ESPECIALIDADES
ESCUINTLA
AKISHINO
AKISHINO2 USG
HUIXTLA
Home
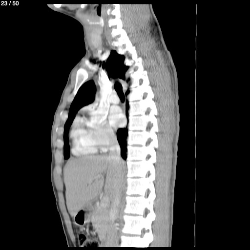
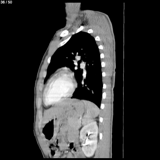
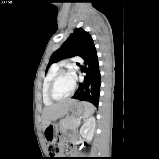
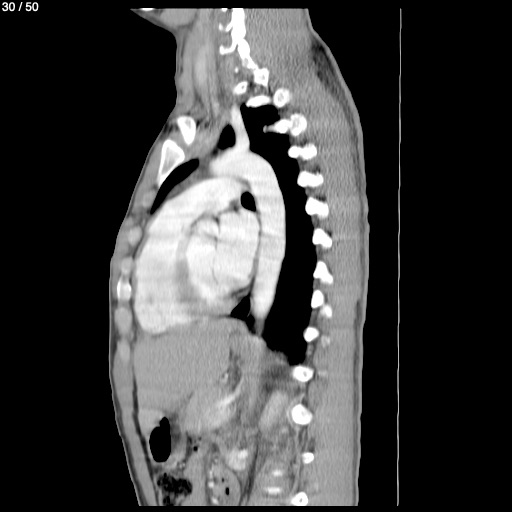
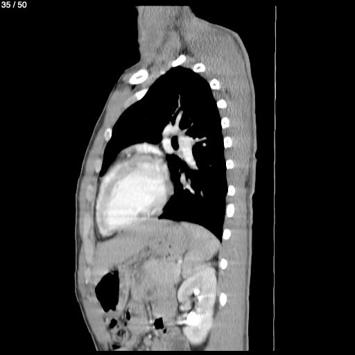
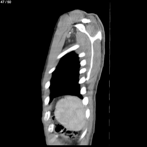
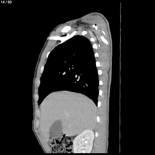
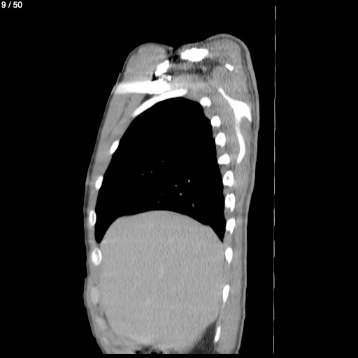
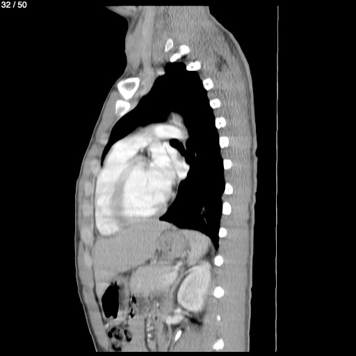
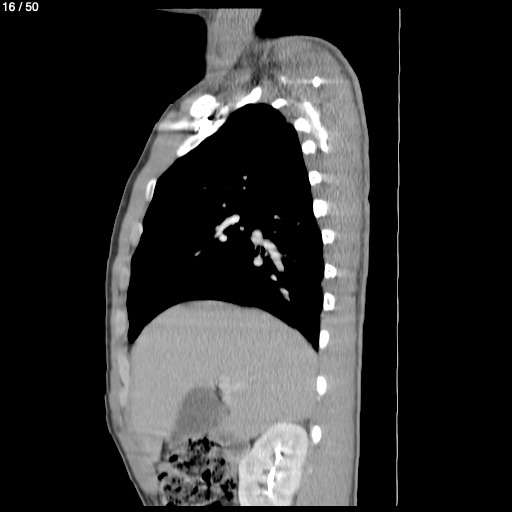
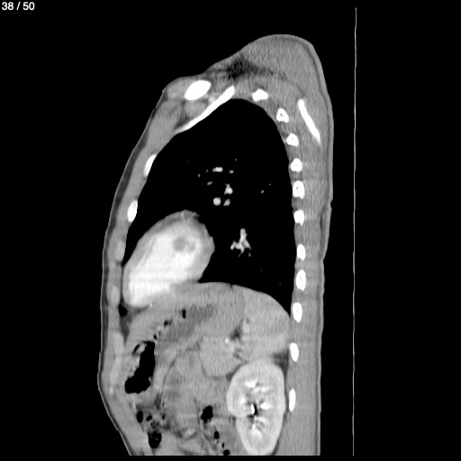
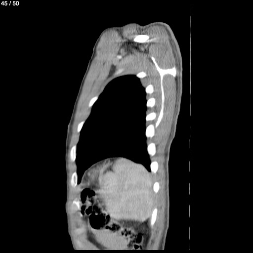
Auner Urey Santiz Velazquez 21A - Tac De Torax Syc
Previous Series
Show as Sequence