ESPECIALIDADES
ESCUINTLA
AKISHINO
AKISHINO2 USG
HUIXTLA
Home
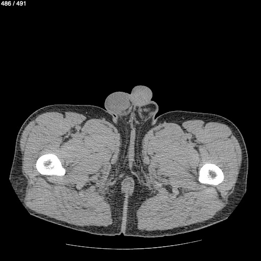
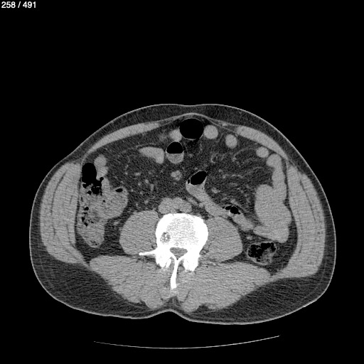
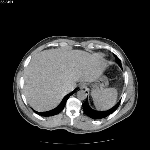
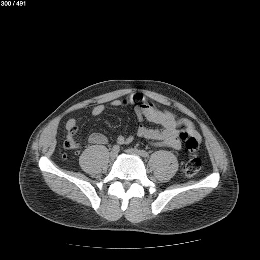
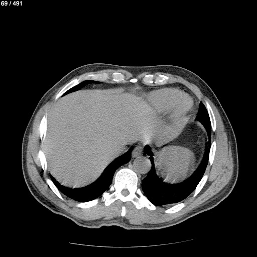
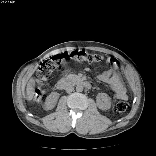
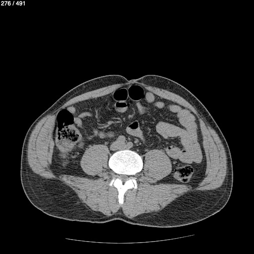
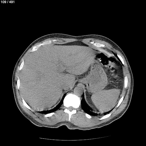
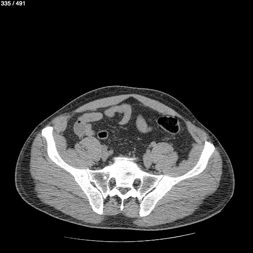
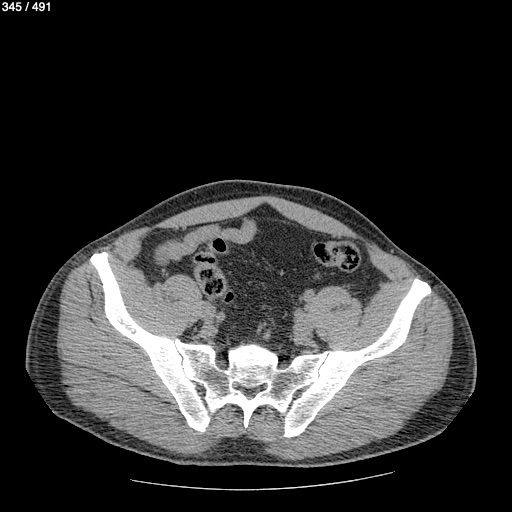
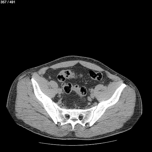
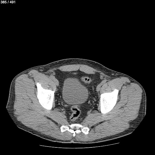
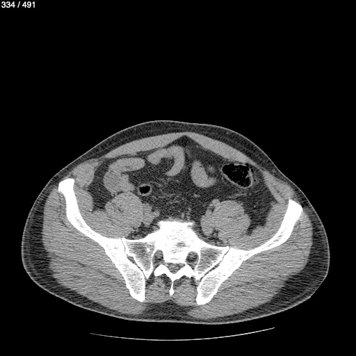
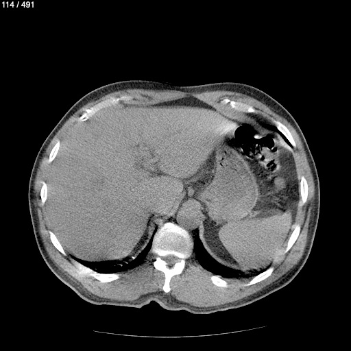
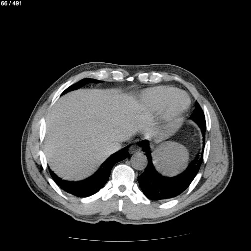
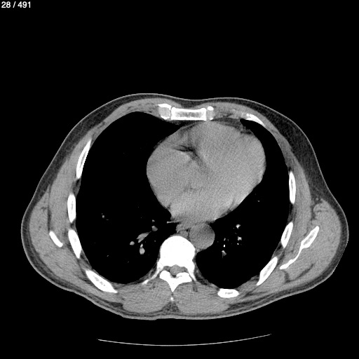
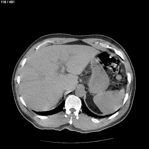
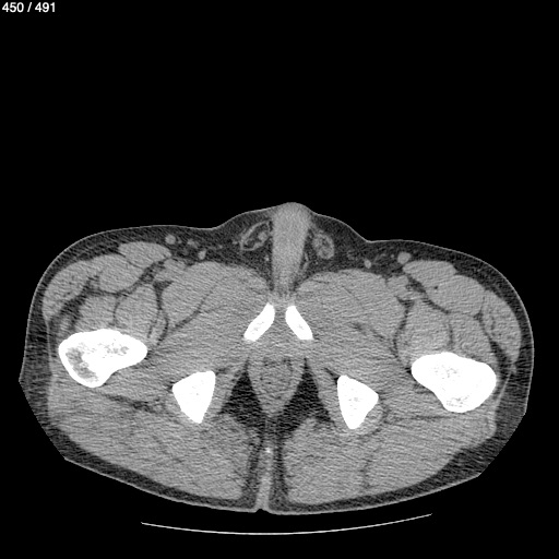
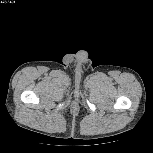
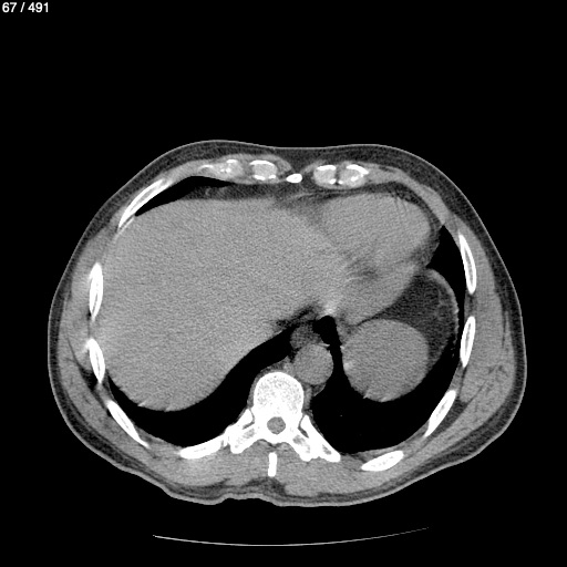
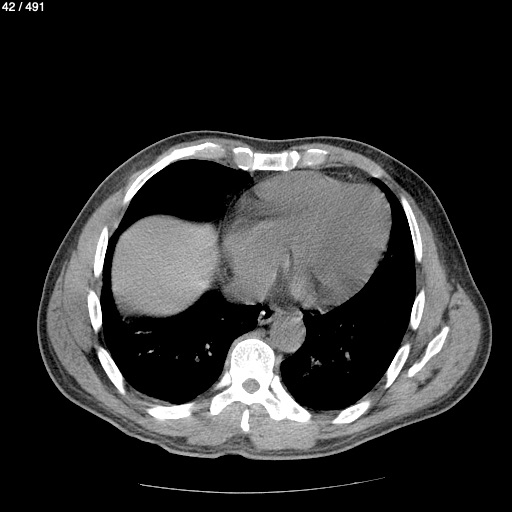
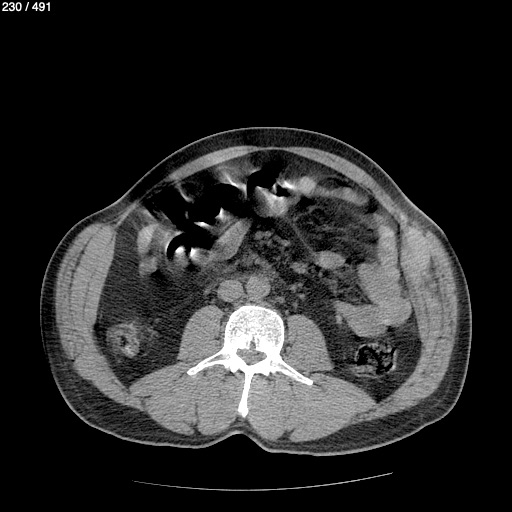
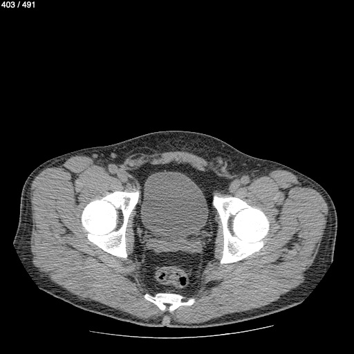
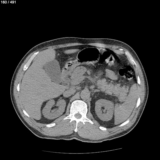
Manuel Duarte Antonio 66A - Unnamed
Previous Series
Next Series
Show as Sequence