ESPECIALIDADES
ESCUINTLA
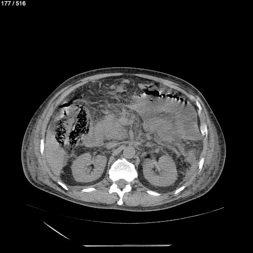
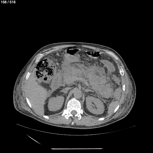
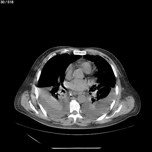
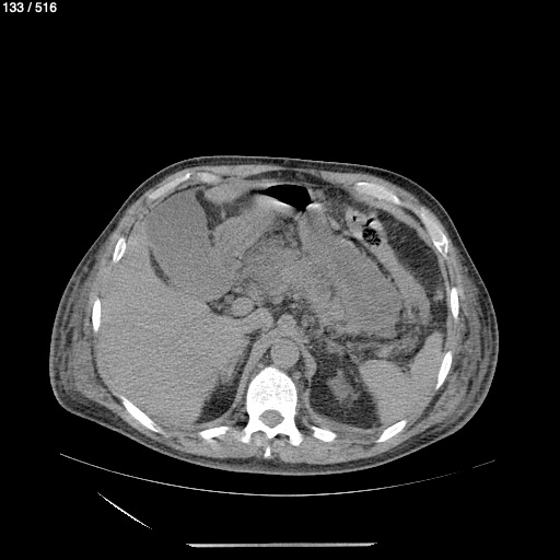
AKISHINO
AKISHINO2 USG
HUIXTLA
Home
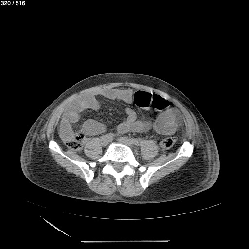
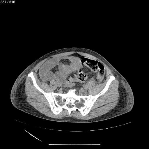
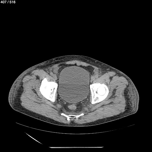
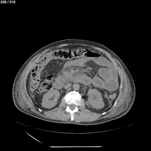
Apolinar Mejia Velazquez 60A - Unnamed
Next Series
Show as Sequence