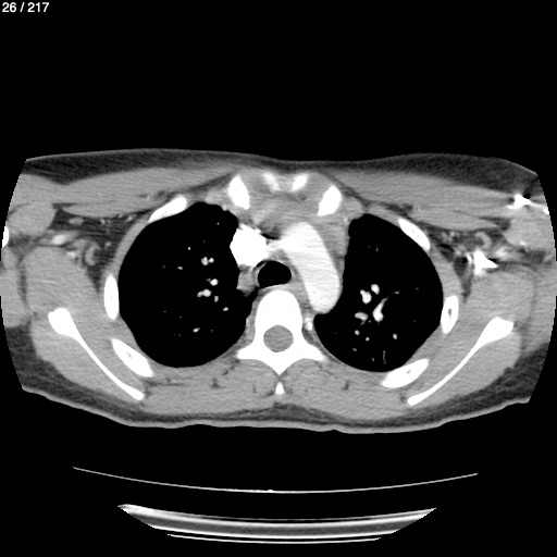
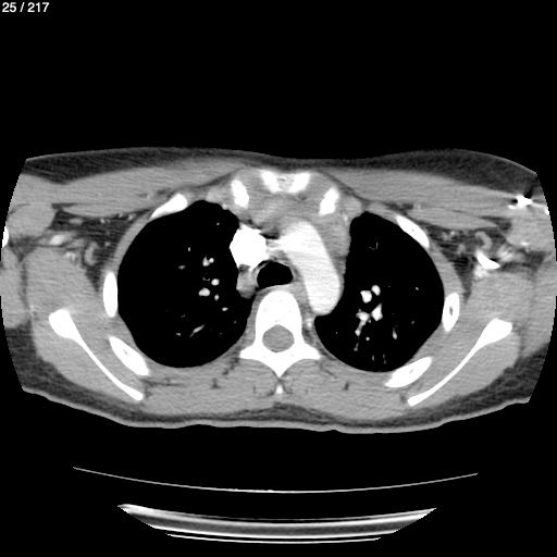
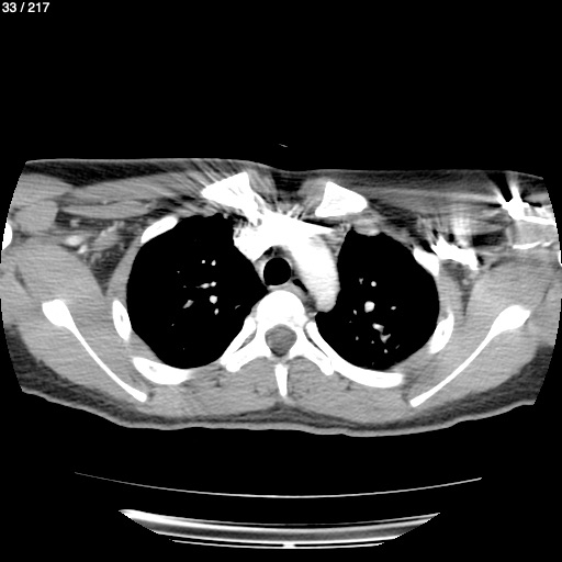
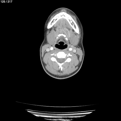
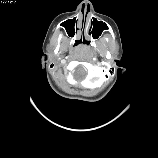
Home D​a​l​i​a​ ​I​s​a​b​e​l​ ​M​a​r​t​i​n​e​z​ ​P​e​r​e​z​ ​ ​1​2​A​ ​-​ ​U​n​n​a​m​e​d