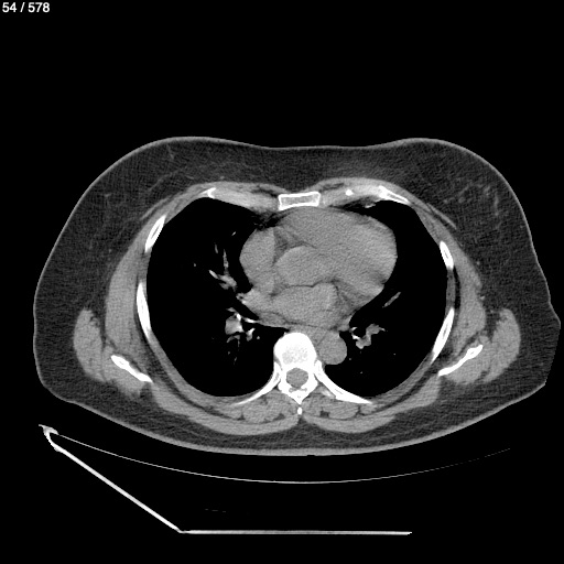
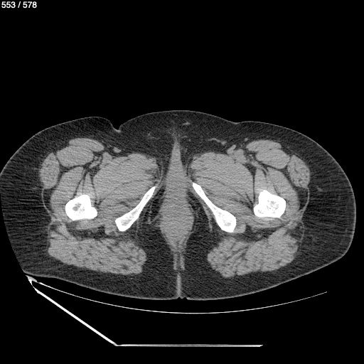
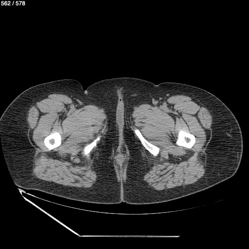
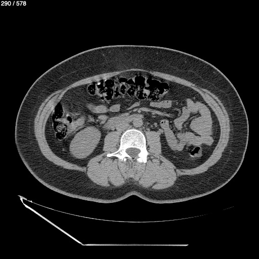
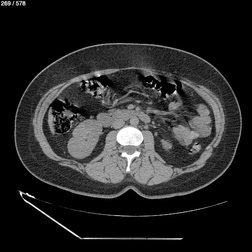
Rosa Isela Arriaga Villar 44A - E+1
Previous Series
Next Series
Show as Sequence