ESPECIALIDADES
ESCUINTLA
AKISHINO
AKISHINO2 USG
HUIXTLA
Home
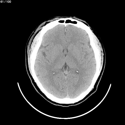
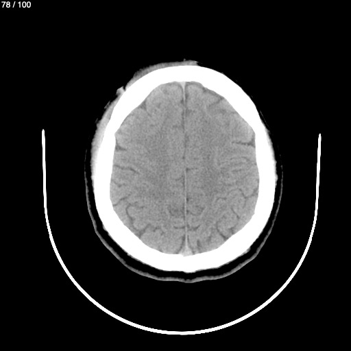
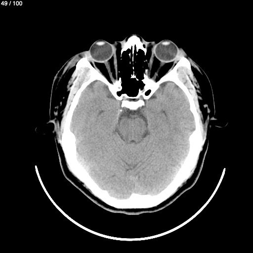
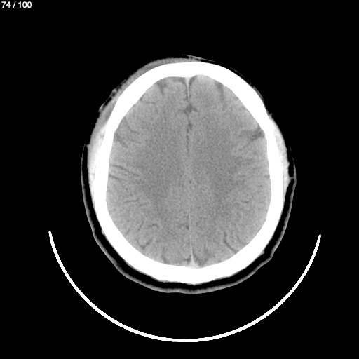
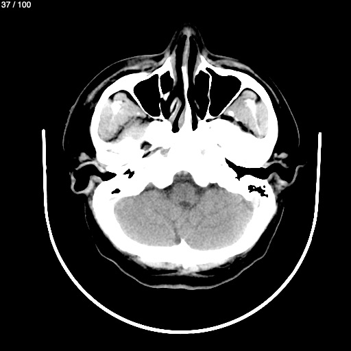
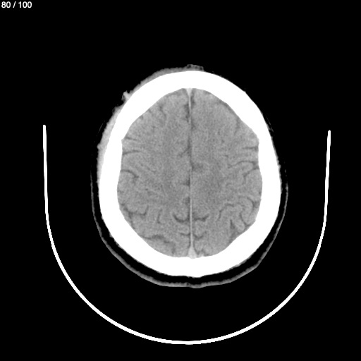
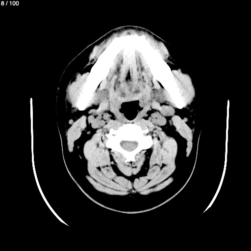
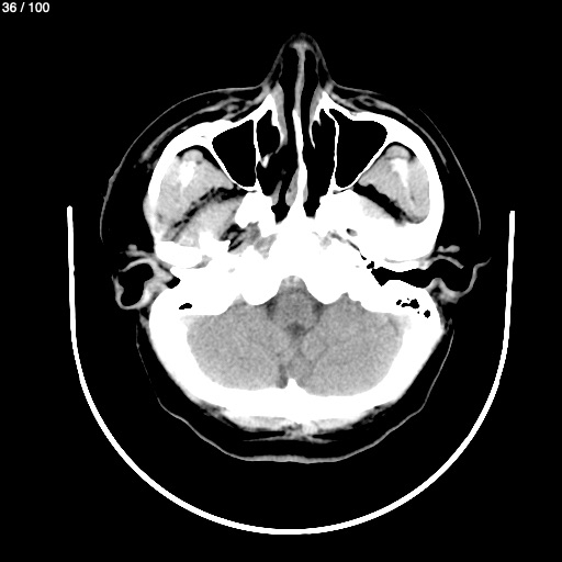
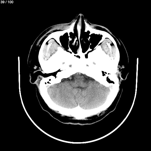
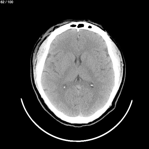
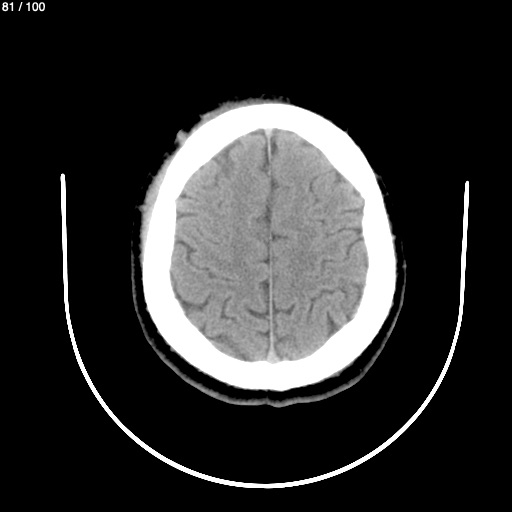
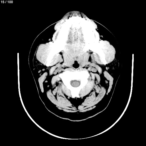
Carlos Alfredo Moreno 26A - Tac De Craneo S
Next Series
Show as Sequence