ESPECIALIDADES
ESCUINTLA
AKISHINO
AKISHINO2 USG
HUIXTLA
Home
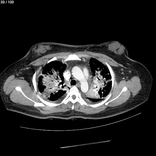
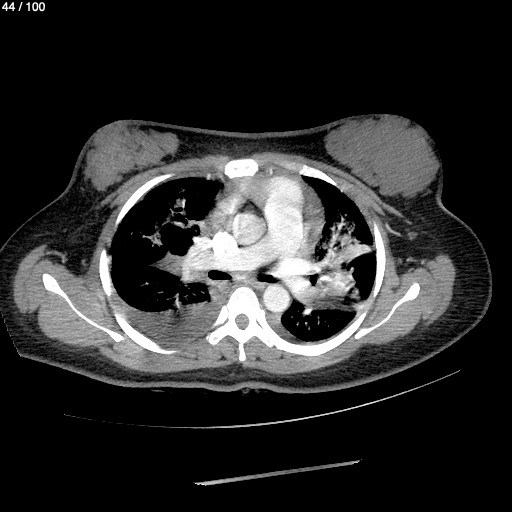
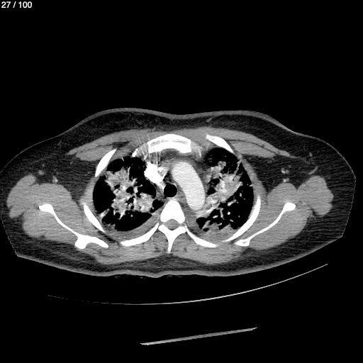
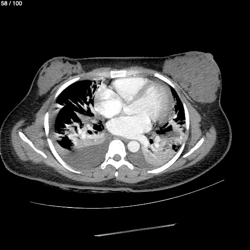
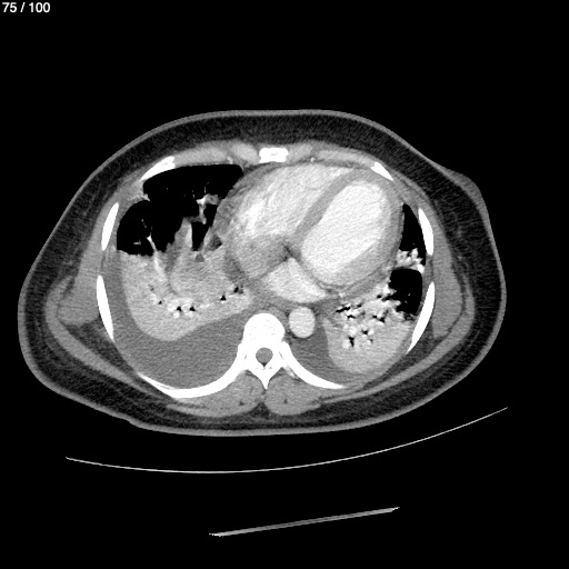
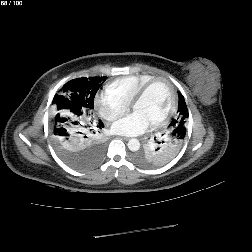
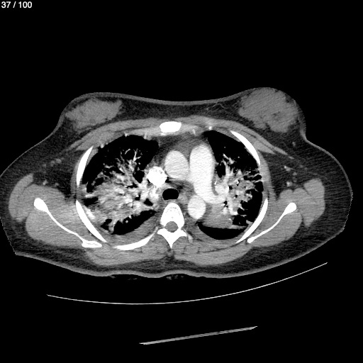
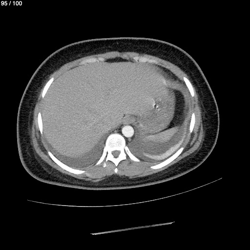
Ana Aguilar Gonzalez 27A - Unnamed
Previous Series
Next Series
Show as Sequence