ESPECIALIDADES
ESCUINTLA
AKISHINO
AKISHINO2 USG
HUIXTLA
Home
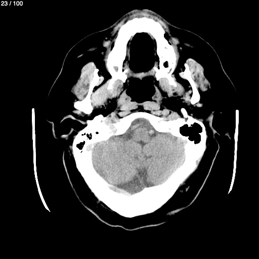
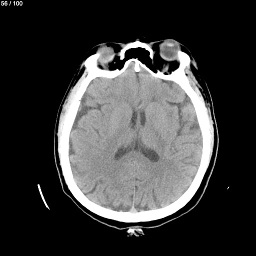
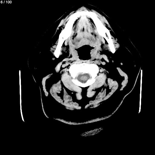
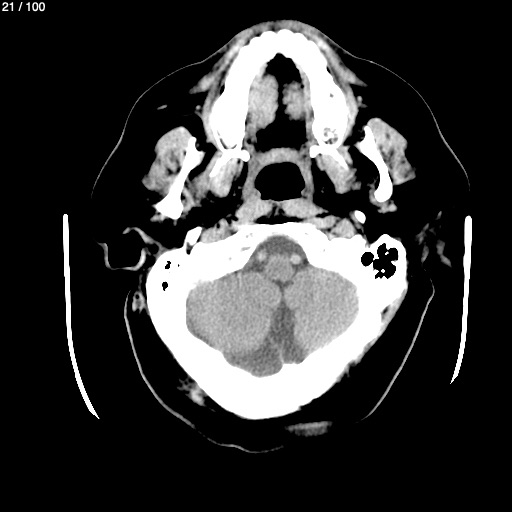
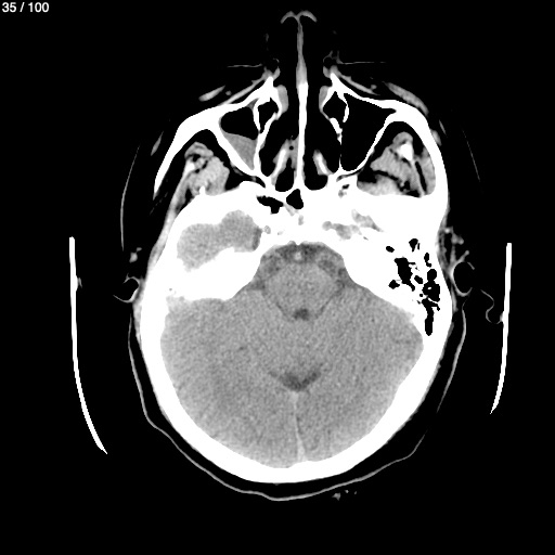
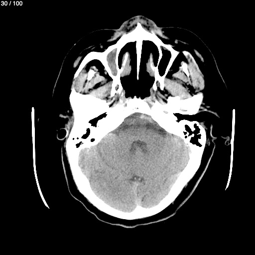
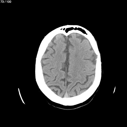
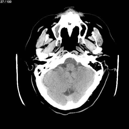
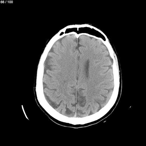
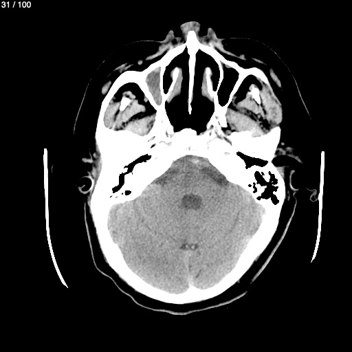
Rodrigo Villegas Perez 46A - Unnamed
Next Series
Show as Sequence