ESPECIALIDADES
ESCUINTLA
AKISHINO
AKISHINO2 USG
HUIXTLA
Home
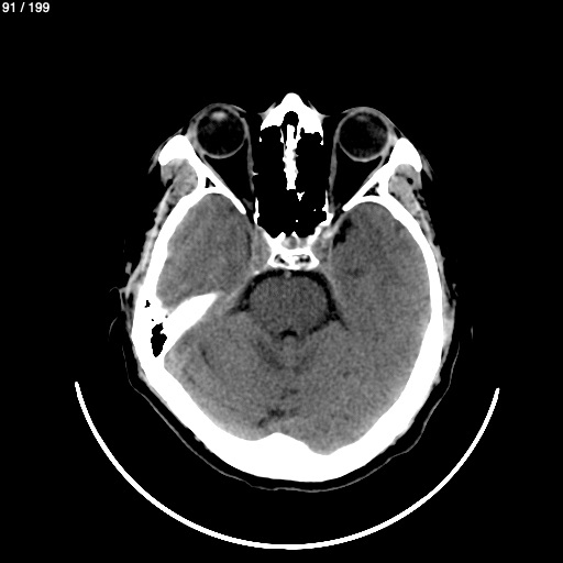
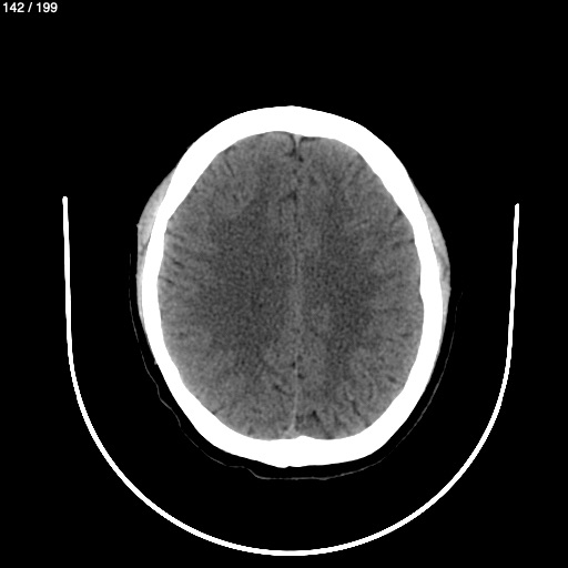
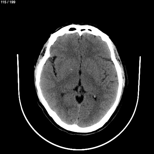
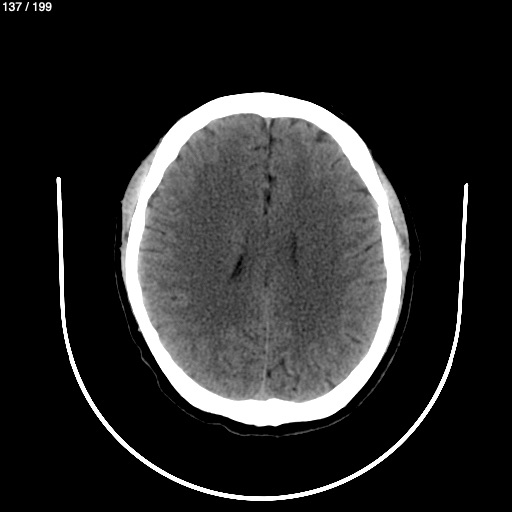
Berlain Lopez Morales 38A - Unnamed
Next Series
Show as Sequence