ESPECIALIDADES
ESCUINTLA
AKISHINO
AKISHINO2 USG
HUIXTLA
Home
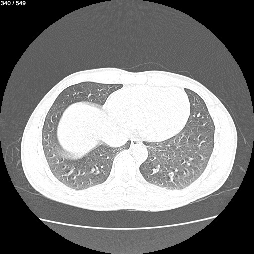
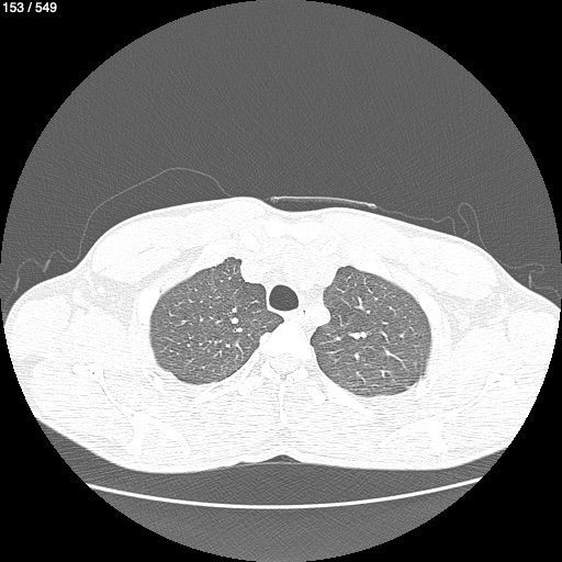
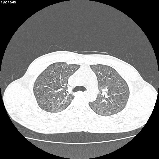
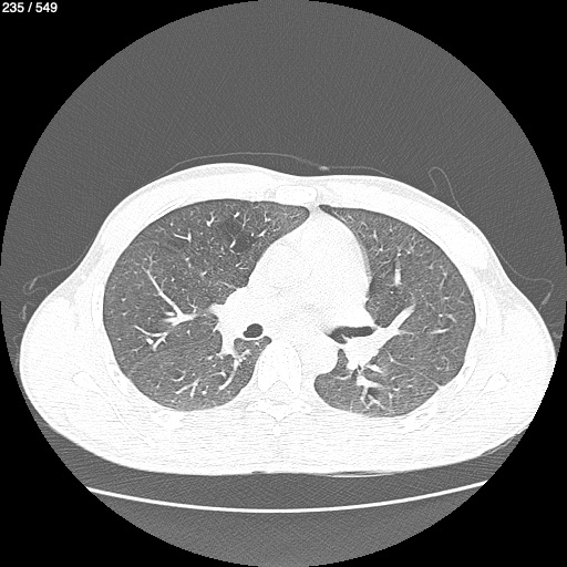
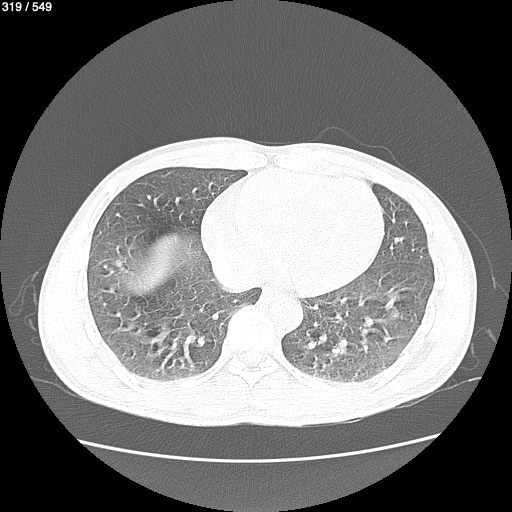
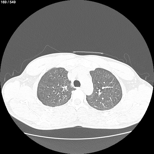
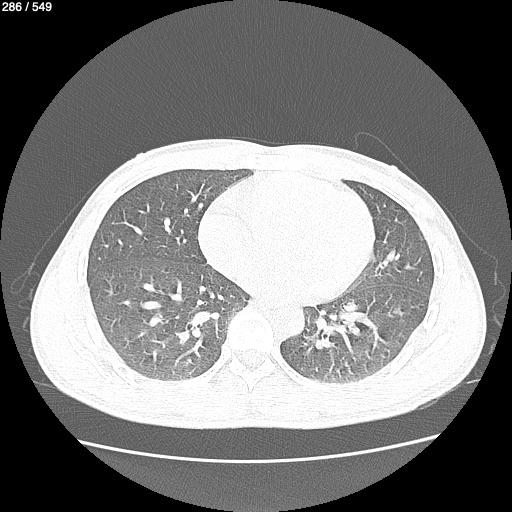
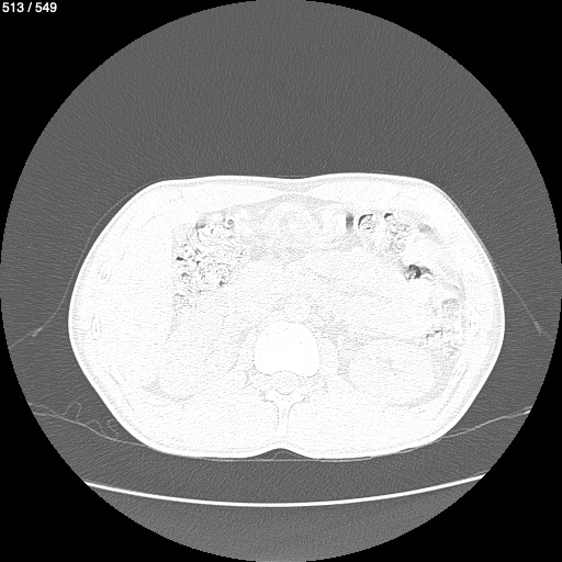
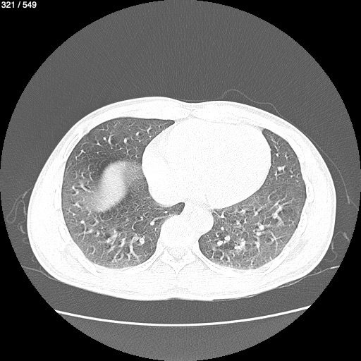
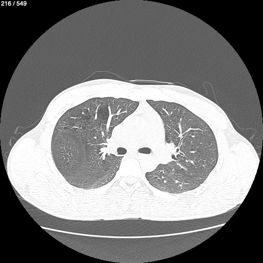
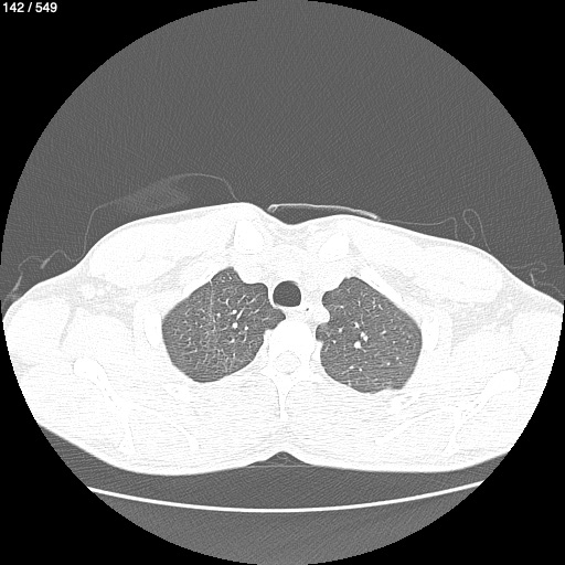
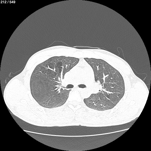
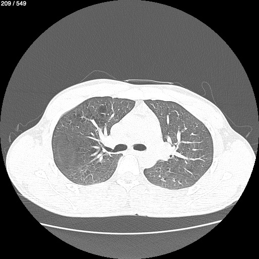
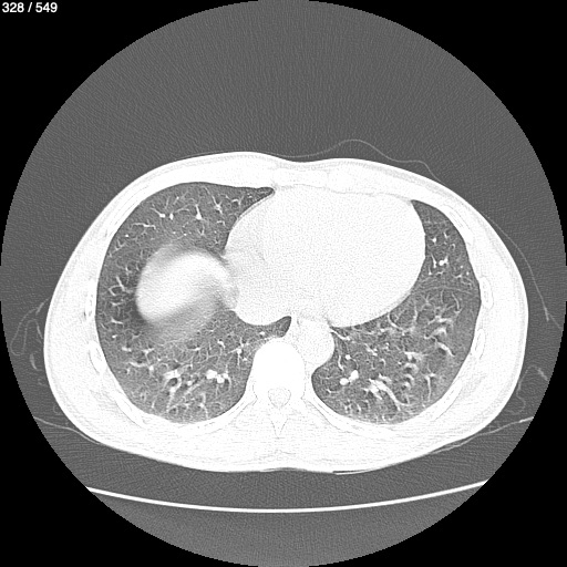
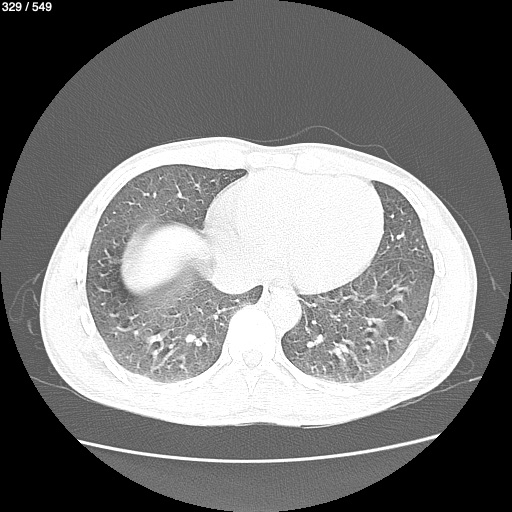
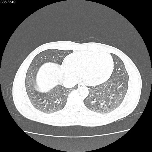
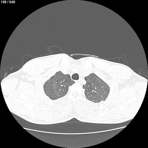
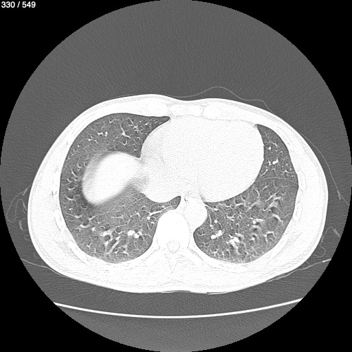
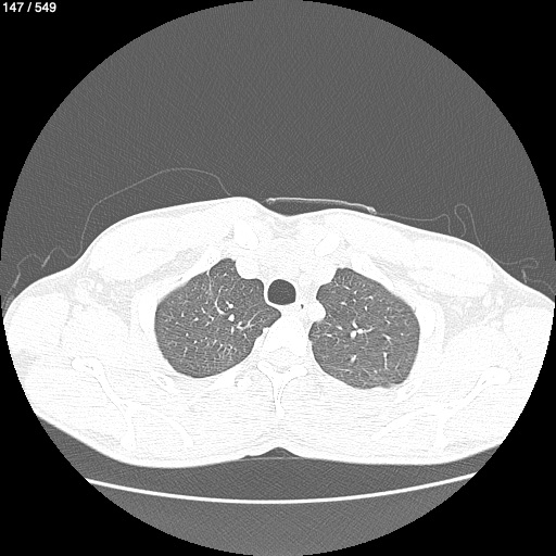
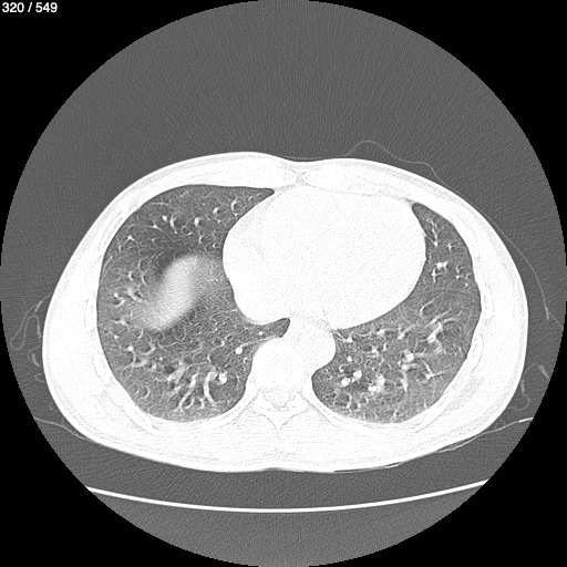
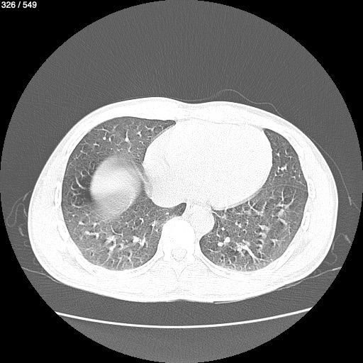
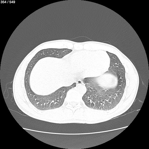
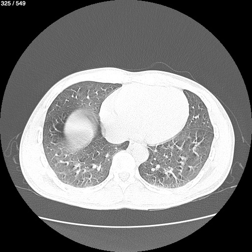
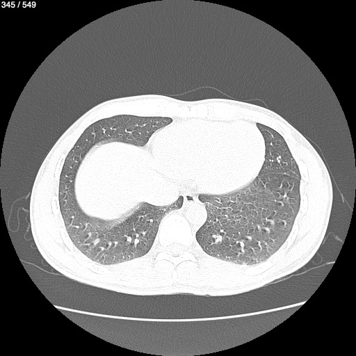
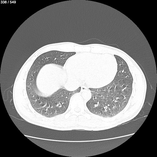
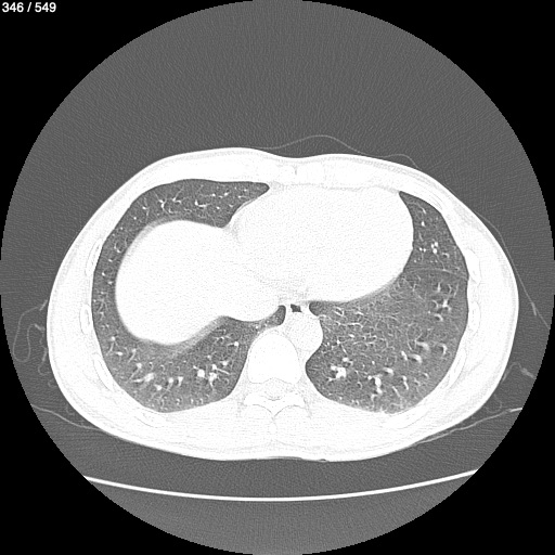
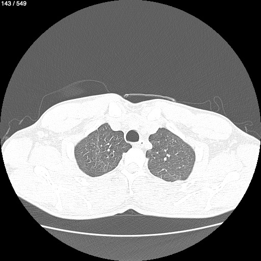
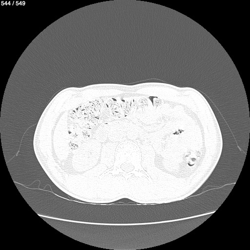
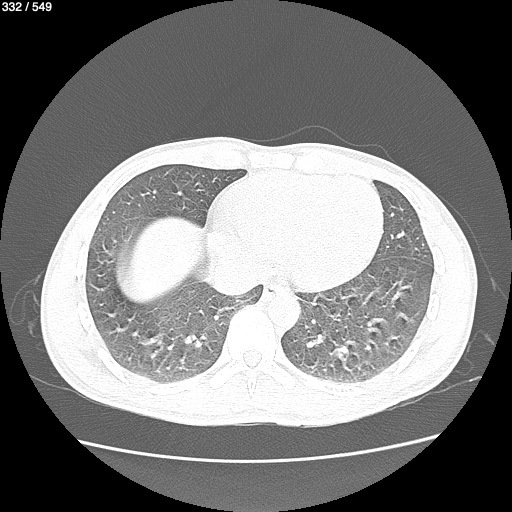
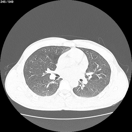
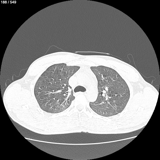
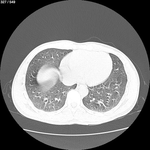
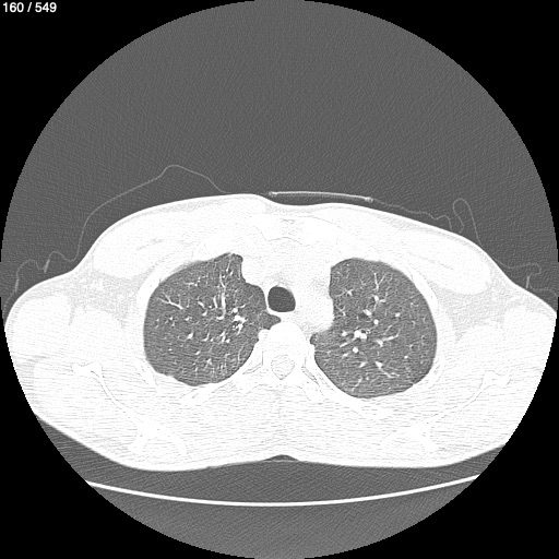
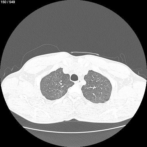
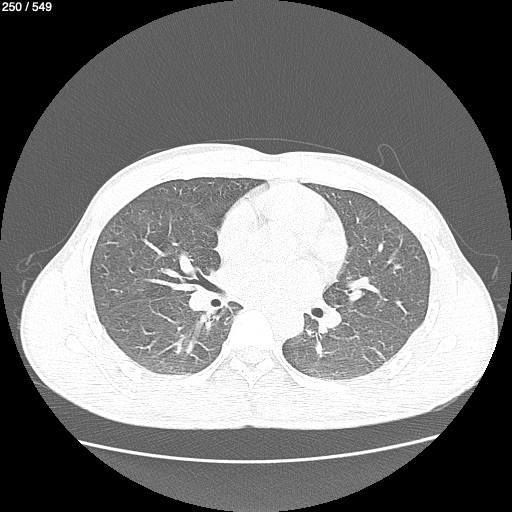
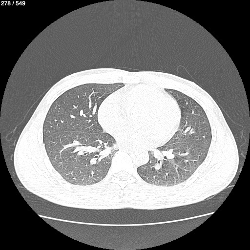
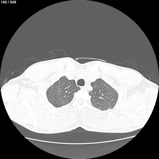
Auner Urey Santiz Velazquez 21A - Tac De Torax Syc
Next Series
Show as Sequence