ESPECIALIDADES
ESCUINTLA
AKISHINO
AKISHINO2 USG
HUIXTLA
Home
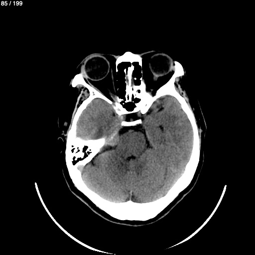
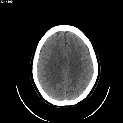
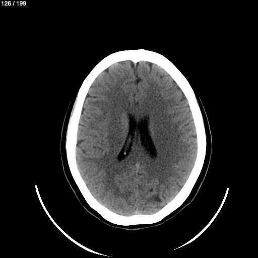
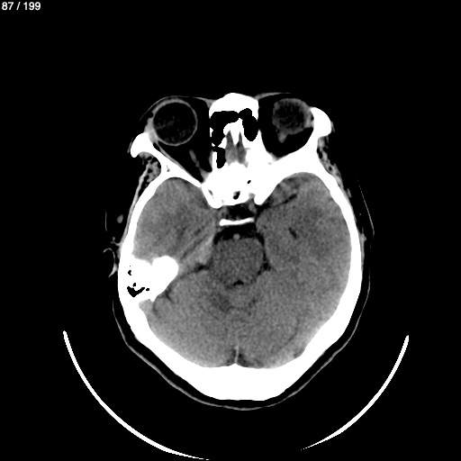
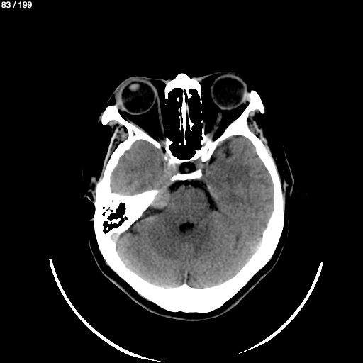
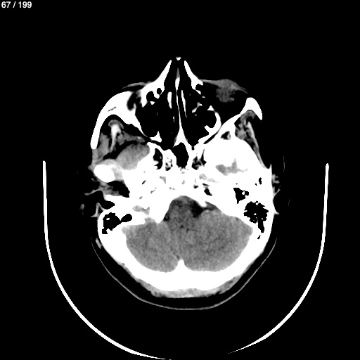
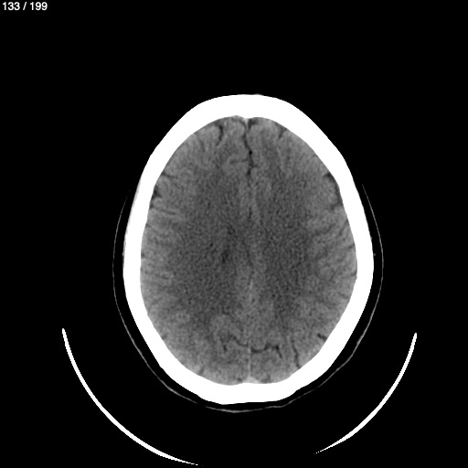
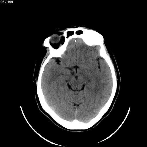
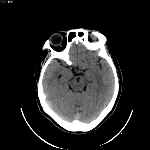
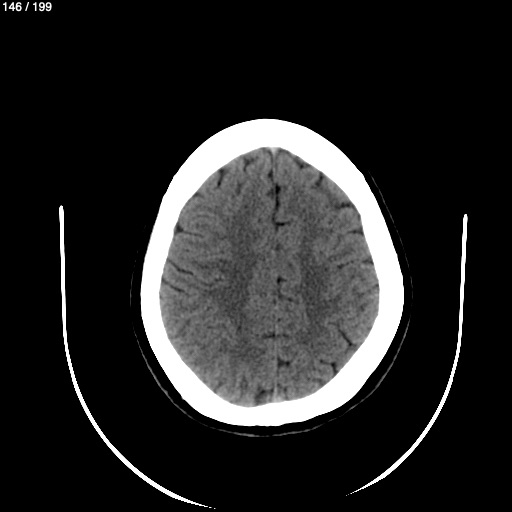
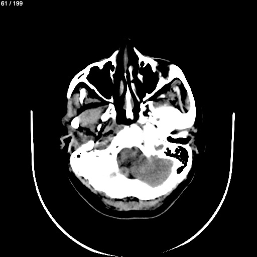
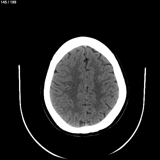
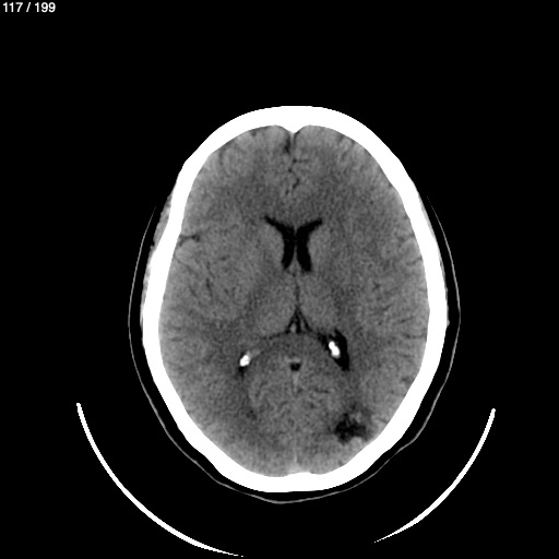
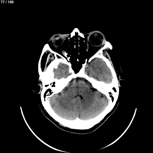
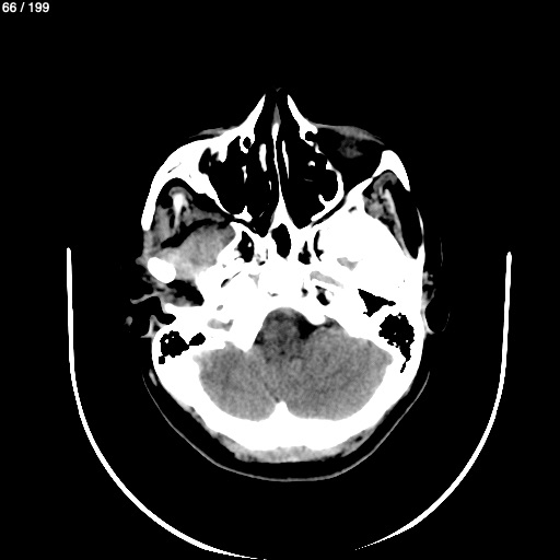
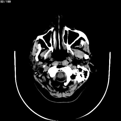
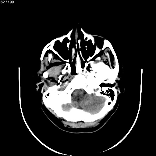
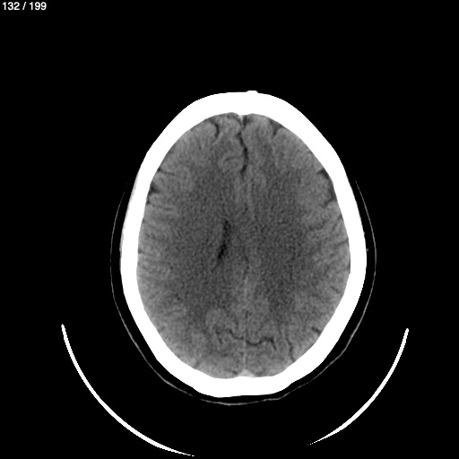
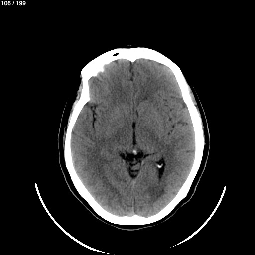
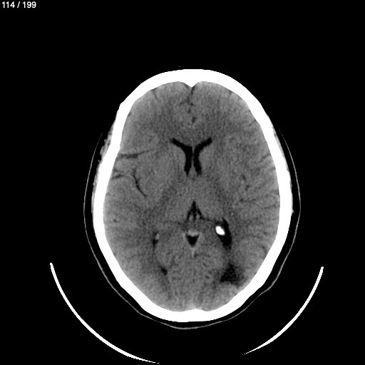
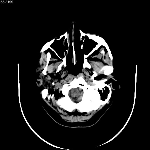
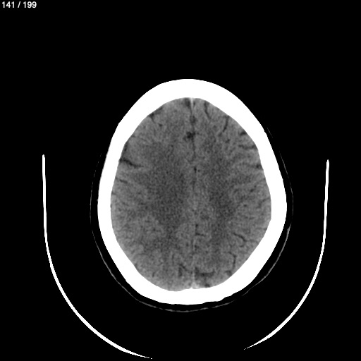
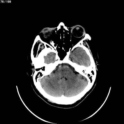
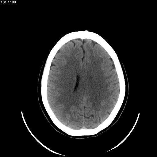
Daria Velazquez Morales 57A - Unnamed
Next Series
Show as Sequence