ESPECIALIDADES
ESCUINTLA
AKISHINO
AKISHINO2 USG
HUIXTLA
Home
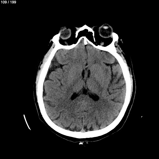
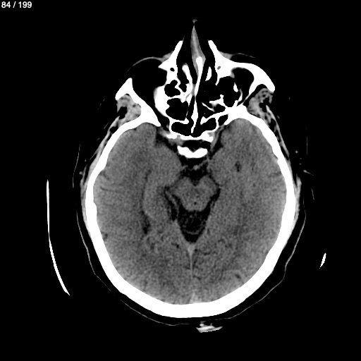
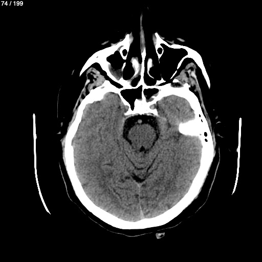
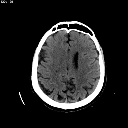
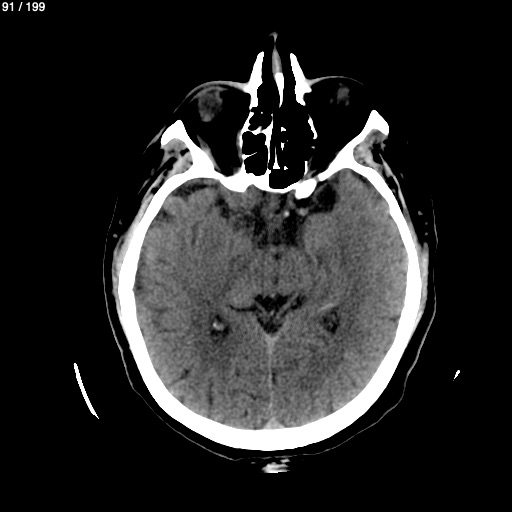
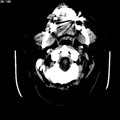
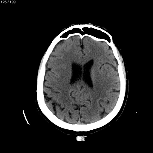
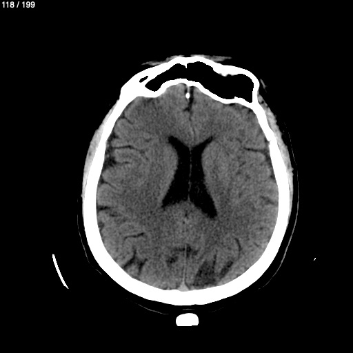
Rodrigo Villegas Perez 46A - Unnamed
Previous Series
Show as Sequence