ESPECIALIDADES
ESCUINTLA
AKISHINO
AKISHINO2 USG
HUIXTLA
Home
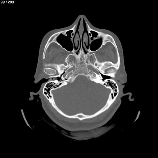
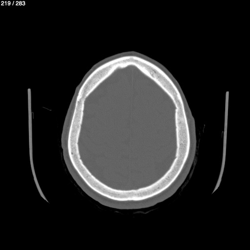
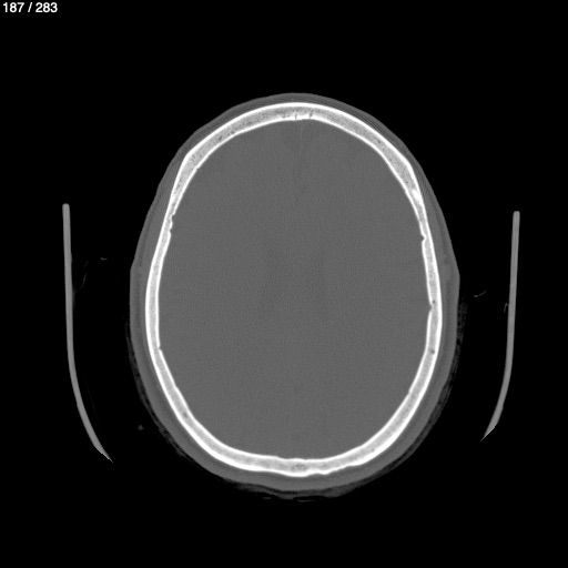
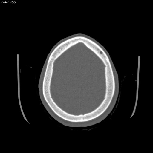
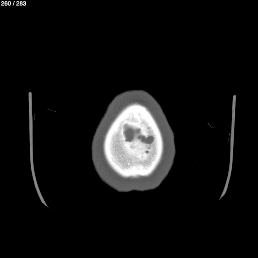
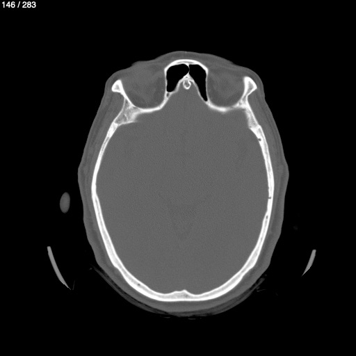
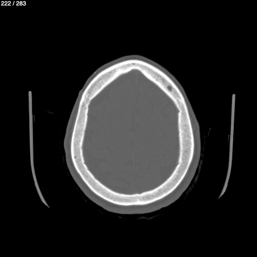
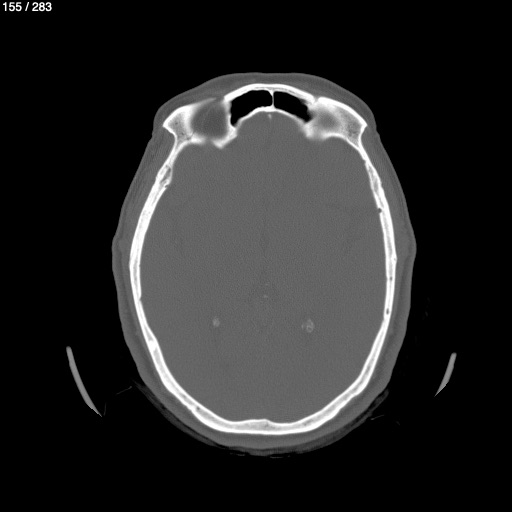
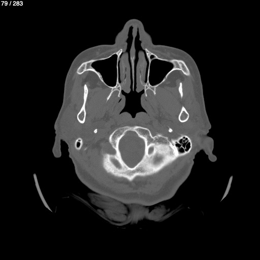
Floricelda Mejia Gonzalez 68A - Unnamed
Previous Series
Next Series
Show as Sequence