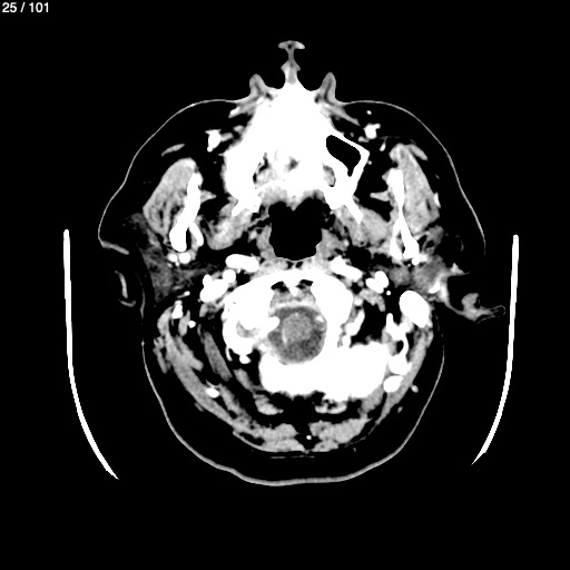
Home A​d​i​v​e​r​a​l​d​o​ ​M​o​r​a​l​e​z​ ​D​o​m​i​n​g​u​e​z​ ​ ​6​1​ ​-​ ​U​n​n​a​m​e​d