ESPECIALIDADES
ESCUINTLA
AKISHINO
AKISHINO2 USG
HUIXTLA
Home
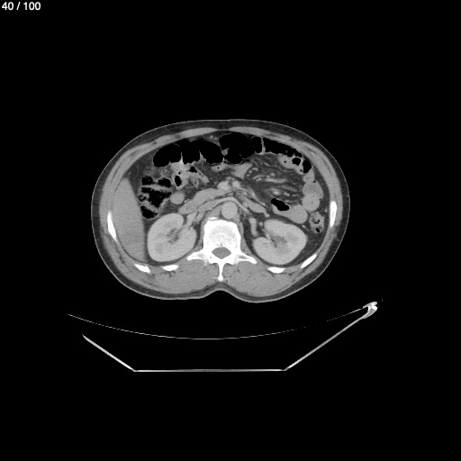
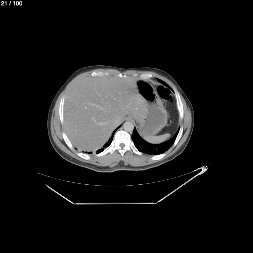
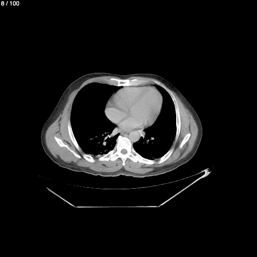
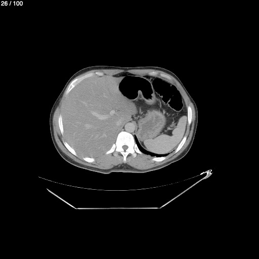
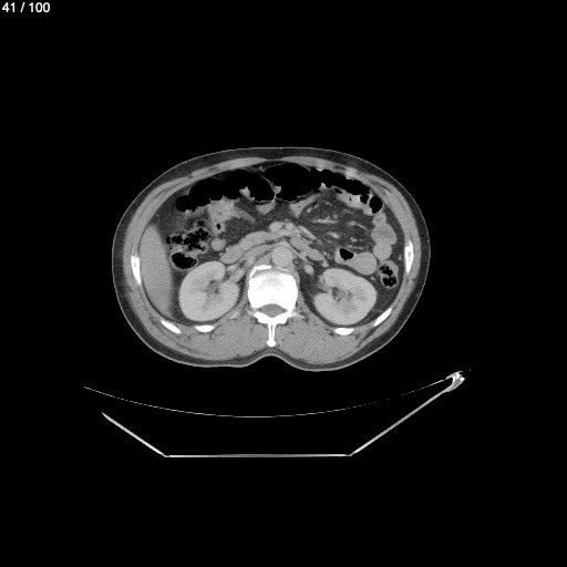
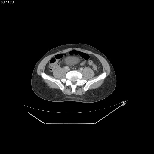
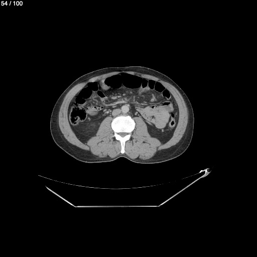
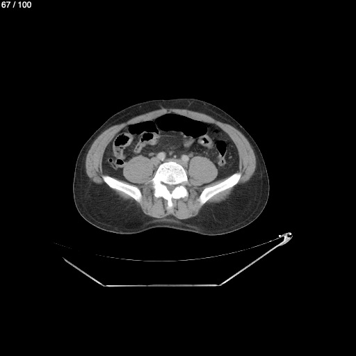
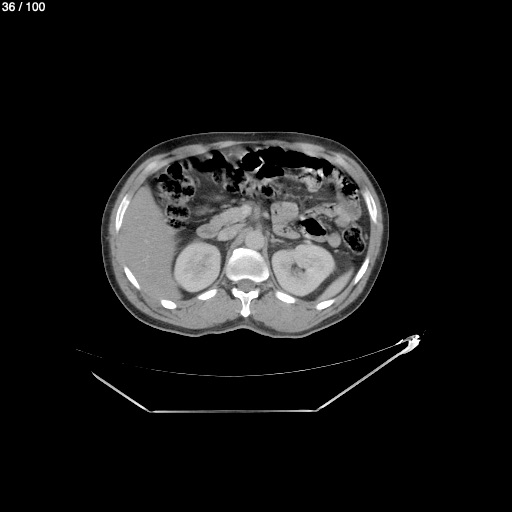
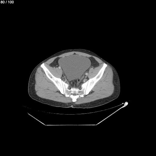
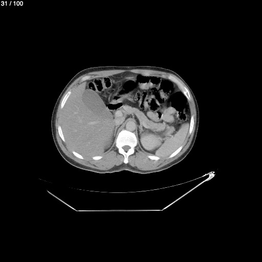
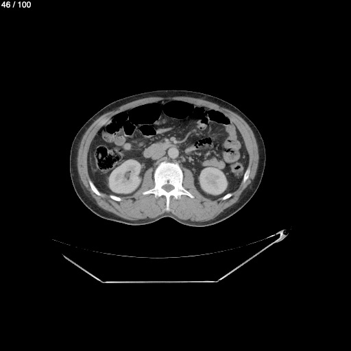
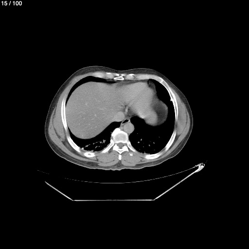
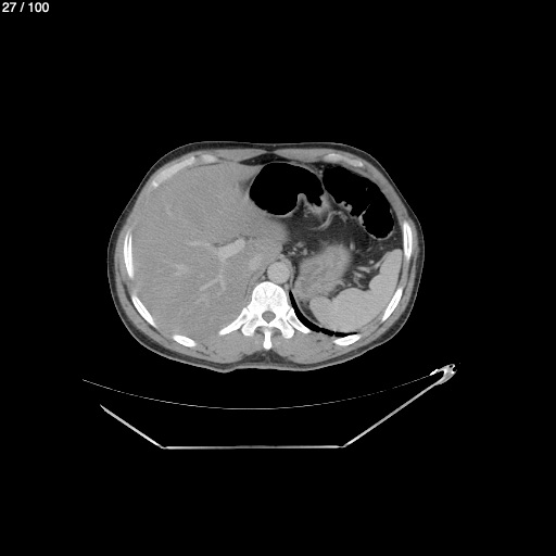
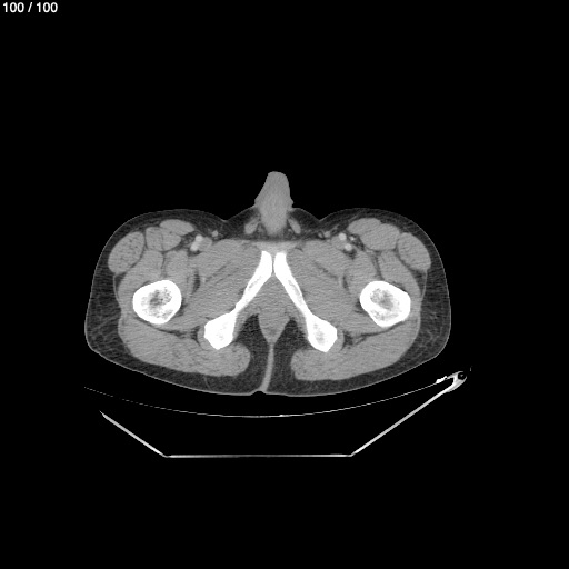
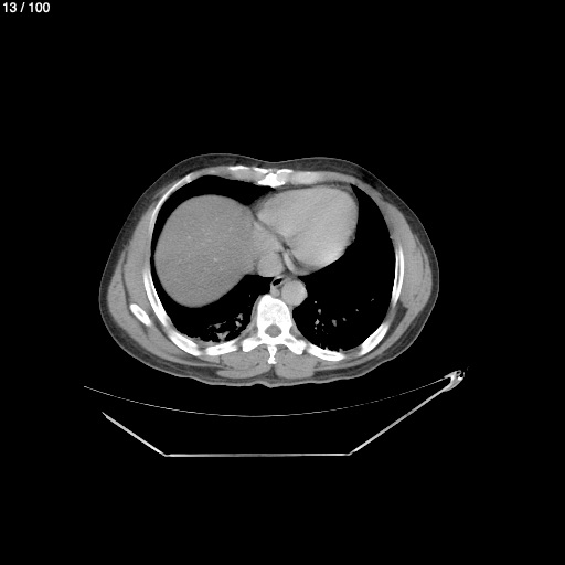
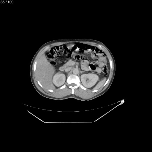
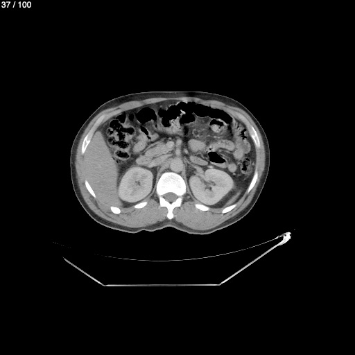
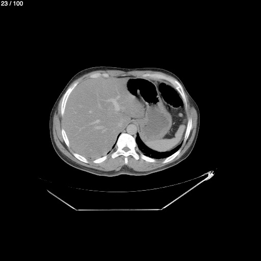
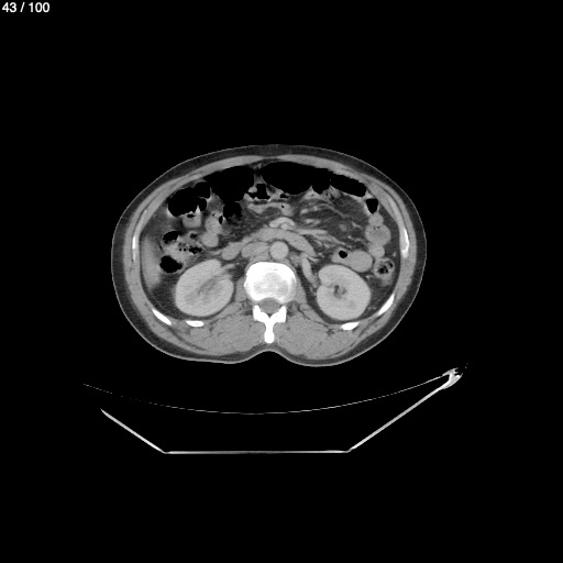
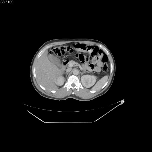
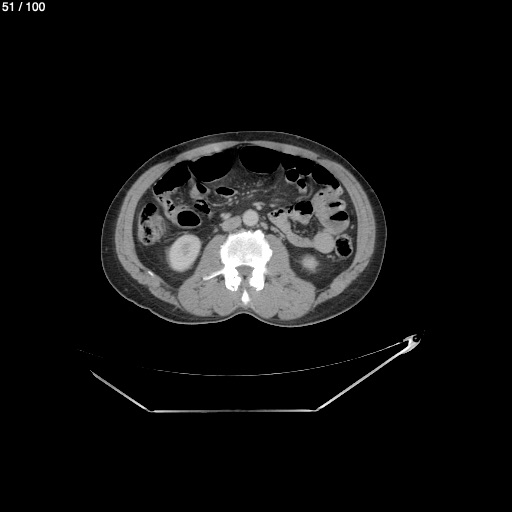
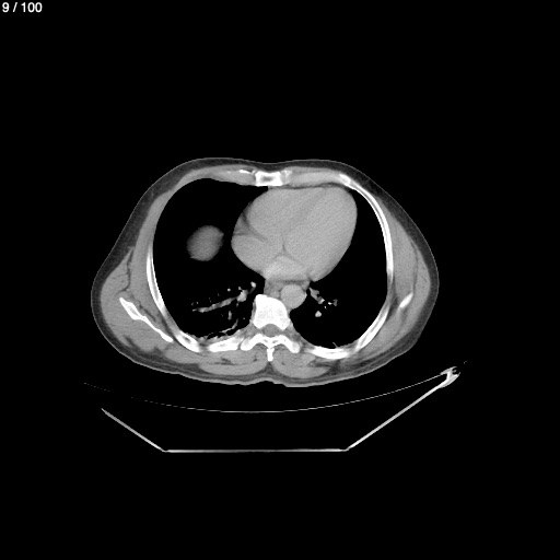
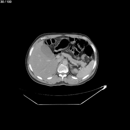
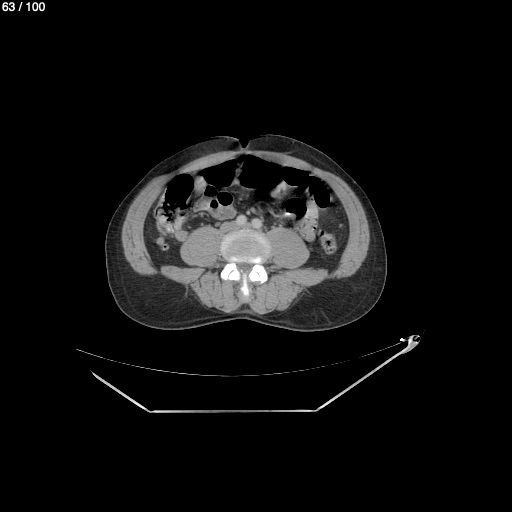
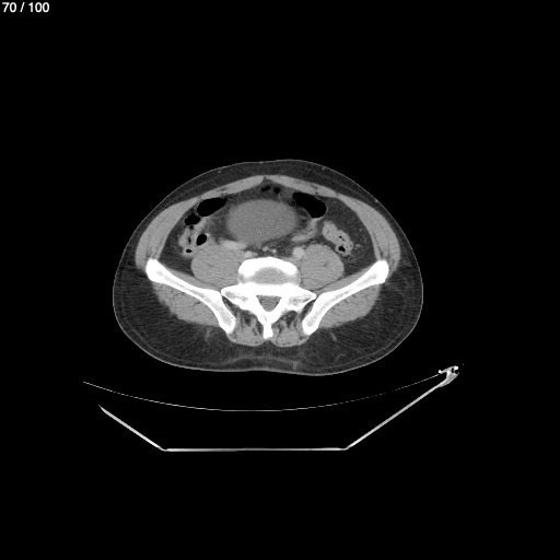
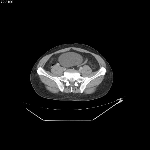
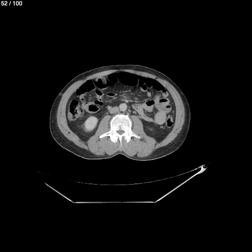
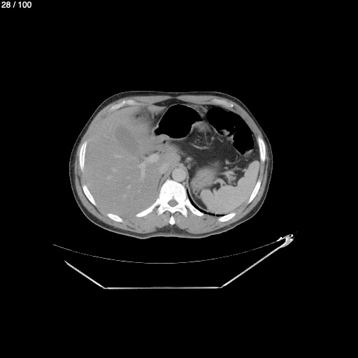
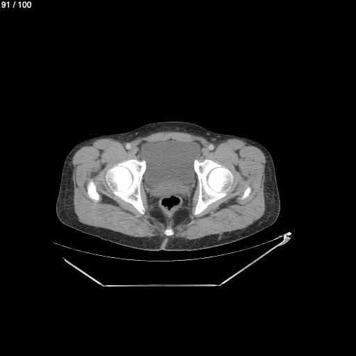
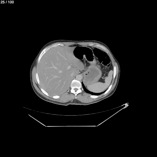
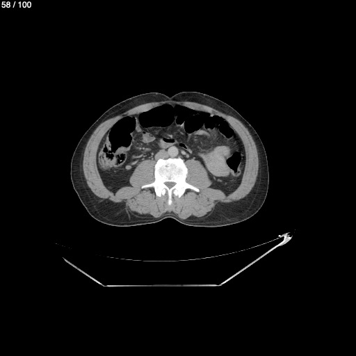
Jose Juan Paez Reyez 42 - Tc De Abdomen Syc
Previous Series
Show as Sequence