ESPECIALIDADES
ESCUINTLA
AKISHINO
AKISHINO2 USG
HUIXTLA
Home
Adolfo Diaz Escalante 75A - Unnamed
Previous Series
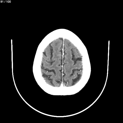
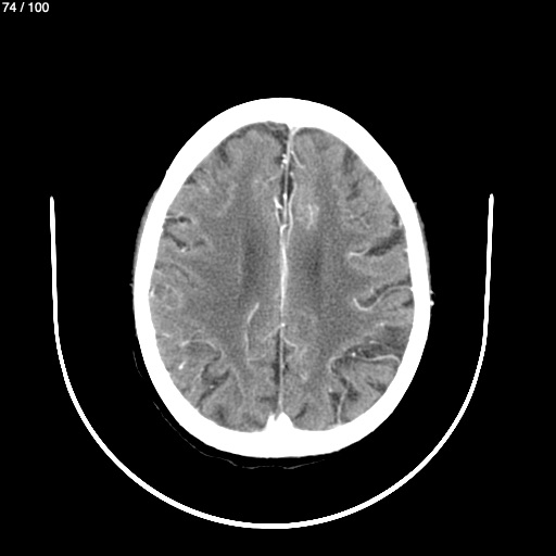
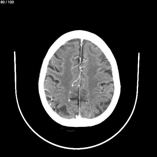
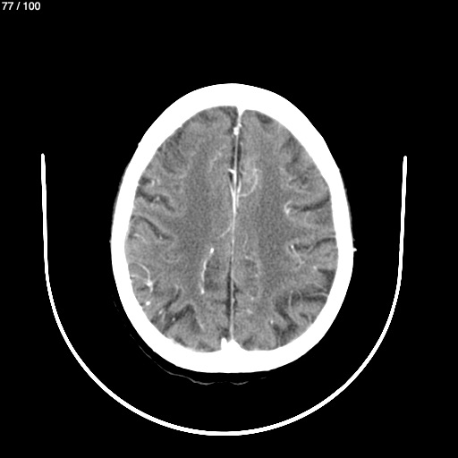
Show as Sequence