ESPECIALIDADES
ESCUINTLA
AKISHINO
AKISHINO2 USG
HUIXTLA
Home
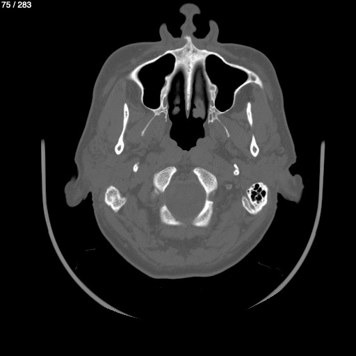
Ciro Gonzalez Vazquez 62A - Unnamed
Previous Series
Show as Sequence