ESPECIALIDADES
ESCUINTLA
AKISHINO
AKISHINO2 USG
HUIXTLA
Home
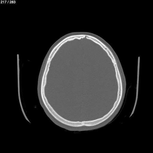
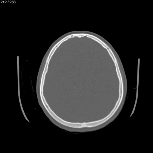
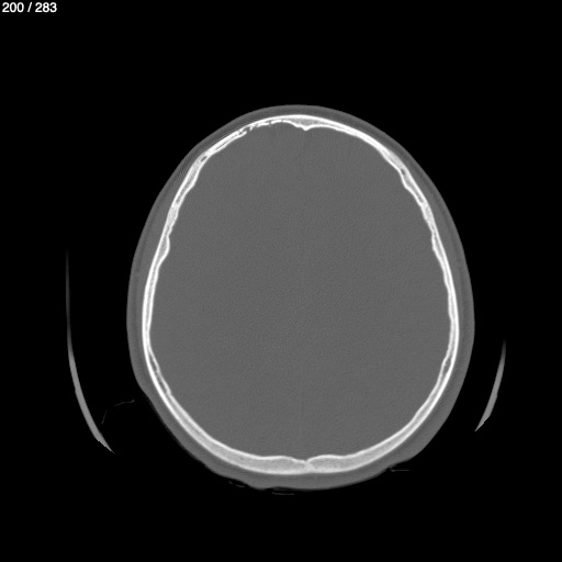
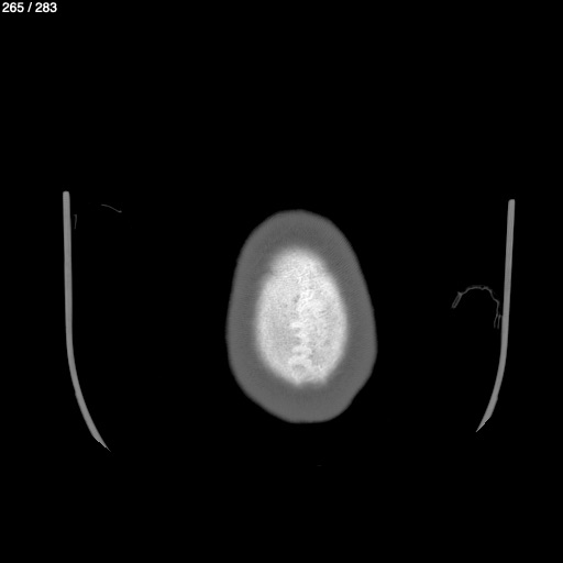
Brayan Alexis Alvarez 13A - Unnamed
Previous Series
Next Series
Show as Sequence