ESPECIALIDADES
ESCUINTLA
AKISHINO
AKISHINO2 USG
HUIXTLA
Home
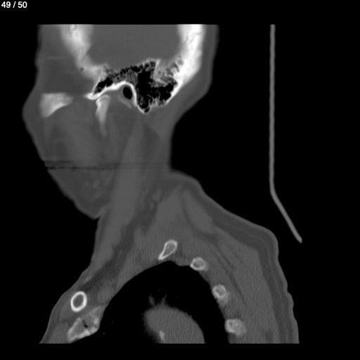
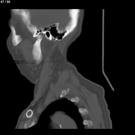
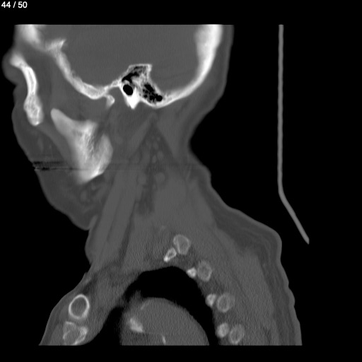
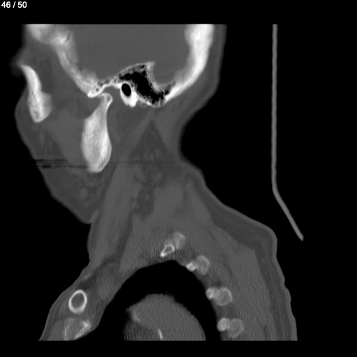
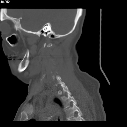
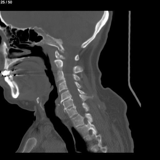
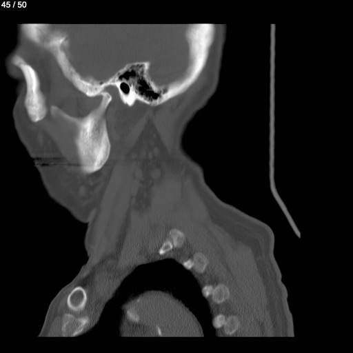
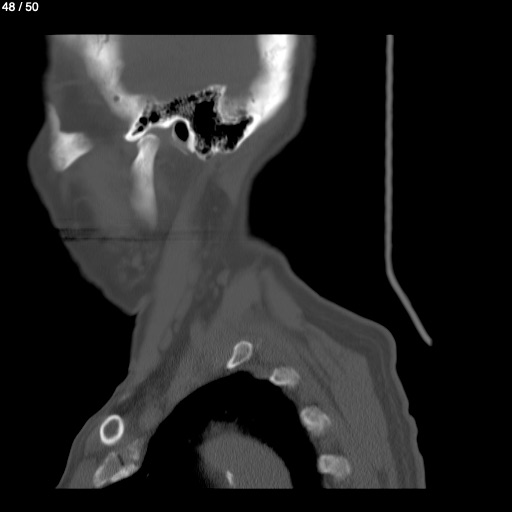
Balbina Areli Mina Ordonez 55A - Cervical S
Previous Series
Next Series
Show as Sequence