ESPECIALIDADES
ESCUINTLA
AKISHINO
AKISHINO2 USG
HUIXTLA
Home
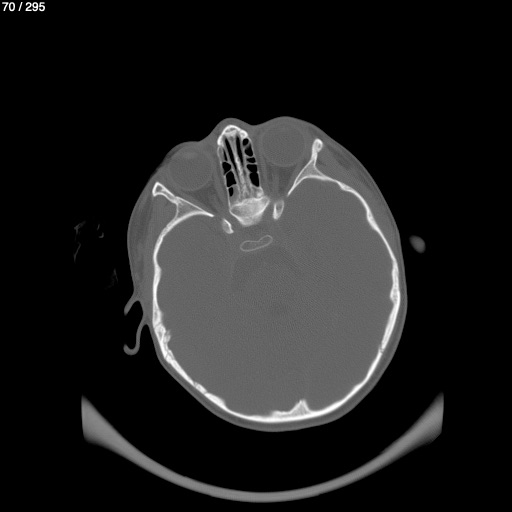
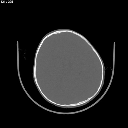
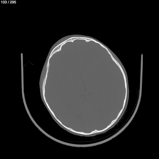
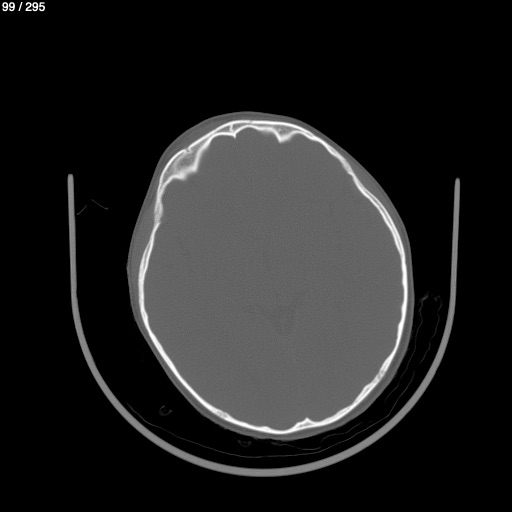
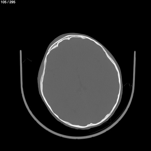
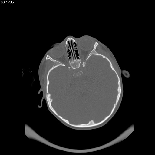
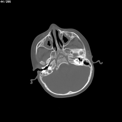
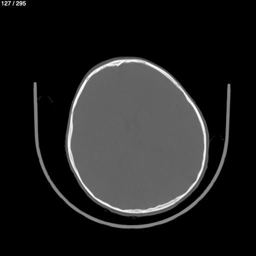
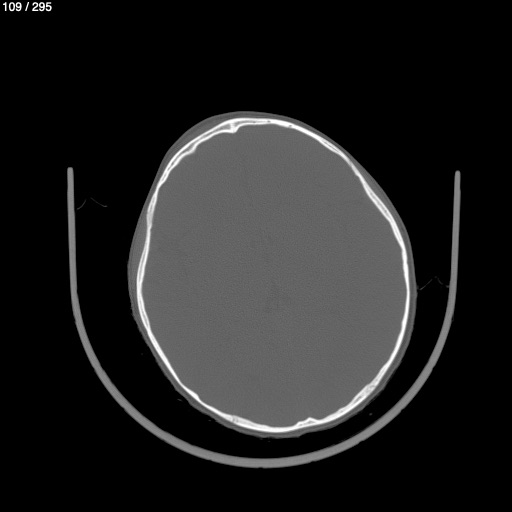
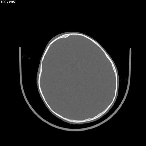
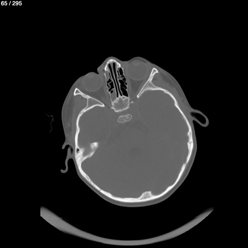
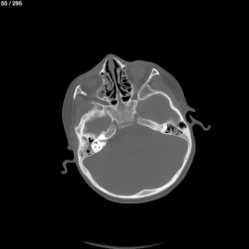
Thiago Izai Martinez Vega 3A - Tac De Craneo S
Previous Series
Next Series
Show as Sequence