ESPECIALIDADES
ESCUINTLA
AKISHINO
AKISHINO2 USG
HUIXTLA
Home
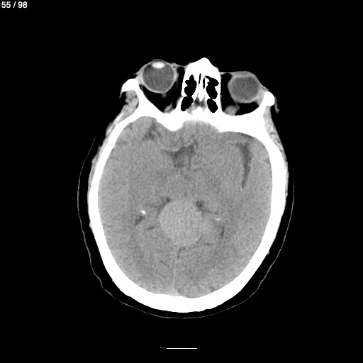
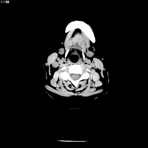
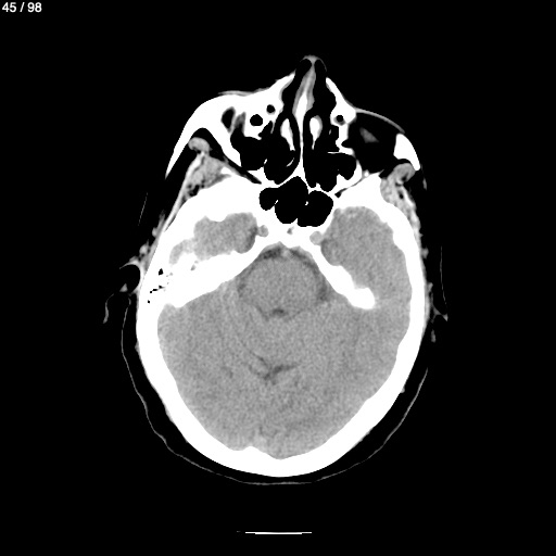
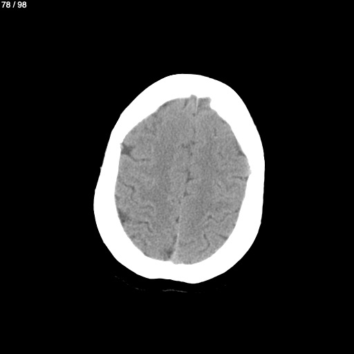
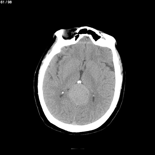
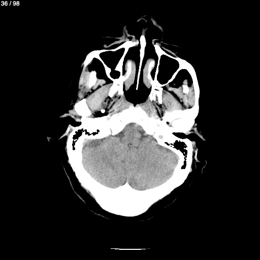
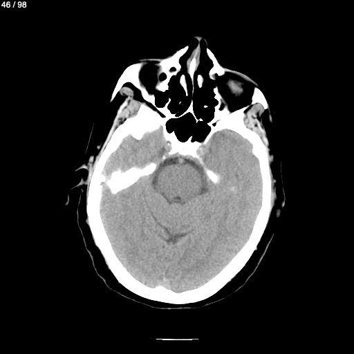
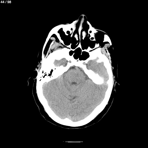
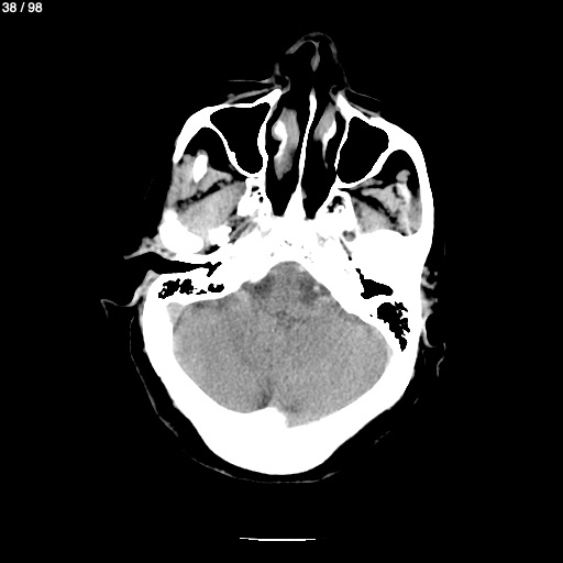
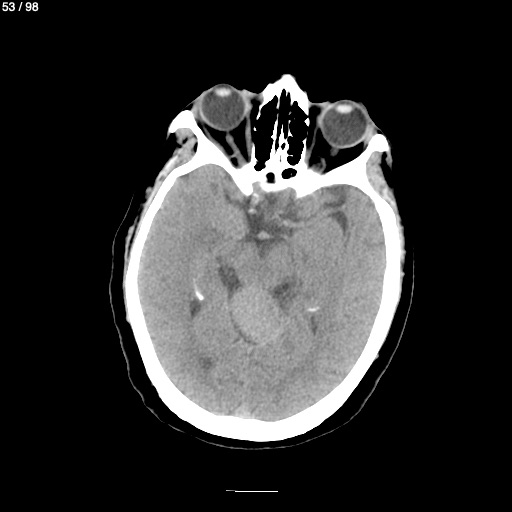
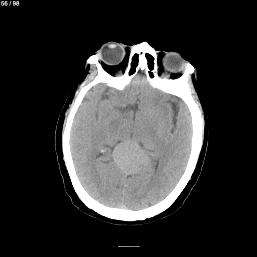
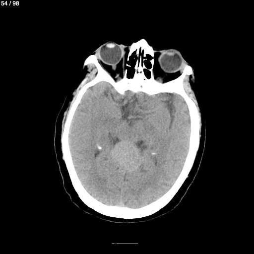
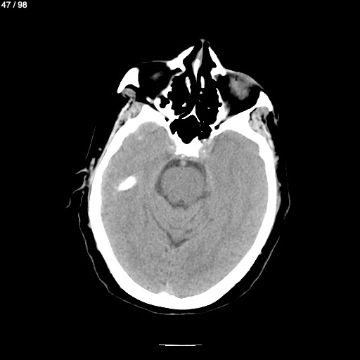
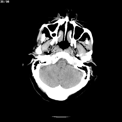
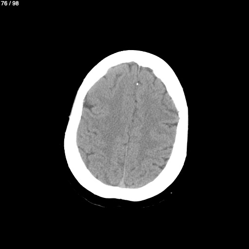
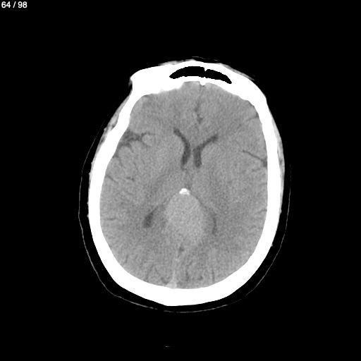
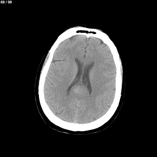
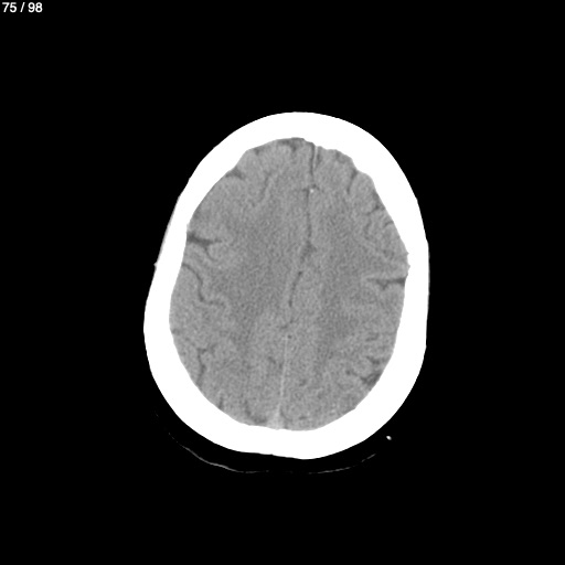
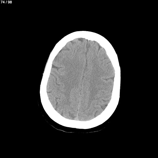
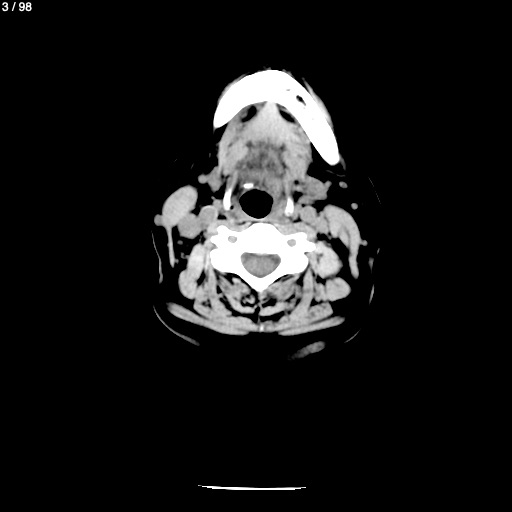
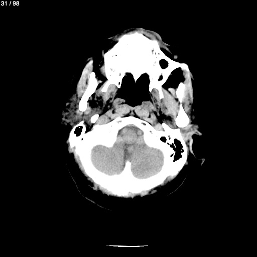
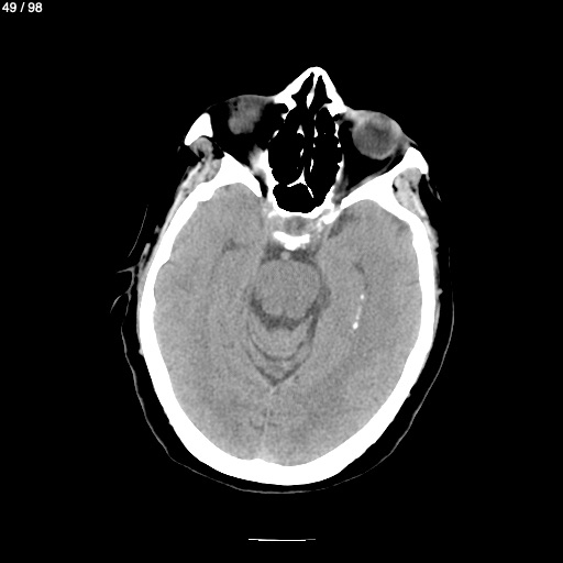
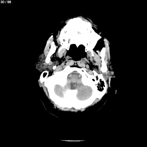
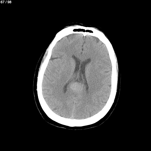
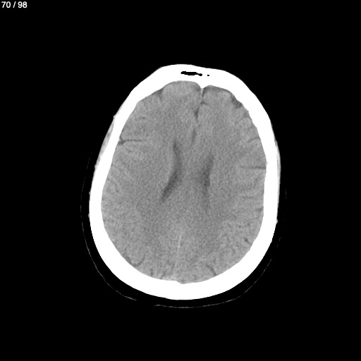
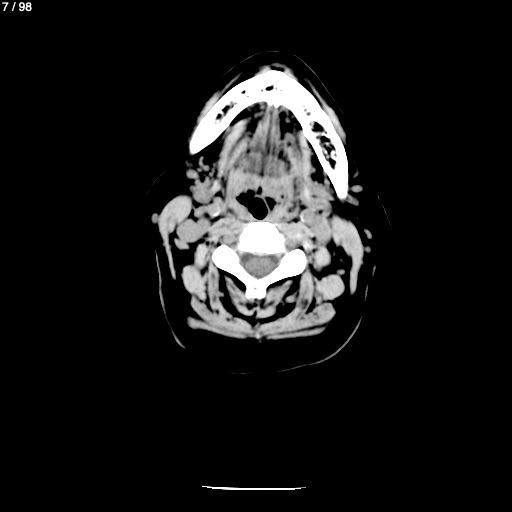
Clara Ventura Velazquez 74A - Craneo Syc
Next Series
Show as Sequence