ESPECIALIDADES
ESCUINTLA
AKISHINO
AKISHINO2 USG
HUIXTLA
Home
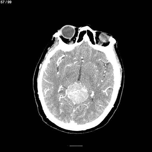
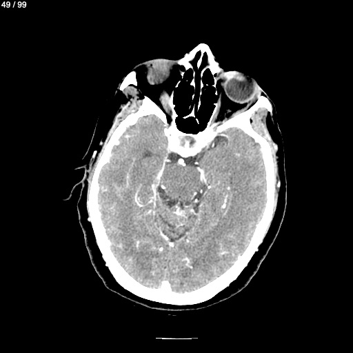
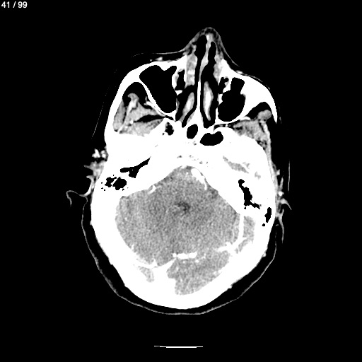
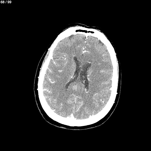
Clara Ventura Velazquez 74A - Craneo Syc
Previous Series
Next Series
Show as Sequence