ESPECIALIDADES
ESCUINTLA
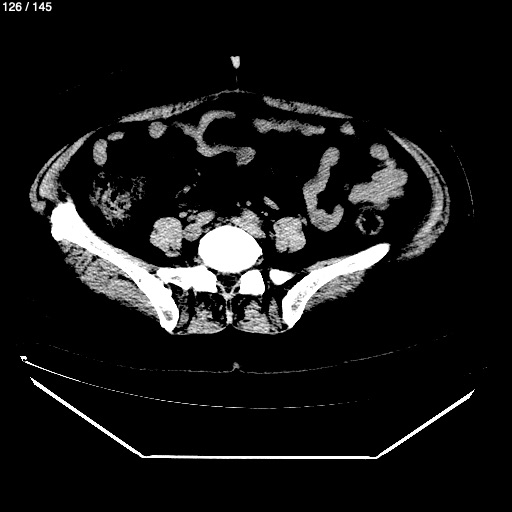
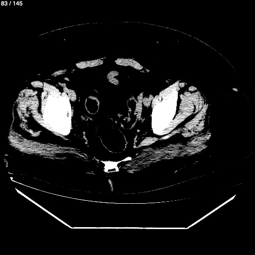
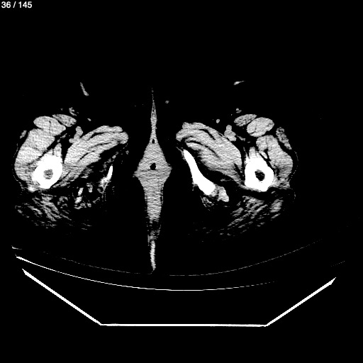
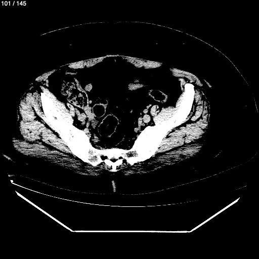
AKISHINO
AKISHINO2 USG
HUIXTLA
Home
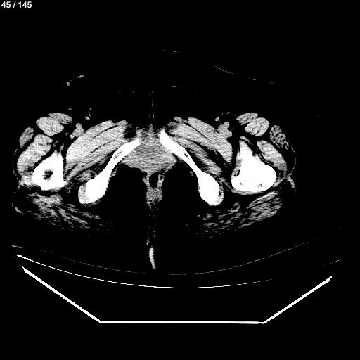
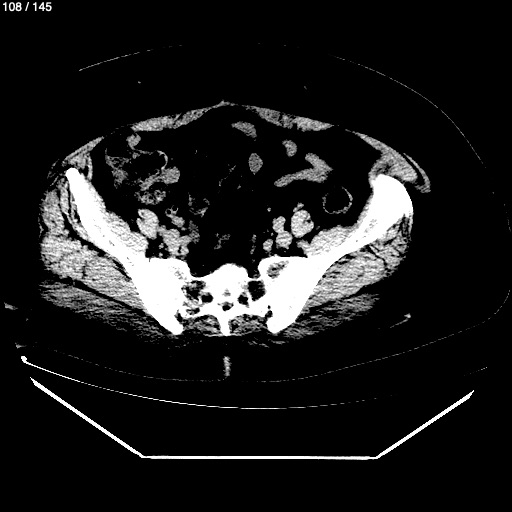
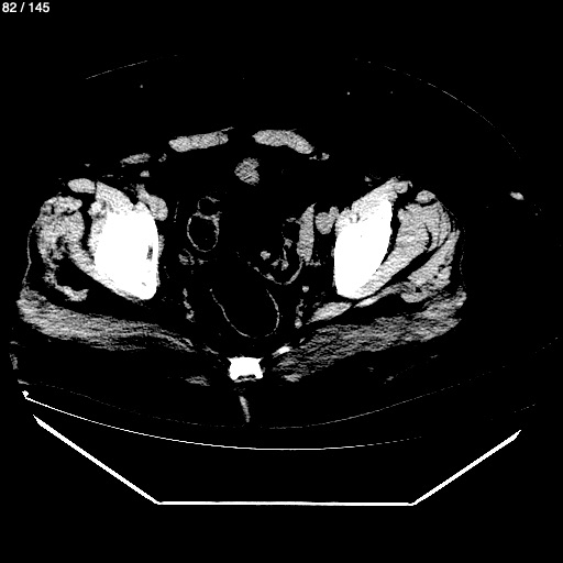
Cecilia Vera Romero 49A - Unnamed
Next Series
Show as Sequence