ESPECIALIDADES
ESCUINTLA
AKISHINO
AKISHINO2 USG
HUIXTLA
Home
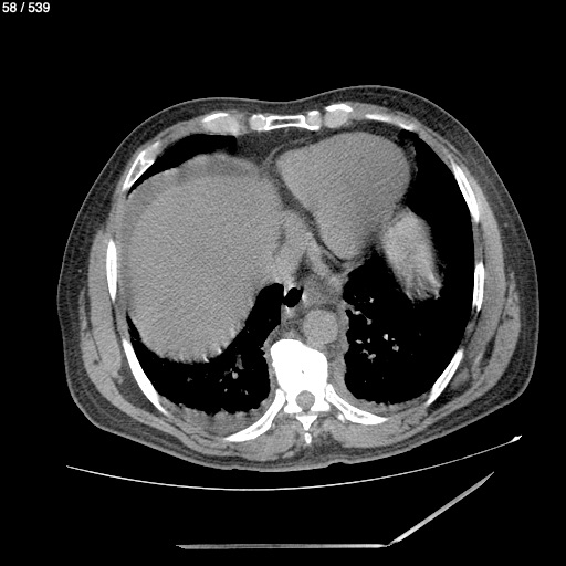
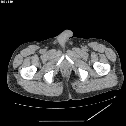
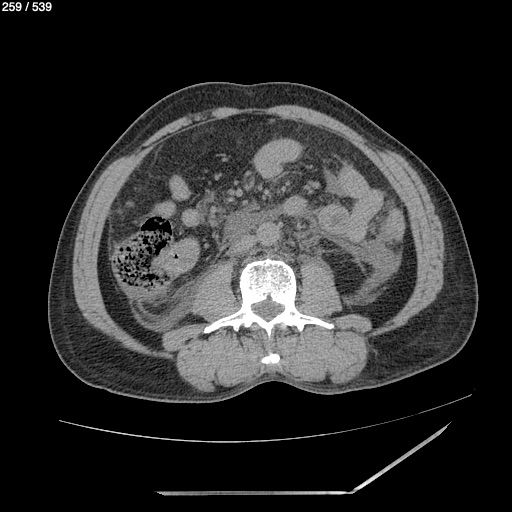
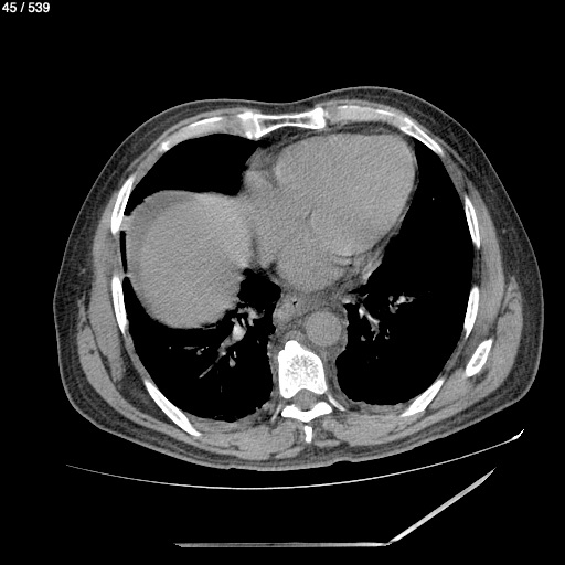
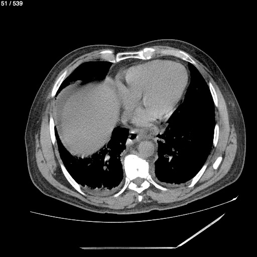
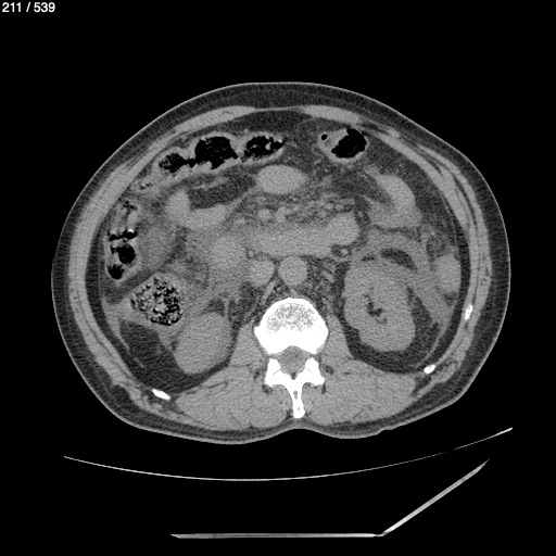
Apolinario Mejia Velazquez 60A - Unnamed
Next Series
Show as Sequence