ESPECIALIDADES
ESCUINTLA
AKISHINO
AKISHINO2 USG
HUIXTLA
Home
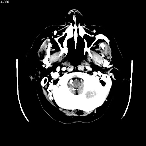
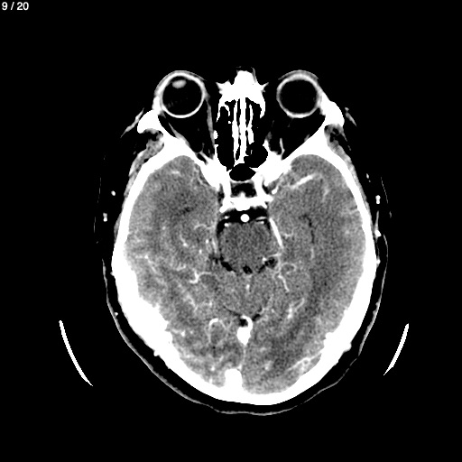
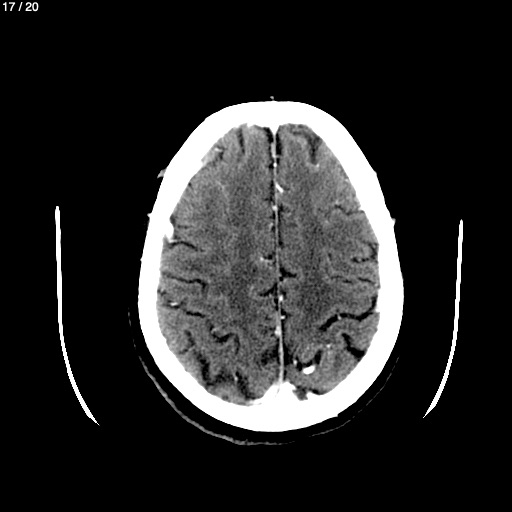
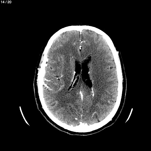
Adiveraldo Moralez Dominguez 61 - Unnamed
Previous Series
Next Series
Show as Sequence