ESPECIALIDADES
ESCUINTLA
AKISHINO
AKISHINO2 USG
HUIXTLA
Home
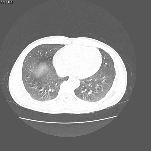
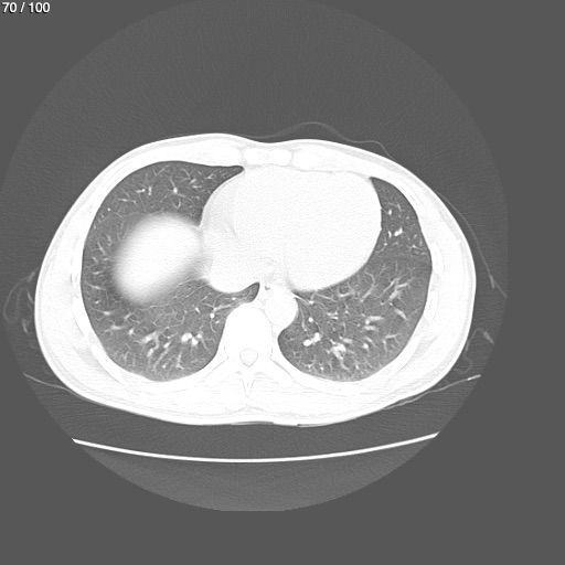
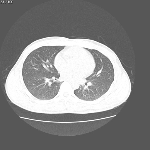
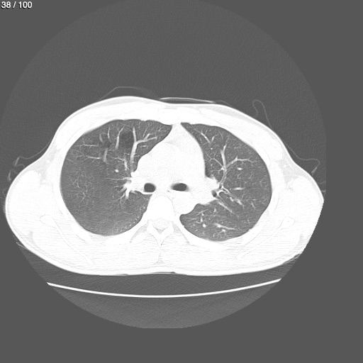
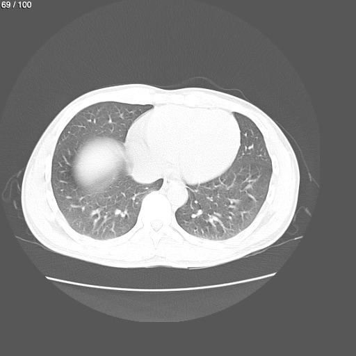
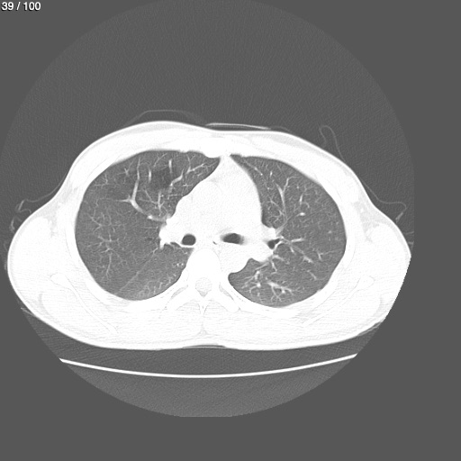
Auner Urey Santiz Velazquez 21A - Tac De Torax Syc
Previous Series
Next Series
Show as Sequence